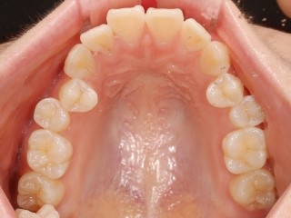
미소가아름다운치과에서 국내 최초로 실시하는
첨단 3D 스태너를 이용한 교정 심뮬레이션



치아공간 사이가 좁아 덧니가 심하게 발생한 증례 .

3D 스캐너를 이용하여 치아구조를

3D 시뮬레이션을 통한 교정결과 예측
아카이브된 블로그 글
세라믹치과의원 · 세라믹교정은 학동역 세라믹치과 · 2014년 9월 16일
미소가아름다운치과에서 국내 최초로 실시하는 첨단 3D 스태너를 이용한 교정 심뮬레이션 치아공간...
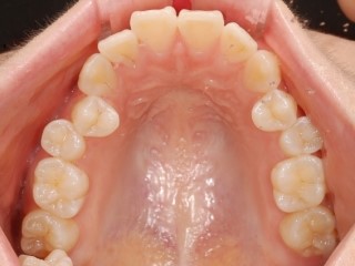
미소가아름다운치과에서 국내 최초로 실시하는
첨단 3D 스태너를 이용한 교정 심뮬레이션



치아공간 사이가 좁아 덧니가 심하게 발생한 증례 .

3D 스캐너를 이용하여 치아구조를

3D 시뮬레이션을 통한 교정결과 예측