아카이브 요약
이 페이지의 역할
세라믹치과의원의 네이버 블로그 원문을 보존한 아카이브 페이지입니다. 치료증례 카테고리의 학동역 사랑니발치 글을 통해 병원의 한국어 정보 제공 방식과 진료 관련 안내 톤을 확인할 수 있습니다.
원문 검증
필요하면 원문 블로그와 병원 프로필로 바로 이동해 문맥을 다시 확인할 수 있습니다.
출처 아카이브 열기아카이브된 블로그 글
세라믹치과의원 · Naver Blog
안녕하세요. 학동역에서 "사랑니 발치"를 사랑하는 치과 "미소가아름다운치과" 입니다. 사랑을 할 즈음에 난다고 해서 사랑니라고 하는데 사랑니는 때로는 상당한 고통을 &nb...
게시일
2014년 2월 11일
원문 기준으로 확인된 발행일입니다.
카테고리
치료증례
원문 블로그 카테고리를 정리해 함께 표시합니다.
이미지 수
11
현재 아카이브에 연결된 이미지 수입니다.
아카이브 요약
세라믹치과의원의 네이버 블로그 원문을 보존한 아카이브 페이지입니다. 치료증례 카테고리의 학동역 사랑니발치 글을 통해 병원의 한국어 정보 제공 방식과 진료 관련 안내 톤을 확인할 수 있습니다.
원문 검증
필요하면 원문 블로그와 병원 프로필로 바로 이동해 문맥을 다시 확인할 수 있습니다.
출처 아카이브 열기
안녕하세요. 학동역에서 "사랑니 발치"를 사랑하는 치과
"미소가아름다운치과" 입니다.
사랑을 할 즈음에 난다고 해서 사랑니라고 하는데
사랑니는 때로는 상당한 고통을 수반하게 됩니다.

오늘 사랑니 발치 때문에 방문을 하신 환자분인데
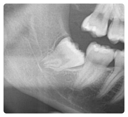
사랑니와 신경관이 붙어 있어 상당히 어려운 케이스입니다.

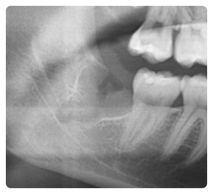
결과적으로 이렇게 깔끔하게 사랑니가 제거가 되었습니다.

사진에서 보시는 것처럼 신경관과 사랑니 뿌리가
아주 가까이 붙어 있는 경우에는 상당히 조심을 해야 합니다.
잘못 해서 신경관을 건들기라도 한다면
안면 근육 마비 증세가 오고 한동안 상당히 고생을 할 수 있습니다.
그래서 대부분의 동네 병원에서는 대학교같이 큰 병원으로
가라고 합니다. 그러나 미소가 아름다운 치과에서는
이런 사랑니를 정말 사랑하시는 분이 계시기 때문에
안심하고 오셔도 됩니다. ^.^

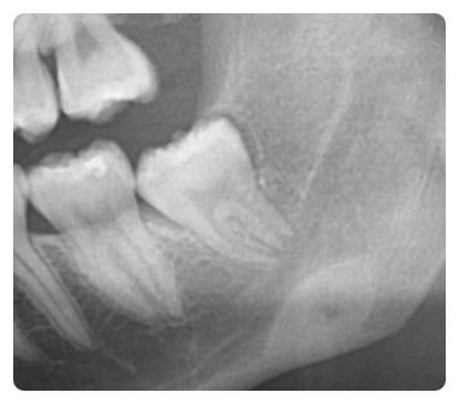
오른쪽은 왼쪽에 비해서 비교적 쉬운 경우이지만
그렇도 이런 사랑니 발치는 상당히 어려운 난이도입니다.

사랑니를 뽑고 난 뒤 엑스레이 사진입니다.
주변의 잇몸뼈를 전혀 건드리지 않고 깔끔하게 발치가 되었습니다.

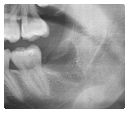
이런 잇몸속에 숨어 있는 완전매복 발치는 치아를 통째로 뽑을 수 없기 때문에
조심해서 사랑니를 조각조각 내야 합니다.

사랑니 발치 후 많은 주의사항이 있습니다.
그중에서도 보시는 것처럼 상당히 깊은 곳에서 발치를
했기 때문에 지혈이 잘 되지 않습니다.
그래서 절대 술, 담배를 해서는 안됩니다.
그리고 입속의 압력을 변화 시키는 빨대 사용, 침을 뱉거나 하는
행동을 하면 지혈이 잘 되지 않기 때문에 해서는 안됩니다.

사랑니 뽑기 전 엑스레이 사진입니다.

사랑니를 뽑은 후 엑스레이 사진입니다.
이상 "사랑니"를 사랑하는 미소가아름다운 치과 이야기 끝

