세라믹교정 은 세라믹치과 수술없이 돌출개선 : 네이버 블로그
NAVER 블로그
세라믹교정은 학동역 세라믹치과
블로그 검색
이 블로그에서 검색
공감 0
칭찬 0
감사 0
웃김 0
놀람 0
슬픔 0
span.u_likeit_button) 공감 face 3개 (전체)) -->
공감 0
공감 0
칭찬 0
감사 0
웃김 0
놀람 0
슬픔 0
첫 댓글을 남겨보세요
공유하기
블로그 주소 변경 불가 안내
블로그 마켓 판매자의 이력 관리를 위해
블로그 주소 변경이 불가합니다.
자세히 보기 레이어 닫기
블로그 아이디가 필요해요!
블로그에서 진짜 나를 기록하고
다양한 이웃과 소식을 만나보세요. 지금 시작해볼까요?
블로그 아이디 만들기 블로그 아이디 만들기 레이어 닫기
blog.naver.com/
입력 내용 삭제
설정한 아이디는 나중에 변경할 수 없으니 신중하게 입력해주세요.
변경 전 공유된 블로그/글/클립 링크는 연결이 끊길 수 있습니다.
네이버 아이디 또는 개인정보가 포함된 문자 사용은 피해주세요.
블로그 도움말에서 아이디 변경 유의사항을 확인해보세요.
나중에 할게요
- 이전 주소로 공유된 글은
3개월간 새로운 주소로 연결을 지원하며
이후 언제든 연결이 끊길 수 있습니다.
- 블로그 아이디는 한번 변경하면
다시 변경이 불가능합니다.
변경하시겠습니까?
취소 확인
블로그 아이디는 한번 정하면
다시 변경이 불가능합니다.
이 아이디로 블로그를 만들까요?
취소 확인
환영합니다!
블로그 아이디가 만들어졌어요.
blog.naver.com/
바로 시작하기 추가정보 입력하기
기본정보를 입력해주세요.
나중에 언제든지 변경할 수 있어요.
프로필 이미지 설정
지우기
사진 업로드
취소 적용
별명
블로그명
블로그 주제 주제 없음
엔터테인먼트·예술
문학·책
영화
미술·디자인
공연·전시
음악
드라마
스타·연예인
만화·애니
방송
생활·노하우·쇼핑
일상·생각
육아·결혼
반려동물
좋은글·이미지
패션·미용
인테리어·DIY
요리·레시피
상품리뷰
원예·재배
취미·여가·여행
게임
스포츠
사진
자동차
취미
국내여행
세계여행
맛집
지식·동향
IT·컴퓨터
사회·정치
건강·의학
비즈니스·경제
어학·외국어
교육·학문
주제없음
주제 선택 보류
나중에 할게요
기본정보 입력 주제 선택 이웃 맺기
뒤로가기 버튼
주제를 선택해 주세요.
선택한 주제의 글과 이웃을 추천받을 수 있어요.
나중에 할게요
기본정보 입력 주제 선택 이웃 맺기
뒤로가기 버튼
인기블로거와 이웃을 맺으세요.
이웃을 맺으면 이웃새글에서 글을 받아볼 수 있어요.
블로그 시작하기
기본정보 입력 주제 선택 이웃 맺기
뒤로가기 버튼
확인
확인
이웃추가 이웃
메뉴 바로가기 본문 바로가기
내 블로그
이웃블로그
-
블로그 홈
로그인
검색어 켜기
-->
| 프롤로그 블로그 돌출입발치 돌출입비발치 덧니교정 주걱턱교정 | 안부 |
| 세라믹교정은 학동역 세라믹치과 |
블로그
글쓰기
가벼운 글쓰기툴 퀵에디터가 오픈했어요!
| | | |
| 공지글 글 제목 | 작성일 | |
|---|---|---|
| (1) 공지 앞니 중심선 안맞으면, 안면비대칭인가요? [치아교정 필요한 예시] | 2025. 10. 20. |
| | | |
| | | |
| | 세라믹교정 10개의 글 세라믹교정목록열기 | |
| | | |
| | | |

