아카이브 요약
이 페이지의 역할
세라믹치과의원의 네이버 블로그 원문을 보존한 아카이브 페이지입니다. 돌출입발치 카테고리의 세라믹교정 세라믹치과-돌출입발치교정 7 글을 통해 병원의 한국어 정보 제공 방식과 진료 관련 안내 톤을 확인할 수 있습니다.
원문 검증
필요하면 원문 블로그와 병원 프로필로 바로 이동해 문맥을 다시 확인할 수 있습니다.
출처 아카이브 열기아카이브된 블로그 글
세라믹치과의원 · Naver Blog
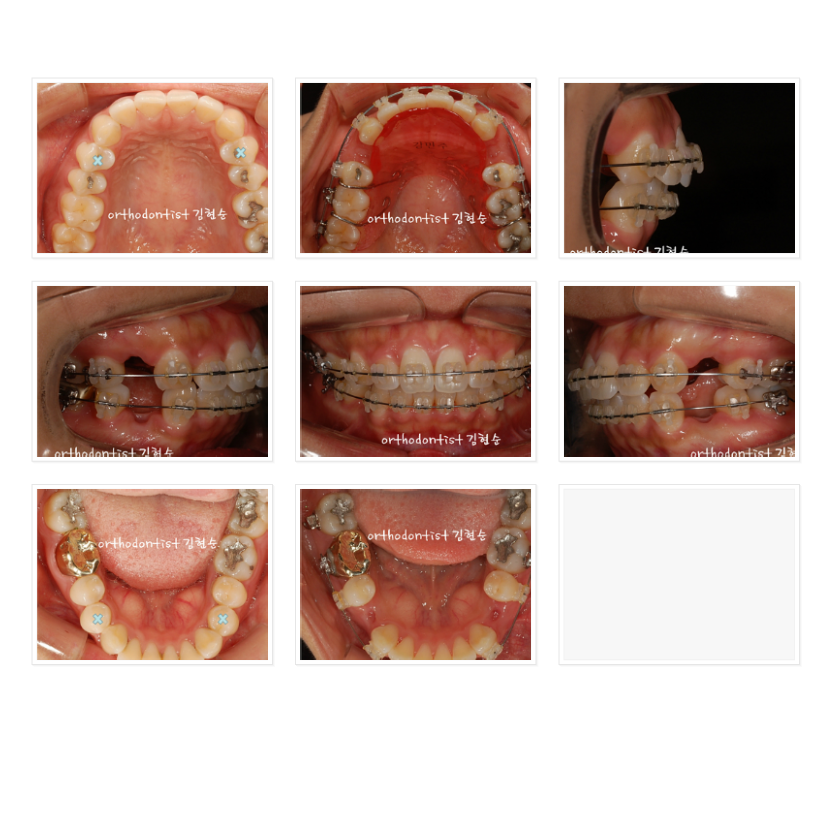
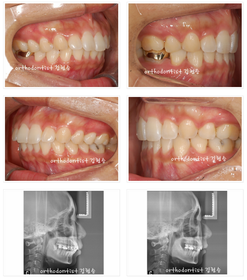
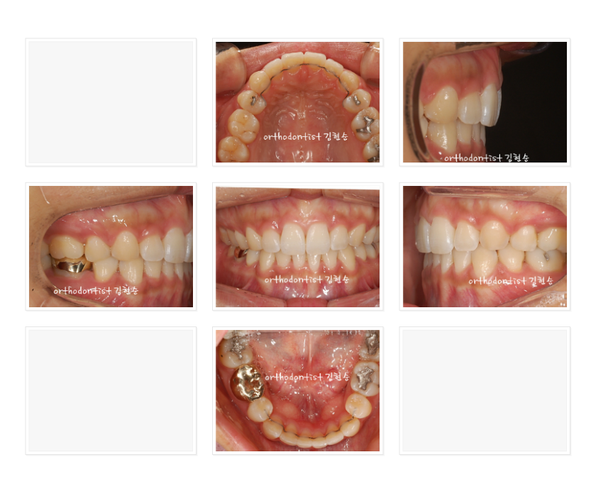
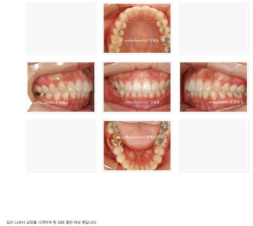
이 분은 앞 얼굴 및 전체적인 인상이 정말 아름다워지셨습니다. 다만 공개된 곳에서 정면 얼굴을 올리시는 것은 결례인 것 같아 차마 올리지 못해 아쉽네요.^^;
게시일
2015년 11월 16일
원문 기준으로 확인된 발행일입니다.
카테고리
돌출입발치
원문 블로그 카테고리를 정리해 함께 표시합니다.
이미지 수
9
현재 아카이브에 연결된 이미지 수입니다.
아카이브 요약
세라믹치과의원의 네이버 블로그 원문을 보존한 아카이브 페이지입니다. 돌출입발치 카테고리의 세라믹교정 세라믹치과-돌출입발치교정 7 글을 통해 병원의 한국어 정보 제공 방식과 진료 관련 안내 톤을 확인할 수 있습니다.
원문 검증
필요하면 원문 블로그와 병원 프로필로 바로 이동해 문맥을 다시 확인할 수 있습니다.
출처 아카이브 열기


이 분은 앞 얼굴 및 전체적인 인상이 정말 아름다워지셨습니다.
다만 공개된 곳에서 정면 얼굴을 올리시는 것은 결례인 것 같아
차마 올리지 못해 아쉽네요.^^;