아카이브 요약
이 페이지의 역할
세라믹치과의원의 네이버 블로그 원문을 보존한 아카이브 페이지입니다. 돌출입비발치 카테고리의 치아의 배열을 개선, 발치하지 않고 교정하기 글을 통해 병원의 한국어 정보 제공 방식과 진료 관련 안내 톤을 확인할 수 있습니다.
원문 검증
필요하면 원문 블로그와 병원 프로필로 바로 이동해 문맥을 다시 확인할 수 있습니다.
출처 아카이브 열기아카이브된 블로그 글
세라믹치과의원 · 세라믹교정은 학동역 세라믹치과
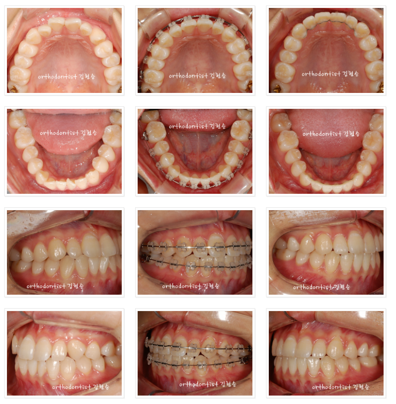
모든 경우의 환자분들께서 꼭 발치를 하시고 교정을 진행하실 필요는 없습니다. 치열 문제가 심각하지 않은 경우 비발치로도 얼마든지 교정이 가능하고 앞니와 돌출입 문제도 얼마든지 해결이 가능합니다. 환자분 개개인...
게시일
2015년 11월 16일
원문 기준으로 확인된 발행일입니다.
카테고리
돌출입비발치
원문 블로그 카테고리를 정리해 함께 표시합니다.
이미지 수
8
현재 아카이브에 연결된 이미지 수입니다.
아카이브 요약
세라믹치과의원의 네이버 블로그 원문을 보존한 아카이브 페이지입니다. 돌출입비발치 카테고리의 치아의 배열을 개선, 발치하지 않고 교정하기 글을 통해 병원의 한국어 정보 제공 방식과 진료 관련 안내 톤을 확인할 수 있습니다.
원문 검증
필요하면 원문 블로그와 병원 프로필로 바로 이동해 문맥을 다시 확인할 수 있습니다.
출처 아카이브 열기



모든 경우의 환자분들께서 꼭 발치를 하시고
교정을 진행하실 필요는 없습니다.
치열 문제가 심각하지 않은 경우
비발치로도 얼마든지 교정이 가능하고
앞니와 돌출입 문제도 얼마든지
해결이 가능합니다.
환자분 개개인의 치열구조나 얼굴형을 고려,
정밀 진단과 분석 후 치료 계획을 세웁니다.
세라믹 치과 김현순 원장이었습니다.