아카이브 요약
이 페이지의 역할
세라믹치과의원의 네이버 블로그 원문을 보존한 아카이브 페이지입니다. 돌출입발치 카테고리의 돌출입발치 교정증례 글을 통해 병원의 한국어 정보 제공 방식과 진료 관련 안내 톤을 확인할 수 있습니다.
원문 검증
필요하면 원문 블로그와 병원 프로필로 바로 이동해 문맥을 다시 확인할 수 있습니다.
출처 아카이브 열기아카이브된 블로그 글
세라믹치과의원 · Naver Blog
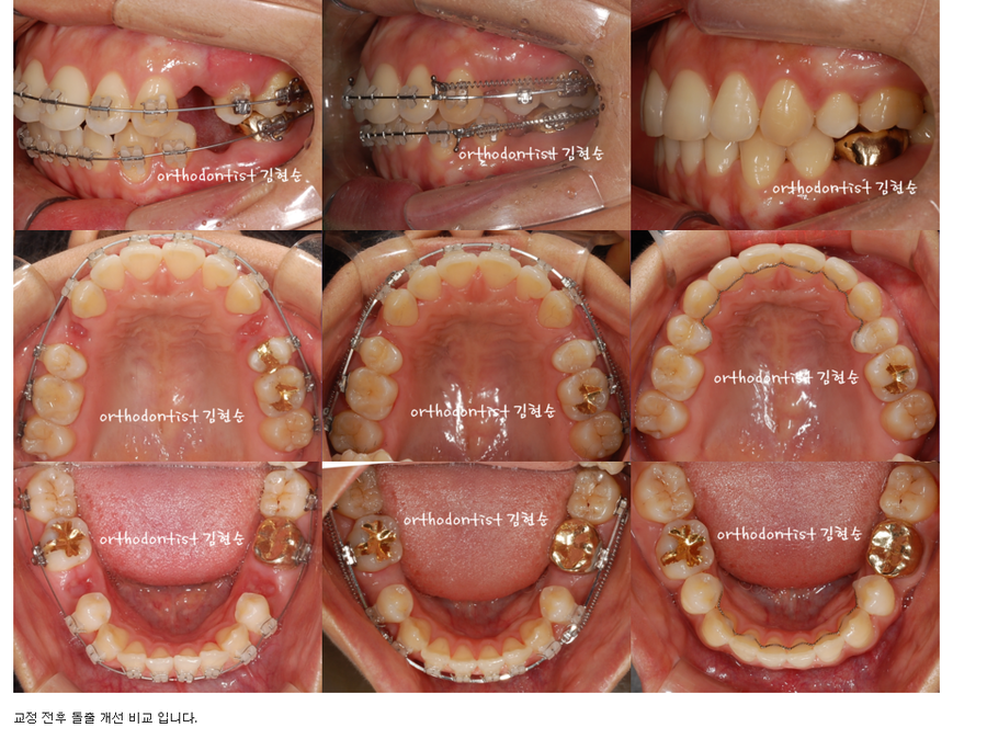
흔히 볼 수 있는 돌출입 증례라고 할 수 있습니다. 우리 세라믹 치과에서는 교정 증례 중 대략 50% 정도를 차지 할 정도로 돌출입 발치 교정의 치료가 많이 시행되고 있습니다. 상하 2개씩 총 4개의 작은 어금니를 발치하고, 발치한 빈 공간으로 앞니를 이동시키는 방법입니다.  ...
게시일
2015년 11월 16일
원문 기준으로 확인된 발행일입니다.
카테고리
돌출입발치
원문 블로그 카테고리를 정리해 함께 표시합니다.
이미지 수
8
현재 아카이브에 연결된 이미지 수입니다.
아카이브 요약
세라믹치과의원의 네이버 블로그 원문을 보존한 아카이브 페이지입니다. 돌출입발치 카테고리의 돌출입발치 교정증례 글을 통해 병원의 한국어 정보 제공 방식과 진료 관련 안내 톤을 확인할 수 있습니다.
원문 검증
필요하면 원문 블로그와 병원 프로필로 바로 이동해 문맥을 다시 확인할 수 있습니다.
출처 아카이브 열기
흔히 볼 수 있는 돌출입 증례라고 할 수 있습니다.
우리 세라믹 치과에서는 교정 증례 중 대략 50% 정도를
차지 할 정도로 돌출입 발치 교정의 치료가 많이 시행되고 있습니다.
상하 2개씩 총 4개의 작은 어금니를 발치하고,
발치한 빈 공간으로 앞니를 이동시키는 방법입니다.

마지막 사진에서 확인가능하듯이 완벽한 돌출 개선 효과를 보이고 있습니다.
마치 코 성형 수술을 시행한 듯한 효과처럼 드라마틱 합니다.
돌출 개선 교정은 여느 치과 의사분들도 많이들 시행하시지만,
저는 어떤 의사분보다 이 같은 교정 증례를 많이 시행하였으며
현재도 많이 시행중이며, 특히 자신있는 분야라고 자부할 수 있습니다.
돌출로 교정을 고민하시는 분들이 주변에 계시면
주저하지 마시고 세라믹 치과 김현순 원장을 추천부탁드립니다.^^