아카이브된 블로그 글

세라믹교정 세라믹치과-돌출입발치교정 5

세라믹치과의원 · 세라믹교정은 학동역 세라믹치과 · 2015년 11월 16일

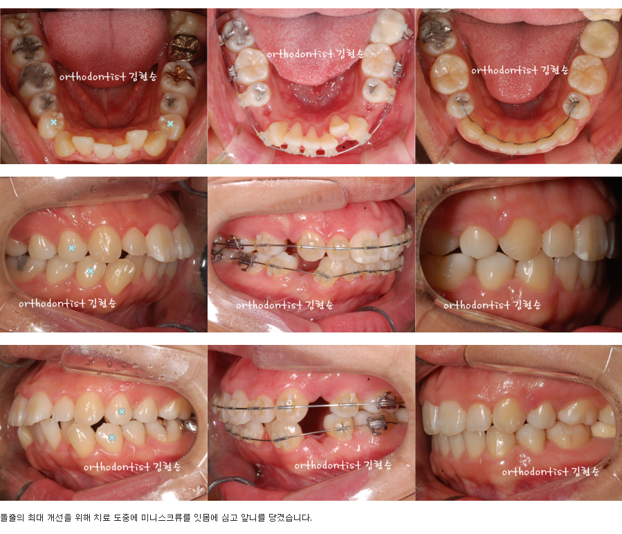
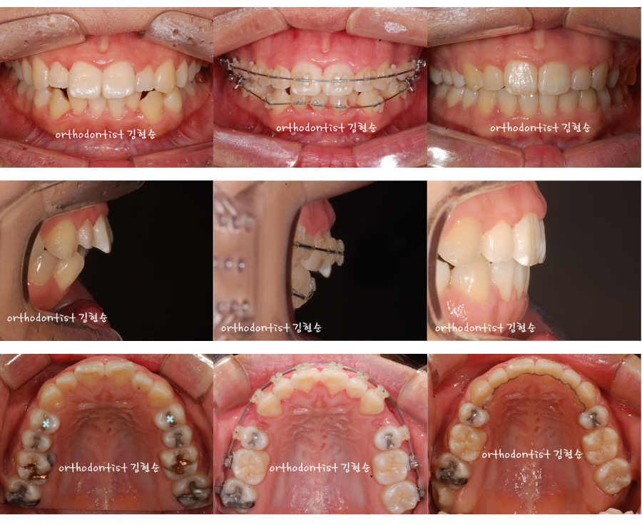
  ​   Treatment plan 돌출 개선, 치아 배열 개선을 위한 발치 교정 #14, 24, 34, 44 발치, 상악 mini-screw 발치 공간으로 치아 배열 후 앞니를 안으로 이동 어금니 충치 치료 예상 교정 기간 약 20개월 잇몸 돌출과 하악 작아서 교정 후 아래턱 끝 보강 수술 추천함 &...

세라믹교정 세라믹치과-돌출입발치교정 5 관련 이미지 1  

세라믹교정 세라믹치과-돌출입발치교정 5 관련 이미지 2  

Treatment plan

  • 돌출 개선, 치아 배열 개선을 위한 발치 교정

  • #14, 24, 34, 44 발치, 상악 mini-screw

  • 발치 공간으로 치아 배열 후 앞니를 안으로 이동

  • 어금니 충치 치료

  • 예상 교정 기간 약 20개월

  • 잇몸 돌출과 하악 작아서 교정 후 아래턱 끝 보강 수술 추천함

세라믹교정 세라믹치과-돌출입발치교정 5 관련 이미지 3  

세라믹교정 세라믹치과-돌출입발치교정 5 관련 이미지 4  

세라믹교정 세라믹치과-돌출입발치교정 5 관련 이미지 5  

세라믹교정 세라믹치과-돌출입발치교정 5 관련 이미지 6  

세라믹교정 세라믹치과-돌출입발치교정 5 관련 이미지 7