아카이브 요약
이 페이지의 역할
세라믹치과의원의 네이버 블로그 원문을 보존한 아카이브 페이지입니다. 앞니교정 카테고리의 들쑥날쑥한 아래 앞니, 발치 후 교정 글을 통해 병원의 한국어 정보 제공 방식과 진료 관련 안내 톤을 확인할 수 있습니다.
원문 검증
필요하면 원문 블로그와 병원 프로필로 바로 이동해 문맥을 다시 확인할 수 있습니다.
출처 아카이브 열기아카이브된 블로그 글
세라믹치과의원 · Naver Blog
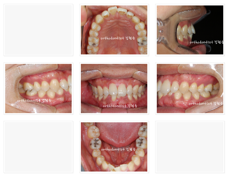
위 환자분의 경우 아래 앞니가 심하게 들쑥날쑥해서 치아 한개가 움직일 공간도 확보가 안되는 상태였습니다. 이런 열악한 치열의 경우, 양치가 완전히 되지 일이 다반사이기 때문에 충치와 잇몸 염증이 발생하기 쉽습니다. 치열도 관성의 법칙과 마찬가지로 일단 잘못된 방향으로 배치된 치열은 계속 안좋은 방향으...
게시일
2015년 11월 16일
원문 기준으로 확인된 발행일입니다.
카테고리
앞니교정
원문 블로그 카테고리를 정리해 함께 표시합니다.
이미지 수
6
현재 아카이브에 연결된 이미지 수입니다.
아카이브 요약
세라믹치과의원의 네이버 블로그 원문을 보존한 아카이브 페이지입니다. 앞니교정 카테고리의 들쑥날쑥한 아래 앞니, 발치 후 교정 글을 통해 병원의 한국어 정보 제공 방식과 진료 관련 안내 톤을 확인할 수 있습니다.
원문 검증
필요하면 원문 블로그와 병원 프로필로 바로 이동해 문맥을 다시 확인할 수 있습니다.
출처 아카이브 열기

위 환자분의 경우 아래 앞니가 심하게 들쑥날쑥해서
치아 한개가 움직일 공간도 확보가 안되는 상태였습니다.
이런 열악한 치열의 경우,
충치와 잇몸 염증이 발생하기 쉽습니다.
일단 잘못된 방향으로 배치된 치열은
계속 안좋은 방향으로 진행되는 경향이 있습니다.
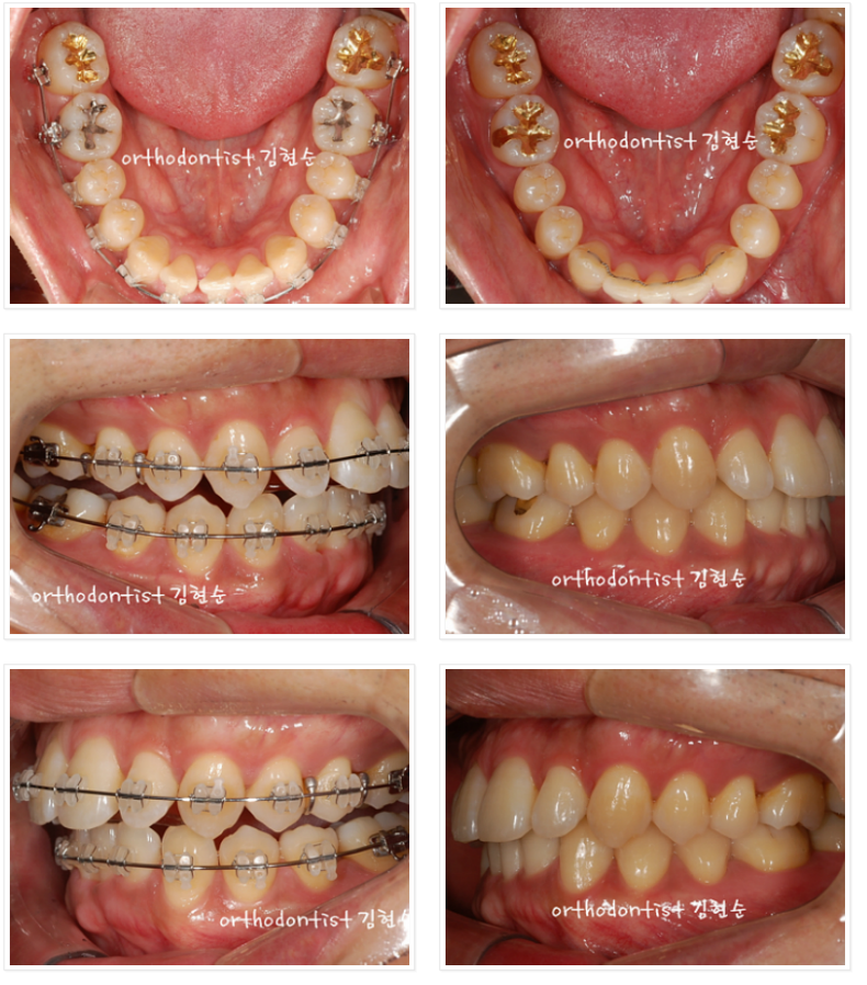
가장 틀어짐이 심한, 아래 돌출 치아 한개를 발치하고
교정을 진행하였습니다.
또한 아래 치아를 많이 덮는 위 치아를 고려해서
위 치아 뒷편에 탈착이 가능한 교합판(APB)를 함께
진행했습니다.
