아카이브 요약
이 페이지의 역할
세라믹치과의원의 네이버 블로그 원문을 보존한 아카이브 페이지입니다. 세라믹교정 카테고리의 세라믹교정 은 "세라믹 치과 " 글을 통해 병원의 한국어 정보 제공 방식과 진료 관련 안내 톤을 확인할 수 있습니다.
원문 검증
필요하면 원문 블로그와 병원 프로필로 바로 이동해 문맥을 다시 확인할 수 있습니다.
출처 아카이브 열기아카이브된 블로그 글
세라믹치과의원 · Naver Blog
세라믹교정 은 "세라믹 치과 " : 네이버 블로그 NAVER 블로그 세라믹교정은 학동역 세라믹치과 블로그 검색 이 블로그에서 검색 공감 0 칭찬 0 감사 0 웃김 0 놀람 0 슬픔 0 span.u_likeit_button) 공감 face 3개 (전체)) --> 공감 0 공감 0 칭찬 0 감사 0 웃김 0 놀람 0 슬픔 0...
게시일
2015년 12월 7일
원문 기준으로 확인된 발행일입니다.
카테고리
세라믹교정
원문 블로그 카테고리를 정리해 함께 표시합니다.
이미지 수
8
현재 아카이브에 연결된 이미지 수입니다.
아카이브 요약
세라믹치과의원의 네이버 블로그 원문을 보존한 아카이브 페이지입니다. 세라믹교정 카테고리의 세라믹교정 은 "세라믹 치과 " 글을 통해 병원의 한국어 정보 제공 방식과 진료 관련 안내 톤을 확인할 수 있습니다.
원문 검증
필요하면 원문 블로그와 병원 프로필로 바로 이동해 문맥을 다시 확인할 수 있습니다.
출처 아카이브 열기세라믹교정 은 "세라믹 치과 " : 네이버 블로그
NAVER 블로그
세라믹교정은 학동역 세라믹치과
블로그 검색
이 블로그에서 검색
공감 0
칭찬 0
감사 0
웃김 0
놀람 0
슬픔 0
span.u_likeit_button) 공감 face 3개 (전체)) -->
공감 0
공감 0
칭찬 0
감사 0
웃김 0
놀람 0
슬픔 0
첫 댓글을 남겨보세요
공유하기
블로그 주소 변경 불가 안내
블로그 마켓 판매자의 이력 관리를 위해
블로그 주소 변경이 불가합니다.
자세히 보기 레이어 닫기
블로그 아이디가 필요해요!
블로그에서 진짜 나를 기록하고
다양한 이웃과 소식을 만나보세요. 지금 시작해볼까요?
블로그 아이디 만들기 블로그 아이디 만들기 레이어 닫기
blog.naver.com/
입력 내용 삭제
설정한 아이디는 나중에 변경할 수 없으니 신중하게 입력해주세요.
변경 전 공유된 블로그/글/클립 링크는 연결이 끊길 수 있습니다.
네이버 아이디 또는 개인정보가 포함된 문자 사용은 피해주세요.
블로그 도움말에서 아이디 변경 유의사항을 확인해보세요.
나중에 할게요
3개월간 새로운 주소로 연결을 지원하며
이후 언제든 연결이 끊길 수 있습니다.
다시 변경이 불가능합니다.
변경하시겠습니까?
취소 확인
블로그 아이디는 한번 정하면
다시 변경이 불가능합니다.
이 아이디로 블로그를 만들까요?
취소 확인
환영합니다!
블로그 아이디가 만들어졌어요.
blog.naver.com/
바로 시작하기 추가정보 입력하기
나중에 언제든지 변경할 수 있어요.
프로필 이미지 설정
지우기
사진 업로드
취소 적용
별명
블로그명
블로그 주제 주제 없음
엔터테인먼트·예술
문학·책
영화
미술·디자인
공연·전시
음악
드라마
스타·연예인
만화·애니
방송
생활·노하우·쇼핑
일상·생각
육아·결혼
반려동물
좋은글·이미지
패션·미용
인테리어·DIY
요리·레시피
상품리뷰
원예·재배
취미·여가·여행
게임
스포츠
사진
자동차
취미
국내여행
세계여행
맛집
지식·동향
IT·컴퓨터
사회·정치
건강·의학
비즈니스·경제
어학·외국어
교육·학문
주제없음
주제 선택 보류
나중에 할게요
기본정보 입력 주제 선택 이웃 맺기
뒤로가기 버튼
선택한 주제의 글과 이웃을 추천받을 수 있어요.
나중에 할게요
기본정보 입력 주제 선택 이웃 맺기
뒤로가기 버튼
이웃을 맺으면 이웃새글에서 글을 받아볼 수 있어요.
블로그 시작하기
기본정보 입력 주제 선택 이웃 맺기
뒤로가기 버튼
확인
확인
이웃추가 이웃
메뉴 바로가기 본문 바로가기
내 블로그
이웃블로그
블로그 홈
로그인
검색어 켜기
-->
| 프롤로그 블로그 돌출입발치 돌출입비발치 덧니교정 주걱턱교정 | 안부 |
| 세라믹교정은 학동역 세라믹치과 |
글쓰기
가벼운 글쓰기툴 퀵에디터가 오픈했어요!
| | | |
| 공지글 글 제목 | 작성일 | |
|---|---|---|
| (1) 공지 앞니 중심선 안맞으면, 안면비대칭인가요? [치아교정 필요한 예시] | 2025. 10. 20. |
| | | |
| | | |
| | 세라믹교정 10개의 글 세라믹교정목록열기 | |
| | | |
| | | |

