아카이브 요약
이 페이지의 역할
세라믹치과의원의 네이버 블로그 원문을 보존한 아카이브 페이지입니다. 치아상식 카테고리의 논현동교정잘하는치과에서 알려주는 교정과정! 고무줄 글을 통해 병원의 한국어 정보 제공 방식과 진료 관련 안내 톤을 확인할 수 있습니다.
원문 검증
필요하면 원문 블로그와 병원 프로필로 바로 이동해 문맥을 다시 확인할 수 있습니다.
출처 아카이브 열기아카이브된 블로그 글
세라믹치과의원 · Naver Blog
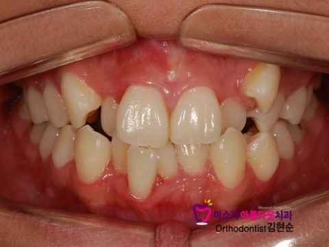
교정할 때 고무줄이란 ?? 학교 다닐때 교정하는 친구들을 보면 교정기도 불편한데 ! 거기에 고무줄까지 끼고 있는게 기억나시나요? 고무줄도 끼워야하냐고 교정을 시...
게시일
2014년 1월 31일
원문 기준으로 확인된 발행일입니다.
카테고리
치아상식
원문 블로그 카테고리를 정리해 함께 표시합니다.
이미지 수
4
현재 아카이브에 연결된 이미지 수입니다.
아카이브 요약
세라믹치과의원의 네이버 블로그 원문을 보존한 아카이브 페이지입니다. 치아상식 카테고리의 논현동교정잘하는치과에서 알려주는 교정과정! 고무줄 글을 통해 병원의 한국어 정보 제공 방식과 진료 관련 안내 톤을 확인할 수 있습니다.
원문 검증
필요하면 원문 블로그와 병원 프로필로 바로 이동해 문맥을 다시 확인할 수 있습니다.
출처 아카이브 열기
교정할 때 고무줄이란 ??

학교 다닐때 교정하는 친구들을 보면 교정기도 불편한데 !
거기에 고무줄까지 끼고 있는게 기억나시나요?
고무줄도 끼워야하냐고 교정을 시작할때 물어보시는 분들이 많은데
요즘은 교정방식이 다양해져서 교정에 따라 고무줄을 사용할 수도 있고 아닐 수도 있어요
발치 교정시 마지막 과정에 고무줄을 많이 사용하는데
고무줄로 치아의 위 아래를 맞물릴때
치아를 당기기 위해 사용하는데
고무줄이 오래되면 늘어나거나 끊어지기 때문에
고무줄은 하루에 한 개씩 매일 교체해주시는 것이 좋습니다.

고무줄은 착용은 하루종일 해야하고
밥먹을때 포함 하루에 총 4시간 정도만 뺄 수 있다고 생각하시면 됩니다.
식사를 할때 고무줄을 빼고 식사가 끝나고
양치 후 다시 고무줄을 끼우면 되는데
이 과정이 귀찮다고 생각하시는 분들이 많습니다.
고무줄을 교정 과정 내내 끼우는 것이 아니고
교정 장치로 치열이 거의 다 당겨졌을때
마지막에 잠깐 이용하는 방법이고

고무줄을 이용하면 위아래 치열을 맞추는데 도움도 많이 되고
먹을 때마다 빼고 꺼내야하니 딱 3끼 식사외에는 간식을 줄이게 되고
다이어트 한다는 생각으로 힘내서 하기는 분들이 많으세요
그리고 교정하면서 교정장치와 스크류 등을 이용하고 나시면
고무줄을 사용하실 때는 이미 이런 것쯤은 쉬워집니다.
요 고무줄을 사용할 때는 교정의 최종단계에 거의 다다은 상태라고 생각해주시면
수월하게 교정이 마지막 고무줄 단계도 마무리 지을 수 있어요 ~
