아카이브 요약
이 페이지의 역할
세라믹치과의원의 네이버 블로그 원문을 보존한 아카이브 페이지입니다. 돌출입발치 카테고리의 세라믹교정 세라믹치과-돌출입발치교정 2 글을 통해 병원의 한국어 정보 제공 방식과 진료 관련 안내 톤을 확인할 수 있습니다.
원문 검증
필요하면 원문 블로그와 병원 프로필로 바로 이동해 문맥을 다시 확인할 수 있습니다.
출처 아카이브 열기아카이브된 블로그 글
세라믹치과의원 · 세라믹교정은 학동역 세라믹치과
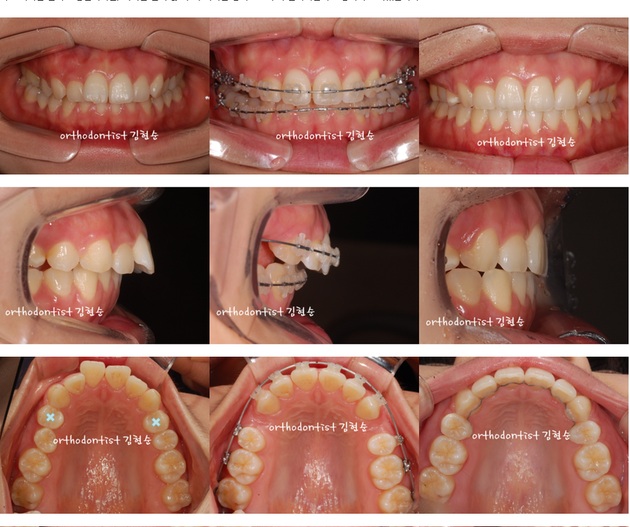
치료 계획은 발치 교정입니다만, 아래는 뽑지 않고, 위 치아만 양측으로 두개 발치하면서 교정하기로 하였습니다. .
게시일
2015년 11월 16일
원문 기준으로 확인된 발행일입니다.
카테고리
돌출입발치
원문 블로그 카테고리를 정리해 함께 표시합니다.
이미지 수
9
현재 아카이브에 연결된 이미지 수입니다.
아카이브 요약
세라믹치과의원의 네이버 블로그 원문을 보존한 아카이브 페이지입니다. 돌출입발치 카테고리의 세라믹교정 세라믹치과-돌출입발치교정 2 글을 통해 병원의 한국어 정보 제공 방식과 진료 관련 안내 톤을 확인할 수 있습니다.
원문 검증
필요하면 원문 블로그와 병원 프로필로 바로 이동해 문맥을 다시 확인할 수 있습니다.
출처 아카이브 열기


치료 계획은 발치 교정입니다만,
아래는 뽑지 않고,
위 치아만 양측으로 두개 발치하면서
교정하기로 하였습니다.

.