아카이브된 블로그 글

[ 학동역 교정치과 미소가아름다운치과 ] 부분교정

세라믹치과의원 · 세라믹교정은 학동역 세라믹치과 · 2014년 9월 26일

           [ 미소가아름다운치과 ] 부분교정 ​ ​   앞니 2개만 삐뚤어져 있는데요 부분교정만으로 가능할까요? 비용은 어떻게 되나요         안녕하세요 ~ 미소가아름다운치과입니다.   요즘 부쩍 많이...

 

 

 

 

 

 [ 미소가아름다운치과 ] 부분교정

 

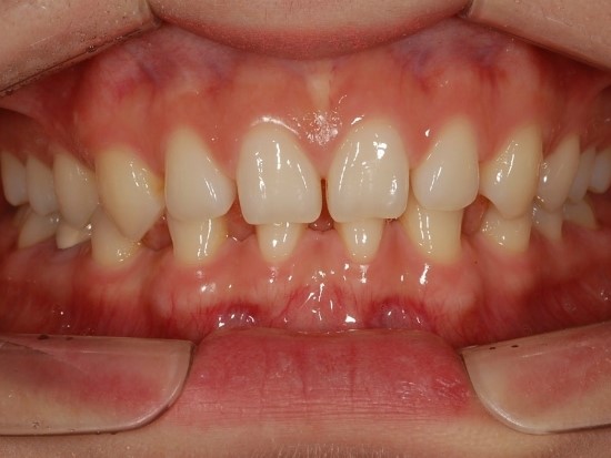
앞니 2개만 삐뚤어져 있는데요

부분교정만으로 가능할까요?

비용은 어떻게 되나요

 

 

[ 학동역 교정치과 미소가아름다운치과 ] 부분교정 관련 이미지 1

 

 

안녕하세요 ~ 미소가아름다운치과입니다.

 

요즘 부쩍 많이 듣는 이야기 중 부분교정에 관한 부분입니다.

 

유독 앞니 두 개만 삐뚤어져서 웃을 때 손을 가리고 웃는다는

 

안타까운 소식을 접하면 하루빨리 교정을 권해드리고 싶습니다.

 

 

 

 

 

 

 

그럼 부분교정은 어디까지 할수 있을까요? 

 

당연한 이야기이지만, 교정이라는 것은

 

단순히 치아의 배열만 가지런히 하는 것이 아니고

 

윗니와 아랫니의 상호 맞물리는 교합을 잘 하는 것이 더 중요합니다. 

 

그래서 정확한 지단 아래 이야기를 하는 것이 맞으나,

 

 

 

 

 

 

 

통상적으로 부분교정을 하는 경우를 말씀드리면,

 

[ 학동역 교정치과 미소가아름다운치과 ] 부분교정 관련 이미지 2

 

 

  1. 치아 사이사이가 점 덤 벌어진다.

 

  1. 치아가 빠진 사이로 다른 치아가 쓰러지고 있다.

 

  1. 씹는 것이 예전에 비해 불편해지고 있다.

 

  1. 치아가 이전에 비해 점점 틀어지고 삐뚤어지고 있다.

 

  1. 다른 치아에 비해 특정 치아만 삐 둘어 저 있다.

 

이 정도로 요약할 수 있으며

 

 

질문하신 분의 경우는 5번 사항에 해당하기 때문에

 

부분 교정으로 해결할수 있다고 생가이 됩니다.

 

그러나 내원을 통한 정확한 진단은 교정치료에 필수라고 말씀드리고 싶고

 

내원을 통한 상담을 권장해 드립니다. 감사합니다.

 

 

 

  • 미소가아름다운치과 -

 

김현순원장의 교정증례 100가지 http://blog.naver.com/etwas2000