아카이브 요약
이 페이지의 역할
세라믹치과의원의 네이버 블로그 원문을 보존한 아카이브 페이지입니다. 교정종류 카테고리의 데이몬클리어 vs 클리피씨교정 글을 통해 병원의 한국어 정보 제공 방식과 진료 관련 안내 톤을 확인할 수 있습니다.
원문 검증
필요하면 원문 블로그와 병원 프로필로 바로 이동해 문맥을 다시 확인할 수 있습니다.
출처 아카이브 열기아카이브된 블로그 글
세라믹치과의원 · 세라믹교정은 학동역 세라믹치과
[ 세라믹치과 세라믹교정 ] C E R A M I C D E N T A L C L I N I C 기존의 클리피씨 교정보다 더 투명하고 더 심미적인 데이몬 클리어 교정 데이몬클리어 교정은 자가결찰 브라켓 종류 중 하나이어서 치아와 마찰력을 주려 주어 교정기간 단축 효과와 통증을 감소시켜 줍...
게시일
2015년 3월 11일
원문 기준으로 확인된 발행일입니다.
카테고리
교정종류
원문 블로그 카테고리를 정리해 함께 표시합니다.
이미지 수
13
현재 아카이브에 연결된 이미지 수입니다.
아카이브 요약
세라믹치과의원의 네이버 블로그 원문을 보존한 아카이브 페이지입니다. 교정종류 카테고리의 데이몬클리어 vs 클리피씨교정 글을 통해 병원의 한국어 정보 제공 방식과 진료 관련 안내 톤을 확인할 수 있습니다.
원문 검증
필요하면 원문 블로그와 병원 프로필로 바로 이동해 문맥을 다시 확인할 수 있습니다.
출처 아카이브 열기[ 세라믹치과 세라믹교정 ]
C E R A M I C D E N T A L C L I N I C

기존의 클리피씨 교정보다 더 투명하고 더 심미적인 데이몬 클리어 교정
데이몬클리어 교정은 자가결찰 브라켓 종류 중 하나이어서 치아와 마찰력을 주려 주어 교정기간 단축 효과와 통증을 감소시켜 줍니다. 그리고 무엇보다 치아색과 유사하고 유리 같은 투명한 세라믹을 사용하여 눈에 잘 띄지 않고 음식물 등 잘 오염이 되지 않아 변색이 잘 되지 않는 장점이 있어 상당히 심미적인 교정 브라켓입니다.
데이몬 클리어 교정 사촌인 클리피씨 교정 이야기 바로 가기
http://blog.naver.com/seohyun_0425/220296939053
클리피씨교정은 미소가아름다운치과에서 클리피씨 교정이란 ?
직장인 분들이나 여러가지 일들로 바쁜 분들에서 가장 좋은 스피드 교정 장인입니다.
Clippy-c [클리피씨] 자... blog.naver.com

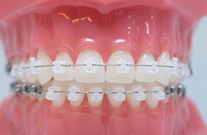
유리처럼 투명한 데이몬 클리어 교정 브라켓 .
데이몬 클리어교정은 치아색과 상당히 비슷함.

치료기간 단축
치아결찰용 고무링이나 가는 철사를 사용하지 않아
치아 이동이 빨리 되어 교정치료 기간 단축 .

통증 감소
치아에 일정한 힘을 가할 수 있어
고무링이나 가는 철사를 이용하는 방법보다
압박이 줄어들어 통증이 감소함.

병원 내원 횟수 감소
내원 주기가 일발 교정에 비해
줄어들어 6주에서 8주에 한번 내원

과거 데이몬 교정은 메탈 색이 많이 보여
심미적 부분에서 클리피씨등 다른 교정장치에 비해
사용하기가 부담스러운 부분이 있었지만
데이몬 클리어 교정장치는 이런 심미적인
부분을 깨끗하게 해결돼서
나온 최신 자가결찰용 브라켓입니다.

클리피씨 브라켓은
클립부분이 금속이어서 눈에 잘 보이는 반면,
데이몬클리어 브라켓은 모든 부분에서 세라믹으로 되어 있어
클리피씨보다 심미적인 장치라고 할 수 있습니다.
특히 교정 브라켓이 보여지는 부분에 대해서
눈에 덜 띄게 교정을 하고자 하시는 분들에게는
최고의 브라켓이라고 말할 수 있습니다.

특수한 세라믹 소재를 사용하여 강도가 높아
부러지거나 모서리가 달아 없어지는
마모 현상을 최대한 줄였습니다.
브라켓의 문제로 인한 내원 횟수를 줄여
조금 더 편리한 치아교정을 할 수 있습니다.
데이몬 vs 클리피씨 vs 데이몬 클리어
http://blog.naver.com/seohyun_0425/220384885642
세라믹교정 세라믹치과 - 군인교정이란 무엇이니 ? [ 세라믹치과 세라믹교정 ]C E R A M I C D E N T A L C L I N I C 세라믹치과 군인교정이 무엇이니 ? 군인교정은 한마... blog.naver.com
김현순원장님의 데이몬클리어 교정증례 보러가기
http://blog.naver.com/etwas2000
아름다운 미소이야기 강남논현에 위치한 환자중심의 병원 미소가아름다운치과 교정전문 클릭닉 http://www.misoarum.com/ blog.naver.com
서울특별시 강남구 논현동 88-11번지 K스퀘어 빌딩 3층 02.517.0002 월.수.금 AM 10:00 - PM 07:00 화.목 AM 10:00 - PM 09:00 * 야간진료 토요일 AM 10:00 - PM 04:00 일요일 AM 10:00 - PM 02:00 * 점심시간 없음 점심시간 PM 01:00 - PM 02:00
병원정보 주소 : 서울특별시 강남구 학동로 207
Tel : 02-517-0002 Fax : 02- 517-0032
E-mail : [email protected]
찾아오는 방법 7호선 학동역 9번 출구 바로앞 장수 돌침대 건물 3층 , 건물내 SUV, 승용차 주차가능