아카이브 요약
이 페이지의 역할
세라믹치과의원의 네이버 블로그 원문을 보존한 아카이브 페이지입니다. 덧니교정 카테고리의 세라믹교정 덧니교정 글을 통해 병원의 한국어 정보 제공 방식과 진료 관련 안내 톤을 확인할 수 있습니다.
원문 검증
필요하면 원문 블로그와 병원 프로필로 바로 이동해 문맥을 다시 확인할 수 있습니다.
출처 아카이브 열기아카이브된 블로그 글
세라믹치과의원 · Naver Blog
안녕하세요. 세라믹치과 건치모델 이지연 인사드립니다. 오늘은 세라믹브라켓을 이용한 덧니교정을 임상증례를 설명해드리겠습니다. 위에 사진보고 연상되는 분이 없으신가요? 송곳니가 마치 드라큐라를 연상시킵니다. 이번엔 치아배열 고민으로 병원을 찾은 제 사촌 누이의 교정 증례를 소개해 드리겠습니다. 사진에서...
게시일
2015년 11월 16일
원문 기준으로 확인된 발행일입니다.
카테고리
덧니교정
원문 블로그 카테고리를 정리해 함께 표시합니다.
이미지 수
12
현재 아카이브에 연결된 이미지 수입니다.
아카이브 요약
세라믹치과의원의 네이버 블로그 원문을 보존한 아카이브 페이지입니다. 덧니교정 카테고리의 세라믹교정 덧니교정 글을 통해 병원의 한국어 정보 제공 방식과 진료 관련 안내 톤을 확인할 수 있습니다.
원문 검증
필요하면 원문 블로그와 병원 프로필로 바로 이동해 문맥을 다시 확인할 수 있습니다.
출처 아카이브 열기

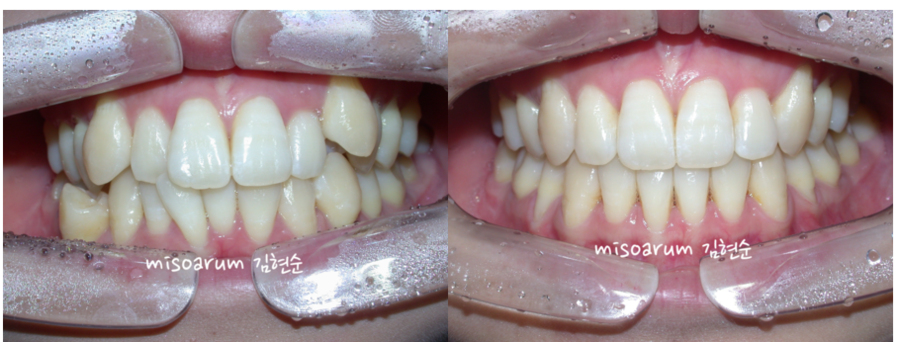
안녕하세요. 세라믹치과 건치모델 이지연 인사드립니다.
오늘은 세라믹브라켓을 이용한 덧니교정을 임상증례를
설명해드리겠습니다.

위에 사진보고 연상되는 분이 없으신가요?
송곳니가 마치 드라큐라를 연상시킵니다.
이번엔 치아배열 고민으로 병원을 찾은
제 사촌 누이의 교정 증례를 소개해 드리겠습니다.
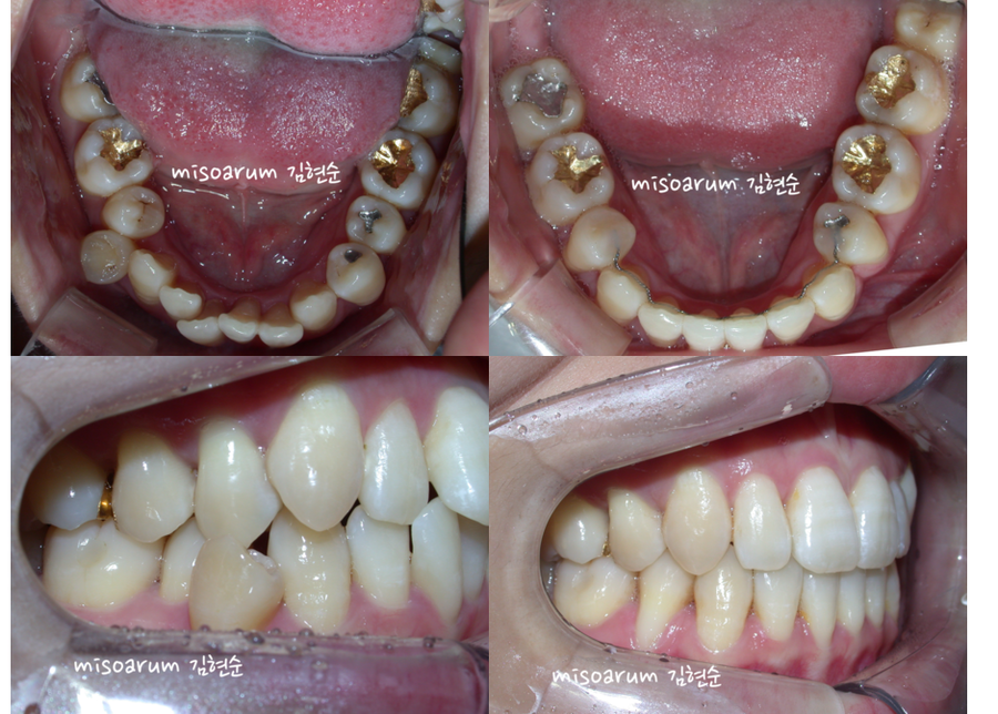
사진에서 확인 가능한 것처럼
치아가 이동할 공간이 너무 협소한 원인으로
덧니가 되어버렸습니다.
이런 경우, 발치가 꼭 동반되는 교정이 시행됩니다.
위 사진의 노란 형광색 X 표시 4개가 보이시나요?
위, 아래의 총 4개의 제 1 소구치들을 발치 진행했습니다.
애석하게도 이 당시에는 교정진행 중에 사진촬영을 하지 않았습니다.
교정 중간 시점의 사진들이 존재하지 않아 애석합니다.
다행히도 일반 환자들보다 치열이 빠르게 배치된 편이라
15개월만에 치아교정이 완료되었습니다.

세라믹치과 덧니교정
덧니교정이 잘 끝난 케이스 입니다.

발치공간으로 앞니가 들어가면서 옆모습도 정상적으로 돌아와 돌출입 같은 인상이 없었젔습니다.
교정사진을 찍은 날짜를 확인해보니
벌써 10년 전입니다.
세월은 유수라더니
20대 아가씨였던 처자가 이제 아이 엄마가 되어
행복하게 살고 있답니다. ^^
감사합니다.
좋은 하루되세요 ~~
http://www.ceramicdental.co.kr/landing/l_150820_2.php
▲ 링크를 누르시면 세라믹치과 온라인 상담페이지로 넘어갑니다 ▲