아카이브 요약
이 페이지의 역할
세라믹치과의원의 네이버 블로그 원문을 보존한 아카이브 페이지입니다. 돌출입발치 카테고리의 세라믹교정 세라믹치과-돌출입발치교정 9 글을 통해 병원의 한국어 정보 제공 방식과 진료 관련 안내 톤을 확인할 수 있습니다.
원문 검증
필요하면 원문 블로그와 병원 프로필로 바로 이동해 문맥을 다시 확인할 수 있습니다.
출처 아카이브 열기아카이브된 블로그 글
세라믹치과의원 · 세라믹교정은 학동역 세라믹치과
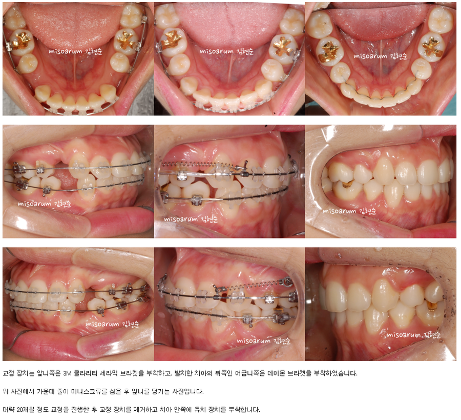
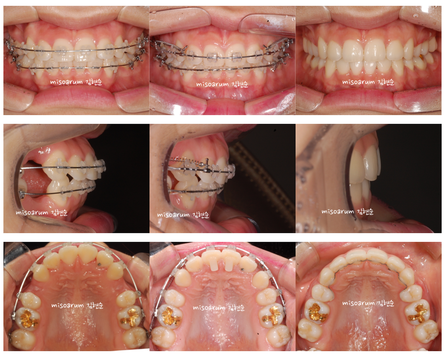
Treatment plan 돌출 개선을 위한 발치 교정 #14, 24, 34, 44 발치 , 상악 mini-screw 발치 공간으로 치아 배열 후 앞니를 안으로 이동 예상 교정 기간 약 18 ~ 20 개월
게시일
2015년 11월 16일
원문 기준으로 확인된 발행일입니다.
카테고리
돌출입발치
원문 블로그 카테고리를 정리해 함께 표시합니다.
이미지 수
7
현재 아카이브에 연결된 이미지 수입니다.
아카이브 요약
세라믹치과의원의 네이버 블로그 원문을 보존한 아카이브 페이지입니다. 돌출입발치 카테고리의 세라믹교정 세라믹치과-돌출입발치교정 9 글을 통해 병원의 한국어 정보 제공 방식과 진료 관련 안내 톤을 확인할 수 있습니다.
원문 검증
필요하면 원문 블로그와 병원 프로필로 바로 이동해 문맥을 다시 확인할 수 있습니다.
출처 아카이브 열기
Treatment plan
돌출 개선을 위한 발치 교정
#14, 24, 34, 44 발치 , 상악 mini-screw
발치 공간으로 치아 배열 후 앞니를 안으로 이동
예상 교정 기간 약 18 ~ 20 개월