세라믹교정
세라믹교정 은 세라믹치과 수술없이 돌출개선
세라믹치과의원
・ 2015. 12. 7. 13:38
URL 복사
이웃추가
본문 기타 기능
공유하기
신고하기
세라믹치과 | 교정증례
C E R A M I C . D E N T A L
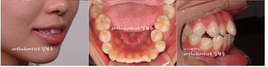
수술을 통하지 않고 돌출입 개선이 잘된 케이스

일반적인 한국형 돌출입 형태를
가지신 분입니다.
치아가 나올 공간이 부족하기 때문에
치아 사이사이 로 덧니가 나오게
된 경우 입니다.
앞니도 나올 충분한 공간이 없기
때문에 앞으로 쏠리게 되어
돌출입이 되었습니다.
이런 돌출입인 경우는
가만히 있어도
퉁명 스럽게 나온 입술 때문에
모르는 사람들이 보면
오늘 무엇인가 때문에
삐진 사람처럼 보기기 일수입니다.
특히 이분처럼
20대 초반인 분들에게는
외모가 권력이가 때문에
성형까지도
서슴없이 하시곤 합니다.
물론 성형이 나쁜다는
이야기는 아닙니다.
그러나
교정으로도
충분한 개선이 되기
때문에 성형전
꼭 한번 교정치과에서
진단을 받아 볼것을 권장해 드립니다.

옆모습을 보겠습니다.
옆모습은 앞모습 보다
확연하게 치악 돌출이 되어 있는 것을
볼수 가 있습니다.
이런 경우는
국수 같는 것을 앞니로
잘라먹는 것도
쉽지 않을 정도 있습니다.

엑스레이 방사선
사진을 보면
치아 뿐 아니라
잇몸까지 나와 있는 것을 볼수 있습니다.
이정도면 수술까지 하신다고
해도 별 말이 없을 정도 있습니다.

돌출되어 있는 앞니를
뒤로 당기기 위해
치아를 발치 하였습니다.
이런 경우에는
충분한 공간을 만들기 위해
작은 어금니를 발치를 합니다.

발치된 공간으로
돌출되어 있는 앞니들이
뒤로 잘 이동한 모습입니다.
이렇게 잘된 교정을 보면
참 많은 보람을 느끼게 됩니다.

가지런 하지 않았던
앞니치아와 덧니들도
가지런하게 잘 정돈된
것을 볼수 있습니다.

덧니가 심해서
어금니와 어금니가 맞지 않아
씹을 수 없는 교합이었는데
정상 교합으로 잘 교정이 되었습니다.
교정이라고 하면 당연히
교합도 잘 맞아야 합니다.
보이는 부분 보다
않보이는 부분이 더욱 중요 합니다.
그래서 교정은 많은 케이스와
오랜경험이 필요 한 쉽지 않은
치과 지료 입니다.

교정의 끝난 후
앞 얼굴 모습입니다.
아름다운 미소로
잘 교정 마무리가 되었군요.
가지런한 미소가 주는
매력은
남자에게 큰
여운으로 다가 옵니다.

교정의 끝난 후 옆모습을 보면
입술 라인까지
아름답게 되어서
매우 만족 스럽습니다.
교정이 잘 되기 위해서는
선행적으로 진단을 잘 해야 합니다.
오랜 경험을 통한 예측 가능한
진단을 통해
조금씩 조금씩
가지런한 미소를 만드는 것이
교정진료의 핵심입니다.
그래서
술자는 물론
환자분들의
적극적인 협조와
관심이 필요 합니다.
사사로운 변화도
잘 이약기 해주시면
진료에 많은 도움이 됩니다.
술자 손에만 의지 하지 마시고
본인이 원하는 미소와
교정후 모습을 이야기 해주시면
교정결과에 많은
영향을 가져다 줍니다.
오늘은
잇몸뼈와 치아까지 돌출된
경우를 수술을 통하지 않고
교정으로만 마무리한 케이스 였습니다.
좋은 하루 되세요 ~~
감사합니ㅏㄷ.
