과개교합 ABP 교정 : 네이버 블로그
NAVER 블로그
세라믹교정은 학동역 세라믹치과
블로그 검색
이 블로그에서 검색
공감 0
칭찬 0
감사 0
웃김 0
놀람 0
슬픔 0
span.u_likeit_button) 공감 face 3개 (전체)) -->
공감 0
공감 0
칭찬 0
감사 0
웃김 0
놀람 0
슬픔 0
댓글
6
공유하기
블로그 주소 변경 불가 안내
블로그 마켓 판매자의 이력 관리를 위해
블로그 주소 변경이 불가합니다.
자세히 보기 레이어 닫기
블로그 아이디가 필요해요!
블로그에서 진짜 나를 기록하고
다양한 이웃과 소식을 만나보세요. 지금 시작해볼까요?
블로그 아이디 만들기 블로그 아이디 만들기 레이어 닫기
blog.naver.com/
입력 내용 삭제
설정한 아이디는 나중에 변경할 수 없으니 신중하게 입력해주세요.
변경 전 공유된 블로그/글/클립 링크는 연결이 끊길 수 있습니다.
네이버 아이디 또는 개인정보가 포함된 문자 사용은 피해주세요.
블로그 도움말에서 아이디 변경 유의사항을 확인해보세요.
나중에 할게요
- 이전 주소로 공유된 글은
3개월간 새로운 주소로 연결을 지원하며
이후 언제든 연결이 끊길 수 있습니다.
- 블로그 아이디는 한번 변경하면
다시 변경이 불가능합니다.
변경하시겠습니까?
취소 확인
블로그 아이디는 한번 정하면
다시 변경이 불가능합니다.
이 아이디로 블로그를 만들까요?
취소 확인
환영합니다!
블로그 아이디가 만들어졌어요.
blog.naver.com/
바로 시작하기 추가정보 입력하기
기본정보를 입력해주세요.
나중에 언제든지 변경할 수 있어요.
프로필 이미지 설정
지우기
사진 업로드
취소 적용
별명
블로그명
블로그 주제 주제 없음
엔터테인먼트·예술
문학·책
영화
미술·디자인
공연·전시
음악
드라마
스타·연예인
만화·애니
방송
생활·노하우·쇼핑
일상·생각
육아·결혼
반려동물
좋은글·이미지
패션·미용
인테리어·DIY
요리·레시피
상품리뷰
원예·재배
취미·여가·여행
게임
스포츠
사진
자동차
취미
국내여행
세계여행
맛집
지식·동향
IT·컴퓨터
사회·정치
건강·의학
비즈니스·경제
어학·외국어
교육·학문
주제없음
주제 선택 보류
나중에 할게요
기본정보 입력 주제 선택 이웃 맺기
뒤로가기 버튼
주제를 선택해 주세요.
선택한 주제의 글과 이웃을 추천받을 수 있어요.
나중에 할게요
기본정보 입력 주제 선택 이웃 맺기
뒤로가기 버튼
인기블로거와 이웃을 맺으세요.
이웃을 맺으면 이웃새글에서 글을 받아볼 수 있어요.
블로그 시작하기
기본정보 입력 주제 선택 이웃 맺기
뒤로가기 버튼
확인
확인
이웃추가 이웃
메뉴 바로가기 본문 바로가기
내 블로그
이웃블로그
-
블로그 홈
로그인
검색어 켜기
-->
| 프롤로그 블로그 돌출입발치 돌출입비발치 덧니교정 주걱턱교정 | 안부 |
| 세라믹교정은 학동역 세라믹치과 |
블로그
글쓰기
가벼운 글쓰기툴 퀵에디터가 오픈했어요!
| | | |
| 공지글 글 제목 | 작성일 | |
|---|---|---|
| (1) 공지 앞니 중심선 안맞으면, 안면비대칭인가요? [치아교정 필요한 예시] | 2025. 10. 20. |
| | | |
| | | |
| | 기타 36개의 글 기타목록열기 | |
| | | |
| | | |
기타
과개교합 ABP 교정
세라믹치과의원
・ 2015. 12. 8. 17:14
URL 복사
이웃추가
본문 기타 기능
공유하기
신고하기
세라믹치과 | 교정증례
CERAMIC DENTAL CLINIC

ABP를 이용한 과개교합 개선

오래전 금융업에 종사하시는
여성분이 과개교합으로 내원 했는데
대인 관계가 많으니
투명교정으로 해결 하자고 하셨는데
물론 투명교정으로
할수 없는 케이스는 아니지만,
ABP를 이용한 세라믹교정으로
진행 할것을 권고 드린 적이 있습니다.
요즘은 예전과 달리
의학 정보가 많아서
많은 분들이
이미 진단을 머리속으로
상상을 하신 다음
술자에게 이렇게 해주세요 ~~
하신는 분들이 많습니다.
미용적인 수술인 경우는
개인의 만족도가 최우선으로
생각 할수 있으나
치아교정은 미용 보다는
치료에 더 가까운 부분이 있습니다.
그래서 때로는 교정진단이
정말 어려울때가 있습니다.
결론적으로
이 여성분은 결과가
과정보다 중요하다고
이해 하셔서
ABP를 이용한 세라믹교정을
하셨습니다.
그럼 여기서 ABP를
조금 더 자세히 살펴보겠습니다.
ABP

과개교합
그림으로 보시는 것처럼
과개교합은 앞니가
깊게 물러 아래니를 가리고 있는
상태를 이야기 합니다.

과개교합
구강 안쪽에서
보면 그림처럼 아랫니가
입천정에 깊숙히 닫고 있는데
이런 경우 사용하는
교정특수 정치가
바로 ABP 입니다.

과개교합
그림처럼 아랫니가 깊게
물리지 않도록
입천정 쪽에 부드러운 프라스틱
장치인 ABP를 착용 합니다.

과개교합
이제 쉽게 이해를 하셨지요 ~
ABP는 단순한 원리이지만,
효과는 단순하지 않습니다.
그럼 실제로 임상에 적용한
실예를 보여 드리겠습니다.

과개교합 초진사진
처음 내원 하실때 사진입니다.

과개교합 ABP 착용

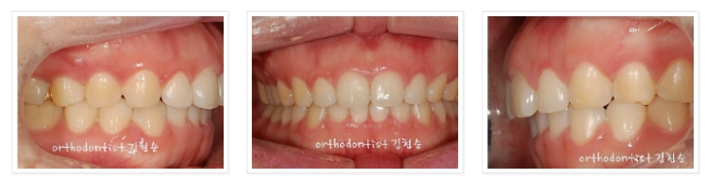
과개교합 교정후 모습

전후 옆모습 사진입니다.
처음 이야기 한것처럼
세라믹 브라켓을 사용 했습니다.
부분 부분 가는 철사로
교정력을 세밀하게
컨트롤 할수 있어
이런 경우에는대부분
세라믹 브라켓을 시용합니다.

과개교합 세라믹 브라켓 교정

과개교합 교정후
과개교합은
어려운 교정이기는 하나
ABP 같은 특수한 교정장치를
사용 한다면
좋은 결과를 만들수 있습니다.
그럼 오늘 하루도
즐거운 하루 되시기를 희망합니다.
감사합니다.
세라믹교정 월15만에



세라믹교정 세라믹치과