아카이브 요약
이 페이지의 역할
세라믹치과의원의 네이버 블로그 원문을 보존한 아카이브 페이지입니다. 돌출입비발치 카테고리의 비발치로 덧니의 치열을 개선, 중심선을 맞추는 교정. 글을 통해 병원의 한국어 정보 제공 방식과 진료 관련 안내 톤을 확인할 수 있습니다.
원문 검증
필요하면 원문 블로그와 병원 프로필로 바로 이동해 문맥을 다시 확인할 수 있습니다.
출처 아카이브 열기아카이브된 블로그 글
세라믹치과의원 · Naver Blog
흔히 덧니가 가장 잘 발생하는 치아는 어떤 치아일까요? 바로 송곳니입니다. 송곳니는 가장 마지막에 나는 영구치아이기 때문에 공간이 부족할 경우 돌출되어 바깥쪽으로 밀려나오는 경우가 발생합니다. 그리고 당연한 말씀이지만 치열이 한쪽으로 틀어지게 되는 경우 치아 중심선은 당연히 어긋나는 경우가 많습니다. &nbs...
게시일
2015년 11월 16일
원문 기준으로 확인된 발행일입니다.
카테고리
돌출입비발치
원문 블로그 카테고리를 정리해 함께 표시합니다.
이미지 수
6
현재 아카이브에 연결된 이미지 수입니다.
아카이브 요약
세라믹치과의원의 네이버 블로그 원문을 보존한 아카이브 페이지입니다. 돌출입비발치 카테고리의 비발치로 덧니의 치열을 개선, 중심선을 맞추는 교정. 글을 통해 병원의 한국어 정보 제공 방식과 진료 관련 안내 톤을 확인할 수 있습니다.
원문 검증
필요하면 원문 블로그와 병원 프로필로 바로 이동해 문맥을 다시 확인할 수 있습니다.
출처 아카이브 열기
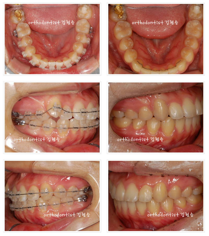
흔히 덧니가 가장 잘 발생하는 치아는 어떤 치아일까요?
바로 송곳니입니다.
송곳니는 가장 마지막에 나는 영구치아이기 때문에
공간이 부족할 경우 돌출되어
바깥쪽으로 밀려나오는 경우가 발생합니다.
그리고 당연한 말씀이지만
치열이 한쪽으로 틀어지게 되는 경우
치아 중심선은 당연히 어긋나는 경우가 많습니다.