세라믹교정
세라믹교정 은 "세라믹 치과 "
세라믹치과의원
・ 2015. 12. 7. 11:03
URL 복사
이웃추가
본문 기타 기능
공유하기
신고하기
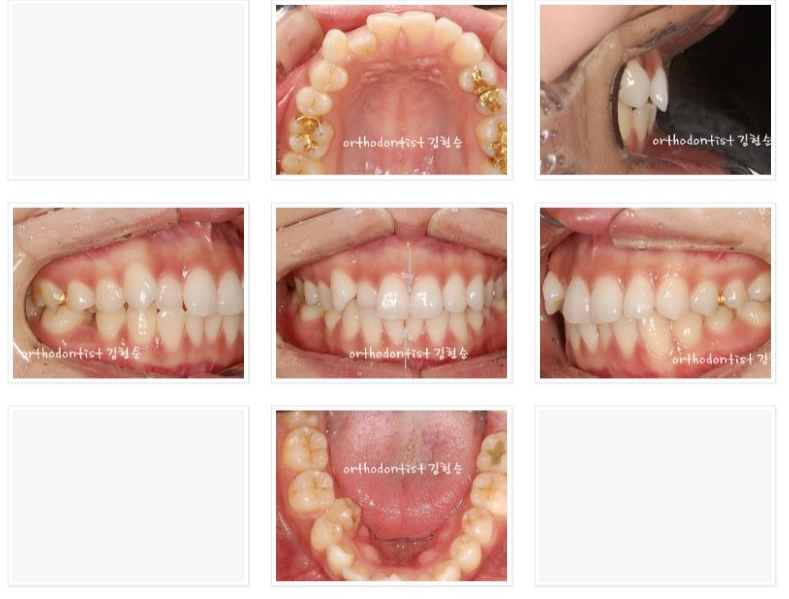
세라믹치과 | 임상증례
비발치/콤비교정/세라믹교정

치아를 가지런히 하기 위해서 교정 실시

치아교정 검진 사진
심한 덧니가 나와있어
교정을 원하신 분입니다.
특이 사항으로
대인 관계가 많은 직종에 근무를
해서 교정 브라켓 이 보이지 않는
투명교정을 원하셨지만,
투명교정보다는
콤비교정이 더 적합한
증례이어서
콤비교정을 하였습니다.

콤비네이션 교정을
줄여서 콤비교정이라고 합니다.
사진으로 보시는 것처럼
윗니는 브라켓이 보이지 않도록
치아 안쪽에 부착을 하고
아랫니는 일반적인 교정처럼
바깥쪽에 부착을 하였습니다.
위아래 모두 치아 안쪽으로 붙이는
설측 교정보다는 비용이 저렴하고
특히 일상생활하는데 불편함이 없습니다.
경우에 따라서
치아 안쪽으로 할 수 없는 경우도
가끔 있습니다.

옆모습을 보면
잇몸이나 치아가 돌출되어 있지 않기 때문에
치아를 빼고 하는 발치 교정을 하지 않았습니다.

치아를 빼지 않고 하는
비발치 교정을 하여서
1년 만에 교정을 완료했습니다.
투명교정으로 하면
이보다 더 많은 시간이 필요합니다.

교정 후 옆모습을 모면
교정 전보다 치아가 들어간 것을
확인할 수 있습니다.
이렇게
치아를 빼지 않고 교정을
해도 옆모습이 개선되는
경우를 많이 접합니다.
전체적으로
어려운 부분은 없었고
환자분이
내원을 잘 해주어서
좋은 결과를
빨리 만들 수 있는 케이스였습니다.
오늘도 좋은 하루 되세요.

그럼 다음 증례로 돌아오겠습니다.