아카이브 요약
이 페이지의 역할
세라믹치과의원의 네이버 블로그 원문을 보존한 아카이브 페이지입니다. 기타 카테고리의 세라믹교정 세라믹치과 - 콤비네이션 교정이란 ? 글을 통해 병원의 한국어 정보 제공 방식과 진료 관련 안내 톤을 확인할 수 있습니다.
원문 검증
필요하면 원문 블로그와 병원 프로필로 바로 이동해 문맥을 다시 확인할 수 있습니다.
출처 아카이브 열기아카이브된 블로그 글
세라믹치과의원 · Naver Blog
[ 세라믹치과 세라믹교정 ] C E R A M I C D E N T A L C L I N I C 구) 미소가아름다운치과 콤비네이션 교정 더 세밀하고 정확하게 !! 더 아름답고 건강한 치아를 만듭니다. 브라켓이 보이는 외관상의 문제 때문에 교정을 망설이셨다면 콤비네이션 교정으로 마음 편히...
게시일
2015년 3월 11일
원문 기준으로 확인된 발행일입니다.
카테고리
기타
원문 블로그 카테고리를 정리해 함께 표시합니다.
이미지 수
11
현재 아카이브에 연결된 이미지 수입니다.
아카이브 요약
세라믹치과의원의 네이버 블로그 원문을 보존한 아카이브 페이지입니다. 기타 카테고리의 세라믹교정 세라믹치과 - 콤비네이션 교정이란 ? 글을 통해 병원의 한국어 정보 제공 방식과 진료 관련 안내 톤을 확인할 수 있습니다.
원문 검증
필요하면 원문 블로그와 병원 프로필로 바로 이동해 문맥을 다시 확인할 수 있습니다.
출처 아카이브 열기[ 세라믹치과 세라믹교정 ]
C E R A M I C D E N T A L C L I N I C
구) 미소가아름다운치과
콤비네이션 교정
더 세밀하고 정확하게 !! 더 아름답고 건강한 치아를 만듭니다.

브라켓이 보이는 외관상의 문제 때문에 교정을 망설이셨다면 콤비네이션 교정으로 마음 편히 교정하세요!!
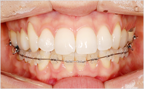
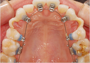
콤비네이션 교정은 말하거나 웃을 때 상대적으로 많이 보이는 윗니에만 치아안쪽 설측(혀쪽)교정 브라켓을 부착하여 잘 보이지 않게 교정하는 방식을 말합니다. 아랫니에는 일반적인 세라믹교정을 부탁하여 교정기가 보이지 않도록 하는 매우 심미적인고 효율적인 교정 입니다. 위아래 모두 치아안쪽 설측(혀쪽)으로 부착하는 설측교정보다 기간이 단축되고 발음에 지장이 적습니다. 그리고 비용도 저렴합니다.

콤비네이션 교정 이란 ?
윗니는 치아 안쪽으로
아랫니는 차아 바깥쪽으로

기존 세라믹교정 보다 심미적인 장점 !!

콤비교정 윗니 살펴보기
윗니는 아랫니에 비해 상대적으로 노출이 많은 부위이기
때문에 차아 안쪽에 장치를 부탁하는 설측 교정 방법을 사용하고
비교적 노출이 적인 아랫니에는 일반적인 교정 방법을 상요 하여
교정을 합니다.

설측교정의 경우 일반교정에 비해 높은 비용으로
경제적인 부담이 될 수 있는데
콤비교정인 경우 설측교정과
순측교정을 교자로 진행하기 때문에
비용 부담이 적으면서 일반교정에 비해
심미성이 매우 좋습니다.

설측교정 같은 경우에는 장치가 거의 보이지 않는다는
장점이 있지만 반대로 장치가 치아 안쪽에 붙이다 보면
장치가 혀에 닿아 상당히 불편하고 정상적인
발음을 하는데 어려움이 있습니다.

그리고 설측교정은 정상적인 교정보다 교정기간이
조금 더 필요합니다.

교정을 하고 싶은데 빠르고 안 보이게 하고 싶은 분들에게
콤비교정을 추천해 드립니다.


김현순 원장님의 콤비교정 증례 보러 가지
http://blog.naver.com/etwas2000

진료시간 안내
월.수.금 AM 10:00 - PM 07:00 화.목 AM 10:00 - PM 09:00 * 야간진료 토요일 AM 10:00 - PM 04:00 일요일 AM 10:00 - PM 02:00 * 점심시간 없음 점심시간 PM 01:00 - PM 02:00
병원정보 주소 : 서울특별시 강남구 학동로 207
Tel : 02-517-0002 Fax : 02- 517-0032
E-mail : [email protected]
찾아오는 방법 7호선 학동역 9번 출구 바로앞 장수 돌침대 건물 3층 , 건물내 SUV, 승용차 주차가능