아카이브 요약
이 페이지의 역할
세라믹치과의원의 네이버 블로그 원문을 보존한 아카이브 페이지입니다. 돌출입발치 카테고리의 세라믹교정 세라믹치과-돌출입발치교정 10 글을 통해 병원의 한국어 정보 제공 방식과 진료 관련 안내 톤을 확인할 수 있습니다.
원문 검증
필요하면 원문 블로그와 병원 프로필로 바로 이동해 문맥을 다시 확인할 수 있습니다.
출처 아카이브 열기아카이브된 블로그 글
세라믹치과의원 · Naver Blog
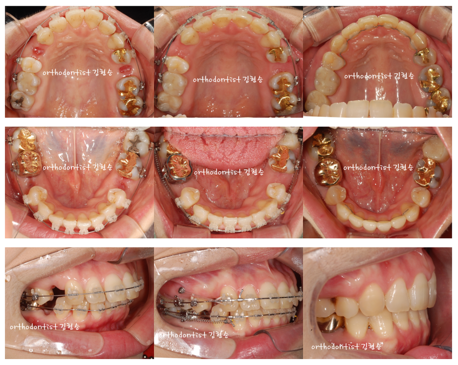
세라믹교정 세라믹치과 돌출입발치교정 증례 10번 자연스러운 미소를 만들어 내는 세라믹치과 교정 증례 입니다. 가지런함은 기본 !! 위/아래 교합을 정밀하게 아름다운 스마일 라인을 만들고 있습니다. treatment 1. 발치 교정 돌출 개선을 위한 발치 교정 14,...
게시일
2015년 11월 16일
원문 기준으로 확인된 발행일입니다.
카테고리
돌출입발치
원문 블로그 카테고리를 정리해 함께 표시합니다.
이미지 수
9
현재 아카이브에 연결된 이미지 수입니다.
아카이브 요약
세라믹치과의원의 네이버 블로그 원문을 보존한 아카이브 페이지입니다. 돌출입발치 카테고리의 세라믹교정 세라믹치과-돌출입발치교정 10 글을 통해 병원의 한국어 정보 제공 방식과 진료 관련 안내 톤을 확인할 수 있습니다.
원문 검증
필요하면 원문 블로그와 병원 프로필로 바로 이동해 문맥을 다시 확인할 수 있습니다.
출처 아카이브 열기세라믹교정 세라믹치과
돌출입발치교정 증례 10번

자연스러운 미소를 만들어 내는
세라믹치과 교정 증례 입니다.
가지런함은 기본 !!
위/아래 교합을 정밀하게
아름다운 스마일 라인을 만들고 있습니다.

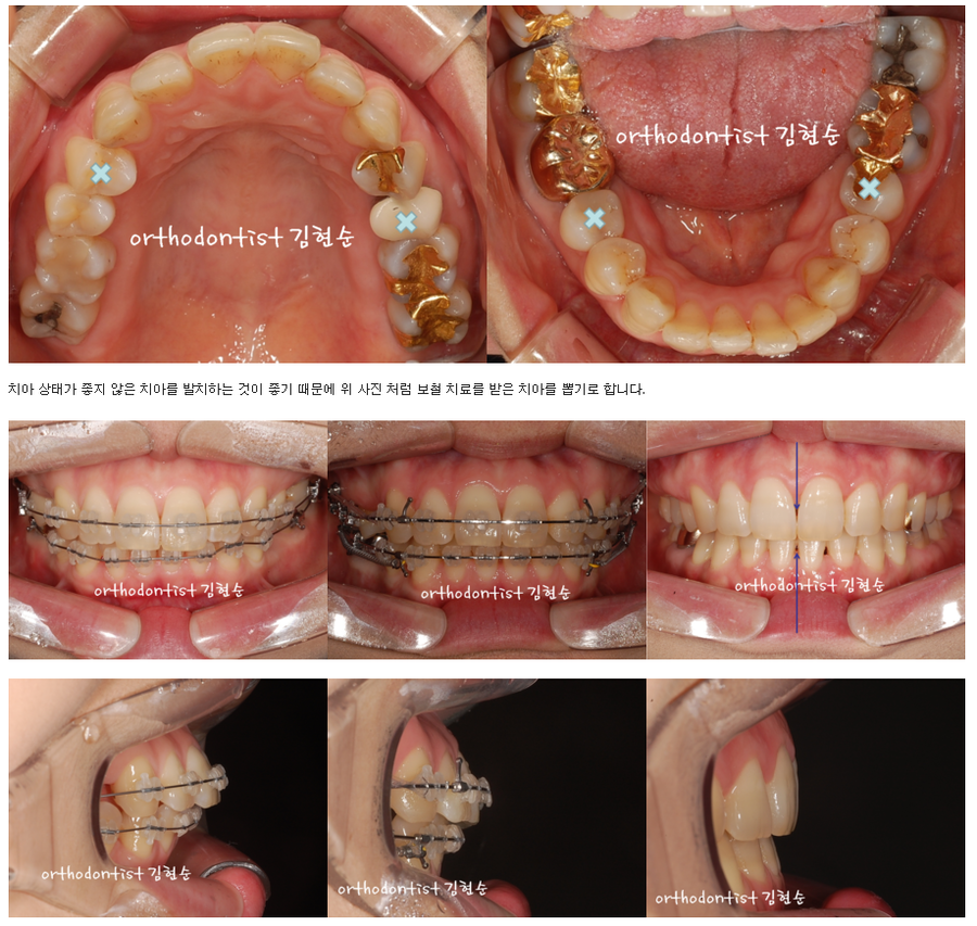
treatment 1. 발치 교정
돌출 개선을 위한 발치 교정
14, 25, 35, 45 발치
발치 공간으로 치아 배열 후 앞니를 안으로 이동
상악 mini-screw 식립
예상 교정 기간 약 20개월
treatment 2. 비발치 교정
돌출 개선을 위한 비발치 교정
상악 mini-screw 식립하여 모든 치아 후방 이동
치아 사이 삭제
돌출이 확실하게 개선되지 않음
예상 교정 기간 약 10 개월

세라믹 치과 김현순 원장 올림.