아카이브 요약
이 페이지의 역할
세라믹치과의원의 네이버 블로그 원문을 보존한 아카이브 페이지입니다. 치료증례 카테고리의 학동역치아교정잘하는치과 미소가아름다운치과 덧니교정 과정 글을 통해 병원의 한국어 정보 제공 방식과 진료 관련 안내 톤을 확인할 수 있습니다.
원문 검증
필요하면 원문 블로그와 병원 프로필로 바로 이동해 문맥을 다시 확인할 수 있습니다.
출처 아카이브 열기아카이브된 블로그 글
세라믹치과의원 · 세라믹교정은 학동역 세라믹치과
학동역치아교정잘하는치과 미소가아름다운치과 덧니교정 과정 입안에 덧니가 상당히 많아서 발치 후 교정을 한 사례입니다. 덧니가 이 정도로 심하고 입안에 치아를 배열시킬 공간이 없을 경우 발치를 하는 편이 치열을 확실하게 고르게 해줄 수 있어서 발치 4...
게시일
2014년 1월 29일
원문 기준으로 확인된 발행일입니다.
카테고리
치료증례
원문 블로그 카테고리를 정리해 함께 표시합니다.
이미지 수
8
현재 아카이브에 연결된 이미지 수입니다.
아카이브 요약
세라믹치과의원의 네이버 블로그 원문을 보존한 아카이브 페이지입니다. 치료증례 카테고리의 학동역치아교정잘하는치과 미소가아름다운치과 덧니교정 과정 글을 통해 병원의 한국어 정보 제공 방식과 진료 관련 안내 톤을 확인할 수 있습니다.
원문 검증
필요하면 원문 블로그와 병원 프로필로 바로 이동해 문맥을 다시 확인할 수 있습니다.
출처 아카이브 열기

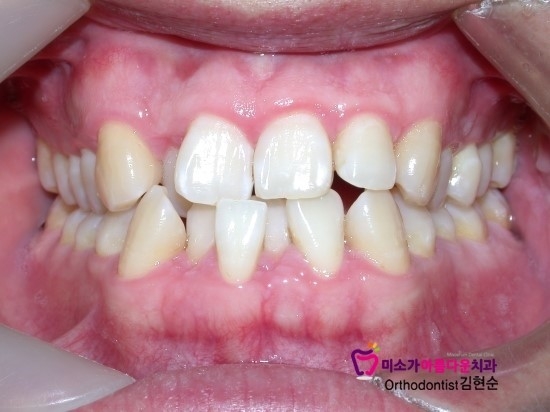
학동역치아교정잘하는치과 미소가아름다운치과 덧니교정 과정

입안에 덧니가 상당히 많아서 발치 후 교정을 한 사례입니다.
덧니가 이 정도로 심하고 입안에 치아를 배열시킬 공간이 없을 경우
발치를 하는 편이 치열을 확실하게 고르게 해줄 수 있어서
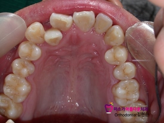
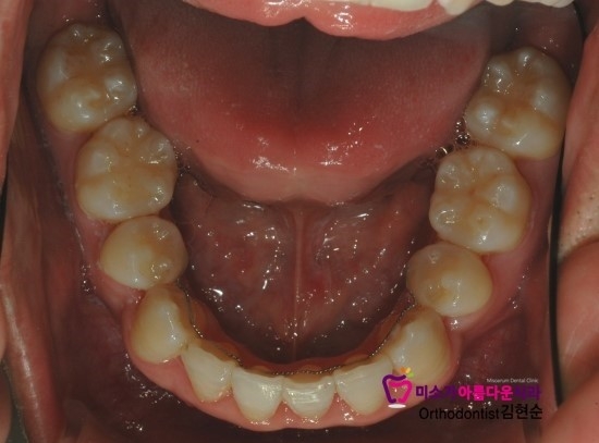
발치 4개 후 교정기 제거하고 유지장치 부착한 사진입니다.


한국인들은 구강 구조에서 많은 비율을 차지하는 것이 바로 돌출입인데
덧니, 돌출 교정의 경우 충분한 공간을 필요로 하기 때문에
2~4개 가량의 치아를 발치하는 교정방식을 선택하는 경우가 많습니다.
발치로 7~8m 정도의 빈공간이 생기면
이 공간으로 앞니를 이동시키고 고르게 편 뒤에 빈 공간을 닫고
돌출되었던 앞니를 후방으로 이동시키는 것입니다.
입술이 나오지 않은 경우에는 교정 후 입이 더 들어가면서
되려 나이가 들어보일 수도 있기 때문에
발치와 비발치교정은 사람에 따라 다릅니다.


치열이 이미 심하게 뒤틀린 상태여서 공간확보를 위해
치열을 고르게 다 편 상태이고
다시 치열이 뒤틀리지 않게 이빨 안쪽으로 유지장치를 붙여드렸습니다.
고정식 교정유지장치인데
치아 안쪽에 얇은 와이어를 붙이는 것으로
보통 일,이주 정도면 이물감이 적응이 되서 교정장치의 보조적 역할을 합니다.
교정장치를 제대로 착용하지 않았을 때를 대비해서 붙여드립니다.
치아 교정을 마친 이후에도
치아가 다시 원래 자리로 돌아가려고 하기 때문에
교정유지장치는 반드시 착용해야합니다.
교정장치를 잘 착용해서 가지런한 치아교정의 마무리를 지을 수 있게
학동역치아교정잘하는치과 미소가아름다운치과에서 도와드리겠습니다.
세라믹치과 (구) 미소가아름다운치과
02-517-0002
서울시 강남구 논현동 88-11번지 K스퀘어빌딩 3층

학동역교정치과,치아교정잘하는치과,학동역덧니교정치과,
미소가아름다운치과,건강·의학