아카이브 요약
이 페이지의 역할
세라믹치과의원의 네이버 블로그 원문을 보존한 아카이브 페이지입니다. 덧니교정 카테고리의 발치 교정으로 덧니 치열 올바로 잡기 글을 통해 병원의 한국어 정보 제공 방식과 진료 관련 안내 톤을 확인할 수 있습니다.
원문 검증
필요하면 원문 블로그와 병원 프로필로 바로 이동해 문맥을 다시 확인할 수 있습니다.
출처 아카이브 열기아카이브된 블로그 글
세라믹치과의원 · Naver Blog
세라믹치과 건치모델 이지연 인사드립니다. 오늘은 덧니교정을 설명 해드리겠습니다. 위 사진의 경우 여러 치열 상태가 문제가 되는 경우입니다. 먼저 송곳니가 바깥쪽으로 돌출되어 있고, 앞니 또한 돌출되어있습니다. 한쪽 송곳니가 배열에서 벗어나있기 때문에 그쪽으로 치아들이 몰려서 치아 중심선도 어긋나있...
게시일
2015년 11월 16일
원문 기준으로 확인된 발행일입니다.
카테고리
덧니교정
원문 블로그 카테고리를 정리해 함께 표시합니다.
이미지 수
11
현재 아카이브에 연결된 이미지 수입니다.
아카이브 요약
세라믹치과의원의 네이버 블로그 원문을 보존한 아카이브 페이지입니다. 덧니교정 카테고리의 발치 교정으로 덧니 치열 올바로 잡기 글을 통해 병원의 한국어 정보 제공 방식과 진료 관련 안내 톤을 확인할 수 있습니다.
원문 검증
필요하면 원문 블로그와 병원 프로필로 바로 이동해 문맥을 다시 확인할 수 있습니다.
출처 아카이브 열기
세라믹치과 건치모델 이지연 인사드립니다.
오늘은 덧니교정을 설명 해드리겠습니다.
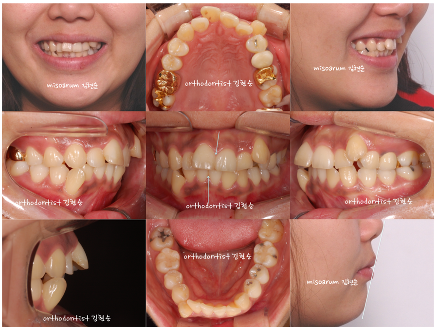
위 사진의 경우 여러 치열 상태가 문제가 되는 경우입니다.
먼저 송곳니가 바깥쪽으로 돌출되어 있고,
앞니 또한 돌출되어있습니다.
한쪽 송곳니가 배열에서 벗어나있기 때문에
그쪽으로 치아들이 몰려서
치아 중심선도 어긋나있습니다.
정밀 진단 결과 돌출과 치아 배열의 문제를 함께 개선하는 계획으로
발치 진행과 함께 치아교정을 진행했습니다.
치아 상태와 함께 중심선을 분석하여
아래 그림처럼 발치진행에 들어갔습니다.
(x 표시는 발치가 필요한 치아입니다 .)
3M의 클라리티 세라믹 브라켓을 부착,
20 개월 교정 진행했습니다.


교정 전과 후의 비교사진입니다.
치아 중심선이 교정 전보다 오히려 반대쪽으로
이동한 것을 확인할 수 있습니다.
교정 후에는 원래의 치열로 돌아오는
경우가 발생하기 때문에
시간이 지나가면서
좀 더 바람직한 방향으로 이동되기를
기대해보는 바입니다.



덧니교정이 아주 잘 되었습니다.
이제부터 제2의 교정이의 시작이라고 할수 있는 유지 장치가 필요합니다.
http://www.ceramicdental.co.kr/landing/l_150820_2.php
▲ 링크를 누르시면 미소치과 온라인 상담페이지로 넘어갑니다 ▲