

__________________________________________________
<미니스크류를 이용한 돌출입 발치 교정 잇몸노출 개선>
이번에는
돌출입과 잇몸 노출 고민으로
학동역 세라믹 치과를 찾으신
여성분의 증례를 소개합니다.
미용적인 부분에 대한
고민이 크셨던 만큼
그 부분에 염두하고
교정을 진행한 경우입니다.


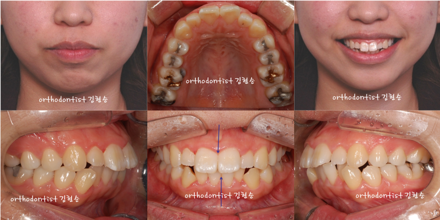
Ⅰ.돌출입 교정 전 환자분의 고민 사항
돌출입 고민이 크셨던
여성분의 구강 사진입니다.
- 윗 앞니가 돌출되어
윗 입술을 밀어냅니다.
이로인해 윗입술도 돌출되어
보이는 경우입니다.
- 또한 치열(치아 배열)이
좋지못해 치아 중심선도
어긋나 있습니다.
- 그리고 웃으실때
잇몸이 과다 노출되어
이로 인한 고민도 함께
가지고 계셨습니다.

- 돌출입 환자들에게
흔히 볼 수 있는 결과로
심미선 위로 입이
돌출되어 있습니다.
Ⅱ. 세라믹 치과 교정 치료 과정
학동역 세라믹 치과는
발치를 병행하는
미니 스크류 사용한 세라믹 교정을
시행했습니다.


- 하늘색 X 표시를 한
윗 치아 2개, 아랫 치아 2개
총4개의 치아를 발치하고
치아를 발치한 빈 공간으로
치아 배열하였습니다.
그 후 앞니를 안으로
이동하였습니다.

- 교정 중
돌출입 문제의
최대 개선 효과를 위해
아래 사진처럼 잇몸에
미니스크류를 심고
앞니를 끌어 당겼습니다.

미니스크류를 이용하면
어금니는 전방으로 나오지 않고
발치한 빈공간으로 앞니를
최대한 이동 시킬 수 있는
장점이 있습니다.
또한 미니스크류가
치아보다 윗쪽에
자리잡기 때문에
앞니가 안으로 들어가면서
위로 올라가는 힘을
함께 받는 장점도 있습니다.
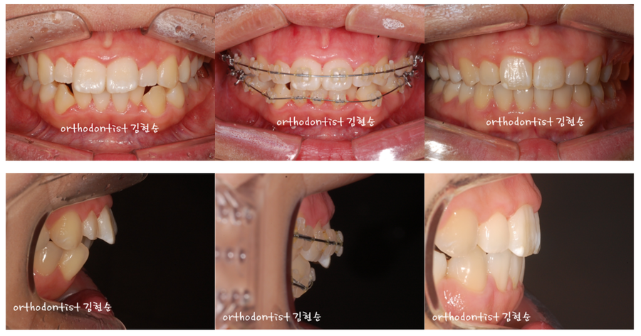
Ⅲ. 돌출입 세라믹 교정 후 개선사항들
치료계획 20개월을
예정했던 환자로
치료 후 사진들을 보시겠습니다.

- 좌측의 교정 전 사진을 보시면
돌출입으로 인해
턱 끝에 주름이 잡혔습니다.
하지만 교정 후
돌출입을 문제를 해결함으로 인해
턱 끝의 주름 또한 자연히
사라지는 효과를 보았습니다.

- 들쑥날쑥하던 치열도
가지런해지고
이로 인해 어긋나있던
치아 중심선도
개선었습니다.
- 무엇보다 웃을때
잇몸 노출로 스트레스를
많이 받으셨었는데
미니스크류를 이용한
돌출입 교정 후
잇몸 노출 또한 개선되었습니다.
- 심미선 위로 돌출되었던
돌출입이 들어가면서
자연히 심미선에 맞게
입이 위치하게 되었고
돌출입이 들어가면서
코가 상대적으로 높아보이는
성형효과도 함께
보게되었습니다.
오늘의
앞선 포스팅과 함께
돌출입 발치 교정에 대해
계속 이야기하고 있습니다.
학동역 세라믹 교정
세라믹 치과는
16년 간의 수많은 교정 전문 치료 중
돌출입 환자분들께서
가장 많은 진료를
받고 가셨습니다.


http://www.ceramicdental.co.kr/event/facebook_170331/?type=kang_blog

돌출입 잇몸노출로
고민하시는 많은 분들을 위한
편안한 상담과 정보의 문을
활짝 열어두고 있습니다.
도움이 필요하신 분들
언제든
아래 링크를
클릭하시면 됩니다.
↓
