


< 개방교합 비발치 세라믹교정 >
안녕하세요.
오늘은 개방교합에 대한
연재포스팅을 준비했습니다.
개방교합?
말이 어려운가요?
쉽게 설명드리면
개방교합이란
입을 다물어도
위아래 치아가 서로 닿지않고
틈이 보이는 형태의
교합을 말합니다.
오늘은
개방교합의 치료에 대해
학동역 세라믹치과 환자분의
교정 증례를 통해
살펴보겠습니다.
Ⅰ. 환자분의 고민사항
-
치열이 들쑥날쑥하다.
-
입이 완전히
다물어지지않는다.
(개방교합)
- 이로인해
미소 지을 때
윗니와 아랫니 사이로
틈이 훤히 보인다.
- 남들과 달리
앞니 두개가
없는 것 같다.
- 윗 앞니과 아랫 앞니가
완전히 맞물리지 않아
앞니로 음식을 잘라
먹기가 힘들다.
6. 정확한 발음구사가
어렵다.(발음이 샌다)
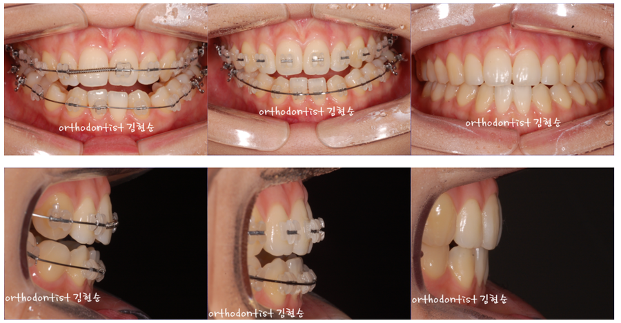
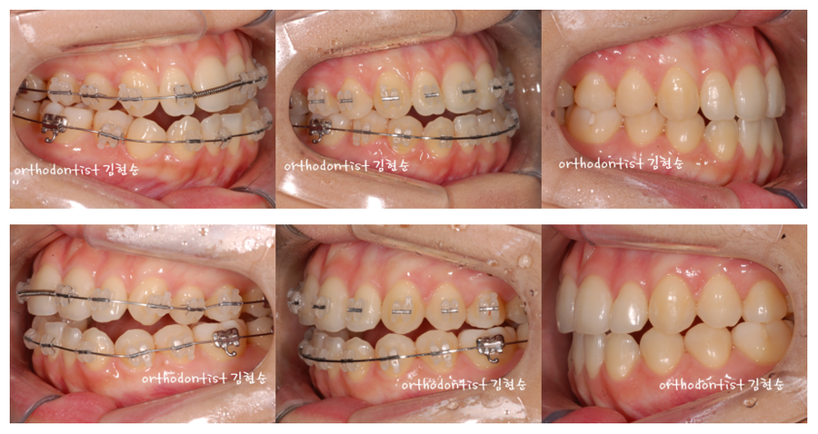
Ⅱ. 세라믹 치과 교정 치료 과정

위의 사진을 보시고
" 어? 뭔가 허전해."
하시는 눈썰미 좋으신
분들도 계실겁니다.
사진 보시면
아래 앞니 바로 옆에
송곳니가 위치한 것을
확인하실 수 있습니다.
이 여성분의 경우
앞니 두 개가 없는 상태입니다.
즉,
선천적인 치아 결손상태로
위와 아래의
치아 갯수가 다른
부정교합입니다.

위아래 사진처럼
입을 다물어도 위아래 치아가
완전히 닿지않는
개방교합입니다.


바로 위 사진의
하단 좌측 옆모습 사진을
보시면 심미선 안쪽으로
입이 들어가 있습니다.
즉, 입이 더 들어가면
안좋은 상황입니다.
보통의 개방교합 교정은
발치 후 앞니를
안으로 밀어넣으면서
앞니의 뜬 상태를
치료합니다.
하지만 이 여성분의 경우
앞서 말씀드린 것처럼
입이 더 들어가는 것은
바람직하지 않은
상황입니다.
그래서
학동역 세라믹치과에서는
환자분의 상황을
최대한 고려해서
개방교합을 해결하면서
아래 치아 두 개가
결손인 상태로
위와 아래의
교합을 맞춰야하는
고난이도의
세라믹 교정을
시행하였습니다.

앞서 설명드린 것처럼
정상적으로 4개가 있어야하는
아래 앞니가
2개 밖에 없는 상황입니다.
그래서
- 아래 치아 중
3번 치아(아래 송곳니)를
2번 치아(앞니)의 대용으로
사용하기로 하였습니다.
그리고 이에 따라
- 아래 치아중
4번 치아(작은 어금니)를
3번 치아(송곳니)의
대용으로 사용하기로
하였습니다.
3. 총 12개월에 걸쳐
세라믹 교정을
진행 마무리 하였습니다.
Ⅲ. 개방교합 비발치 세라믹 교정 후 개선 사항들
- 위 사진들처럼
위아래 치아가
완전히 닿지 않았던
개방교합 문제가
개선되어
위아래 치아가
잘닿습니다.
- 들쑥날쑥이던 치열도
자연스럽게
가지런해졌습니다.
- 윗 앞니와 아랫 앞니가
잘맞물려 닿게 되어
음식을 잘라 먹을시
불편함이 없어졌습니다.
- 좌측 사진처럼
심미선 안쪽으로
많이 들어가있던 입이
심미선 쪽으로
다가왔습니다.
- 개방교합의
문제가 해결되면서
미소 지을때
모두 훤히 보이던
윗 치아와 아랫 치아 사이에
보이던 치아 틈이
없어졌습니다.
개방교합의 경우,
심미적인 관점은 물론
기능적인 관점에서도
반드시 진료가 필요합니다.
12개월이라는 짧은 기간의
교정진료를 통해
환자분께 의미있는도움을
드릴 수 있게 되어
보람된 진료였습니다.
학동역 세라믹 치과
대표원장인 김현순 원장은
16 년간 오직 교정 진료만을
전문으로 모든 진료를
직접 집도해왔습니다.
수 많은 교정 진료 속에서
개방교합으로 내원하신
환자분들께
만족 드릴 수 있는 교정진료를
시행해왔습니다.

개방교합으로
고민 중이신 분들께
언제든 편안한 상담과
유용한 정보를
전해 드릴 수 있는
온라인 상담도 가능하오니
도움이 필요하신 분들
편안히 방문주시면 됩니다.
아래 링크 클릭
↓
____________________________________________________
