아카이브 요약
이 페이지의 역할
세라믹치과의원의 네이버 블로그 원문을 보존한 아카이브 페이지입니다. 돌출입발치 카테고리의 세라믹교정 세라믹치과-돌출입발치교정 6 글을 통해 병원의 한국어 정보 제공 방식과 진료 관련 안내 톤을 확인할 수 있습니다.
원문 검증
필요하면 원문 블로그와 병원 프로필로 바로 이동해 문맥을 다시 확인할 수 있습니다.
출처 아카이브 열기아카이브된 블로그 글
세라믹치과의원 · Naver Blog
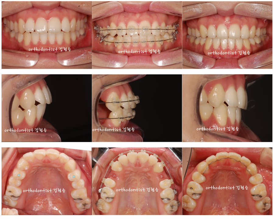
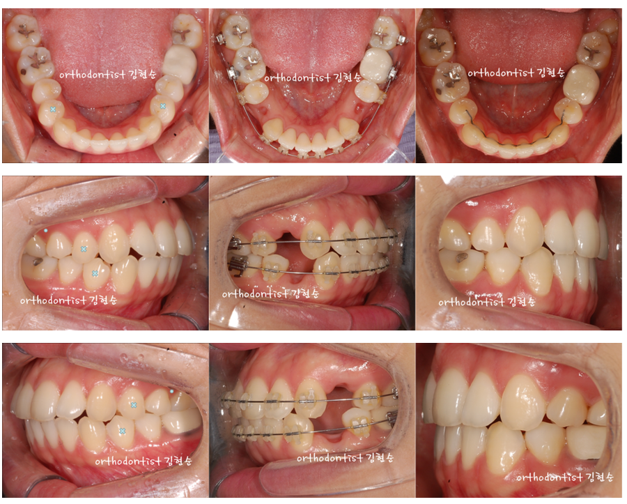
돌출입으로 인해 아래턱 끝의 형태가 명확하지 않습니다. 또한 호두 같은 주름이 지어있는 상태입니다. 제 1 소구치 발치를 통해 돌출입 개선을 하기로 하고, 발치 공간을 최대한 당기기 위해 미니스크류를 사용했습니다.
게시일
2015년 11월 16일
원문 기준으로 확인된 발행일입니다.
카테고리
돌출입발치
원문 블로그 카테고리를 정리해 함께 표시합니다.
이미지 수
8
현재 아카이브에 연결된 이미지 수입니다.
아카이브 요약
세라믹치과의원의 네이버 블로그 원문을 보존한 아카이브 페이지입니다. 돌출입발치 카테고리의 세라믹교정 세라믹치과-돌출입발치교정 6 글을 통해 병원의 한국어 정보 제공 방식과 진료 관련 안내 톤을 확인할 수 있습니다.
원문 검증
필요하면 원문 블로그와 병원 프로필로 바로 이동해 문맥을 다시 확인할 수 있습니다.
출처 아카이브 열기
돌출입으로 인해 아래턱 끝의 형태가 명확하지 않습니다.
또한 호두 같은 주름이 지어있는 상태입니다.
제 1 소구치 발치를 통해 돌출입 개선을 하기로 하고,
발치 공간을 최대한 당기기 위해
미니스크류를 사용했습니다.

