< 발치 돌출입교정으로 인상개선, 동안 만들기 >
오늘 기획 연재 중인
발치 돌출입 교정의
마지막 주자입니다.
몇 해 전부터 일고있는
동안열풍
학동역 세라믹 치과에서도
이에 부응하는
많은 분들께서 관심가지실만한
돌출입 발치교정으로
동안 만들기에 대한
포스팅을 시작해보겠습니다.
교정 기간이 2년 되었음에도 불구,
돌출입 개선을 통한
얼굴 인상의 호전 후
외려 더 동안이 되신
여성분의 돌출입 교정 증례에
대해 알아봅니다.
이번 포스팅은
얼굴의 전체적인 느낌을
살펴야하는 관계로
이전 포스팅들처럼
얼굴 사진에서
하악부분만 사용한 것이 아닌,
눈에 모자이크를 처리하고
전체 사진도 함께
살피도록 하겠습니다.

Ⅰ. 환자분의 고민사항



- 치열은 가지런하지만
하지만 정가운데 교합은
바람직하지 못합니다.
- 심미선 밖으로
입술이 돌출된
돌출입이다.
- 돌출입으로 인해
다소 화난 듯하고
뾰루퉁해보이는
아쉬운 인상입니다.
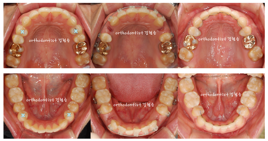
Ⅱ. 세라믹 치과 교정 치료 과정
- 아래 좌측 사진들의
하늘색 X 작은 어금니들,
(위 2개 치아, 아래 2개 치아)
총 4개의 치아를
먼저 발치합니다.

좌측이 세라믹 교정 전,
가운데가 발치 후 교정 시작,
우측이 교정 마무리
단계의 사진들입니다.

- 앞니의 각도를 유지하기 위해
가운데 사진들의
발치한 빈 공간으로
치아를 천천히 이동시킵니다.

- 앞니는 3M 사의
클라리티 세라믹 브라켓과
어금니는 데이몬 브라켓을
사용하였습니다.
Ⅲ. 돌출입 발치 세라믹 교정 후 개선 사항들

위 사진에서 확인가능하듯
- 심미선 밖으로 돌출되었던
입이 심미선에 나란히 정렬된
돌출입 개선 효과를 보입니다.
- 입이 들어가자
상대적으로 코가 높아보입니다.
- 턱선의 윤각이
바람직하게 살아났습니다.

- 위의 정면 사진에서
확인 가능하듯이
튀어나왔던 입술이 들어가면서
입술의 두께가 얇아지는
효과를 보입니다.
위 아래 사진의
첫번째, 세번째 열은
돌출입 발치교정 전.
두번째, 네번째 열은
돌출입 발치 교정 후.
- 교정기간이 25개월,
2 년 1개월로 다소 길었음에도
불구하고 외모가
교정 전인 2년 전보다
몇년 어려진 느낌입니다.
이는 돌출된 입이 들어가면서
통해 다소 화나보이고
뽀루퉁해 보이던
인상이 순해지고
입이 들어가면서
반사 효과로
이마와 코가 살아나면서
훨씬 동안으로
얼굴전체의 인상이
개선되었기 때문입니다.
앞선 돌출입 교정에서도
돌출입 교정으로 인한
인상개선과 성형효과에
대한 언급은 드렸습니다.
하지만 이번 증례의
얼굴 전체 사진 변화를
살펴보면
인상개선과 성형효과로 인해
동안 만들기도
가능하다는 것을 확인할 수 있는
시간이었습니다.
학동역 세라믹 교정
세라믹 치과 교정
김현순 대표 원장은
16년간 수많은 교정 진료를
손수 직접 집도하면서,
돌출입 환자분들께
돌출입 개선은 물론
이로인한
인상개선과 성형효과를
직접 확인시켜드려
왔습니다.

거울을 볼때마다
돌출입 때문에
고민하시는 분들은
언제든 편안한 상담과
많은 정보의 문이
활짝 열려있으니
주저마시고
아래 링크를 클릭
하셔서
여러분들의 고민을
직접 들려주시길
바랍니다.^^
↓
http://www.ceramicdental.co.kr/