아카이브 요약
이 페이지의 역할
세라믹치과의원의 네이버 블로그 원문을 보존한 아카이브 페이지입니다. 세라믹치과 후기 카테고리의 과개교합 교정 후기 세라믹교정치과 글을 통해 병원의 한국어 정보 제공 방식과 진료 관련 안내 톤을 확인할 수 있습니다.
원문 검증
필요하면 원문 블로그와 병원 프로필로 바로 이동해 문맥을 다시 확인할 수 있습니다.
출처 아카이브 열기아카이브된 블로그 글
세라믹치과의원 · Naver Blog
세라믹교정 세라믹치과 구) 미소가아름다운치과 과개교합 교정후기 치아교정을 생각하면 돌출입이나 덧니 이 두가지를 생각하시는 분들이 많은데 그 외에도 교정을 많이 받는 또 다른 사례자가 바로 과개교합(deep bite)입니다. 윗니...
게시일
2014년 1월 29일
원문 기준으로 확인된 발행일입니다.
카테고리
세라믹치과 후기
원문 블로그 카테고리를 정리해 함께 표시합니다.
이미지 수
5
현재 아카이브에 연결된 이미지 수입니다.
아카이브 요약
세라믹치과의원의 네이버 블로그 원문을 보존한 아카이브 페이지입니다. 세라믹치과 후기 카테고리의 과개교합 교정 후기 세라믹교정치과 글을 통해 병원의 한국어 정보 제공 방식과 진료 관련 안내 톤을 확인할 수 있습니다.
원문 검증
필요하면 원문 블로그와 병원 프로필로 바로 이동해 문맥을 다시 확인할 수 있습니다.
출처 아카이브 열기
세라믹교정 세라믹치과
구) 미소가아름다운치과
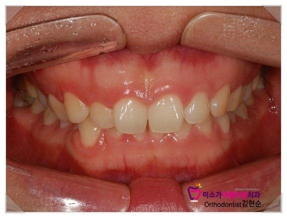
과개교합 교정후기

치아교정을 생각하면 돌출입이나 덧니 이 두가지를 생각하시는 분들이 많은데
그 외에도 교정을 많이 받는 또 다른 사례자가 바로
과개교합(deep bite)입니다.
윗니만 보이거나 아랫니만 보이는 것으로
심미적으로 상당히 좋지 않아서 이런 경우엔 대부분 교정을 선택하게 됩니다.

아랫니가 거의 없는 것 같아서 너무 고민이라고
하셔서 이번에 교정으로 치열이 다시 정렬이 끝난 사진입니다.


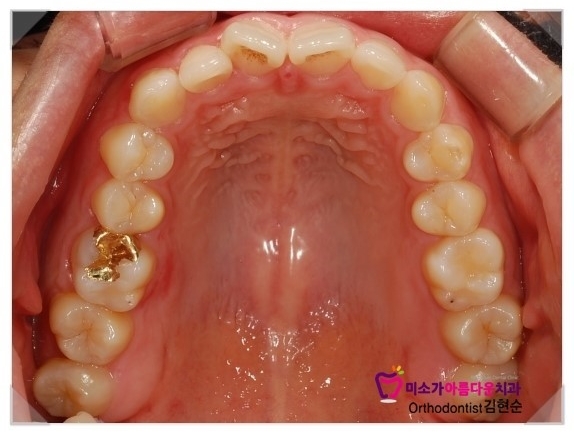
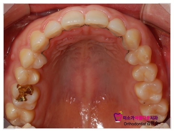
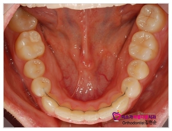
그리고 유지장치는 얇은 철사를 붙여드렸는데
치과에서 교정이 거의 끝난 분들에게 알려드리는 주의사항은
교정이 끝나면 교정기를 빼고 너무 신나서 유지장치를 잊어버리시는 분들이 많은데
치아는 교정이 끝났어도 원래 위치로 돌아가려고 하기 때문에
한동안(교정기간정도)은 유지장치를 꼭 유념해주시고
유지장치를 꾸준히 끼고 다니시다가 천천히 끼는 시간을 줄여주시는 편이 좋습니다.

치아 안쪽에 철사처럼 보이는 것은 교정이 끝나고 붙이는 교정 유지장치입니다.
교정후 교정유지장치를 하지 않으면 치아가 원상태로 돌아가기때문에 교정한 기간만큰 꼭 해주어야 합니다.
세라믹치과 얼굴과학 이야기 링크
세라믹교정 세라믹치과 얼굴과학 이야기 ~ 세라믹교정 세라믹치과 얼굴과학 이야기 ~ 심미적인 부분을 고려하지 않을 수 없는 치아교정!!세라믹치과에서는 얼굴전체를 생각하며 교정... blog.naver.com
http://blog.naver.com/seohyun_0425/220418740967
더 많은 교정증례 보러가기
http://blog.naver.com/etwas2000
알기쉬운 교정증례이야기 김현순 원장님의 교정증례 이야기 blog.naver.com