

학동역 세라믹 교정
제 공 자 - 세 라 믹 치 과 의 원
<돌출입 발치교정을 통한 6가지 변화 -> 미니스크류를 이용, 무턱 개선>
오늘은
돌출입 발치 세라믹 교정을 통해
돌출입과 무턱을 개선하는 방법에
대해 알아보겠습니다.
돌출입과
들쑥날쑥인 치아 고민으로
학동역 세라믹 치과를 찾아주신
법학도 여학생의 사례로
살펴보겠습니다.

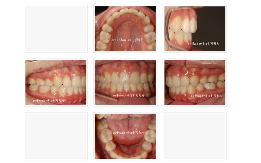
이 여학생은 위아래 사진처럼
윗턱은 돌출, 아래턱은 작은 경우로
- 흔히 돌출입 환자에게서
나타나는 심미선 밖으로
입이 돌출되었습니다.
- 또한 앞서 말씀드린 것처럼
치열(치아의 배열)도 좋지 못한
상황입니다.


정중앙의 사진을 통해
확인가능하듯이
- 치열상의 문제로 인해
가운데 치아 중심선도
어긋나 있는 상황입니다.
하여 이런 문제들을
해결하기 위해
미니스크류를 이용한
돌출입 발치교정을
시행하기로 하였습니다.

위아래 사진의
하늘색 X 표시 보이시나요?
송곳니 바로 뒷편의 치아인
작은 어금니를
윗쪽 2개, 아래쪽 2개
총 4개를 먼저 발치합니다.
그리고 위아래 사진처럼
치아를 발치한 빈 공간으로
치아를 재배열하며
앞니도 뒷쪽으로
밀어넣기 위해
윗쪽 잇몸에
미니 스크류(MIni Screw)를
심고, 미니스크류를 이용해
치아 바깥쪽에서
앞니를 안으로
이동시키는 힘을
가중시켰습니다.

바로 위 사진을 보시죠.
3번째 위아래 우측사진의
미니 스크류의 필요성에 대해
한번 짚고 넘어가면
이 미니스크류가 없으면
어금니가 전방으로 이동되거나
치아를 발치한 빈 공간을 향해
앞니가 안으로 들어오기도
하기 때문에
미니스크류는
중요한 역할을 합니다.
또한 앞서
미니 스크류가 앞니를
안으로 이동시키는 힘을
증대시킨다고 말씀드렸습니다.
앞니와 어금니가
마치 줄다리기를 하듯이
서로 밀고 당기기를 해서
앞니가 60% 정도,
어금니가 40% 정도
이동을 합니다.
이때 미니스크류를 이용한다면
앞니를 100%,
어금니를 0% 정도로도
이동 가능하다는 것이
미니 스크류의 이용의
이론적인 설명입니다.
잇몸에 설치한
미니스크류는 제거하면
며칠내로 곧 아물게 되니
특별히 염려하실
부분 또한 아닙니다.
자 그럼 가장 궁금해 하시는
미니스크류를 이용해서
돌출입 발치 교정을 진행한 후,
세라믹 교정 전후를
비교해 보겠습니다.
사진상으로도
얼굴모습의 변화가 매우
뚜렷한 경우입니다.
다행히 교정전
치아의 각도가
나쁘지 않은 경우여서
앞니를 넣으면서
치아의 각도는 유지할 수 있도록
신경썼습니다.
교정 전 후 외모적인 변화가
크게 눈에 띄는 포인트를
짚어드려볼까요?
교정 전에는
아랫턱의 모양이
불명확하고,
마치 호두의 주름처럼
턱 끝에 힘이 들어가는
모습을 보였었습니다.
하지만 돌출입 교정 후
- 돌출입이 들어가면서
턱 끝의 모양이
부드럽게 변하고
S자의 모양으로
턱의 라인이
개선되었습니다.
이런 경우,
세라믹 교정을 통해
얼굴 모습이
개선되는 좋은 효과를
보게 됩니다.
그럼 또 다른 변화를
살펴보겠습니다.
- 교정전에는 심미선 밖으로
뚜렷히 돌출되어 있던 입이
심미선 위로 놓였습니다.
- 무턱 증상을 보이던
턱선이 살아났습니다.
- 또한 돌출입 개선으로
입이 들어가면서
외려 코가 높아보이는,
긍정적인 부수적 효과인
자연스러운 성형 느낌도
얻게 되었습니다.
- 기능적인 관점에서
위아래 사진을 보시면돌출입 교정 전
문제가 되었던 치열 문제가
완전히 해결되었습니다.
6. 치열 문제가 해결되니
어긋나있던 치아 중심선도
바로 잡혔습니다.^^
미니스크류를 이용한
돌출입 발치 세라믹 교정을 통해
6 가지의 긍정적 변화를
얻을 수 있었기에
세라믹 치과에서
보람을 느낄 수 있었던
좋은 증례였습니다.
이제 2015년 월요일도
오직 4번 남았다고 하네요.
몸도 마음도
시무룩해지는 월요일...
하지만 이 월요일도
이제 겨우 4번이네요.
4번의 월요일
뜻깊고 행복한 월요일
누리시길 바랍니다.^^
학동역 세라믹 교정
세라믹 치과는
16년의 수많은 교정 전문
경험을 바탕으로
많은 돌출입 무턱 환자분들의
고민을 해결해왔습니다.

돌출입으로 고민이신 분들을
위한 간편한 상담과 정보의 문은
항상 활짝 열려있습니다.
아래 클릭하시면 됩니다.
↓

학동역 세라믹 교정
제 공 자 - 세 라 믹 치 과 의 원
▼ 하단 링크를 누르시면 ▼
학동역 세라믹 치과
온라인 상담페이지로
▼ 이동합니다. ▼