

세라믹교정 이벤트 바로가기
http://www.ceramicdental.co.kr/event/02/
< 안면비대칭 교정,치아교정만으로 간단히 해결하기 >
안녕하세요.^^
크리스마스는 다가오는데
어제는 비가 내리더군요.
엘리뇨 때문인지
매년 더해가는 이상기후...
'날씨가 참 삐딱' 합니다.
두서없이 왠 날씨가 삐딱?
하시는 분들
많으실거 같습니다.ㅎ
오늘은
삐딱한 날씨처럼,
삐딱한 얼굴로 고민하시는
분들을 위한 글입니다.
안면비대칭을
치아교정( 세라믹교정)으로
개선하는 교정 증례를
준비했습니다.
Ⅰ. 환자분의 고민사항

-
치아가 삐뚤빼뚤 하다.
-
얼굴이 한쪽으로 비대칭 이다.
( 안면비대칭 )

바로 위의 정면 사진처럼
- 정면에서 봤을때
왼쪽 위 아래 치아 사이의 틈이
보인다.
- 위아래 이가
잘맞물리지 않는다.
5. 음식섭취시
잘 씹어먹기가 불편하다.
- 정확한 발음구사에
어려움이 있다.

어?
한 녀석만 이상하다!
맞습니다.
빨강색 동그라미,
미운오리 새끼가
따로없는 두번째 앞니!
'측절치'라고 하는
두번째 앞니가
혼자 안으로 쏙!
들어가있습니다.
(두번째 앞니는
이렇게 안으로 들어간 경우를
밖으로 튀어나오는 경우보다
많이 볼 수 있습니다.)

이렇게 안으로 들어간
치아의 경우,
화살표처럼
아래 치아와
반대로 물리는 문제가
발생합니다.
정상교합의 경우
윗니가 아랫니를 덮습니다.
응당 정상교합은
기능적으로나
미관상 아무 문제가
업습니다.
허나
아랫니가 윗니를
덮어 버리게 되는 경우...
반대교합이라고 합니다.
이 경우도
반대교합으로 볼 수 있습니다.
이렇게 들어간 치아는
자연히 밖으로 나오기는
어렵습니다.
이런 상태를 방치할 경우
문제는 들어간 치아가
점점 안으로 들어가게 되고
상대적으로 가장 큰 앞니는
더욱 튀어나오게 된다는
것입니다.
하여 세라믹 교정을 결정하셨습니다.
Ⅱ. 세라믹 치과 교정 치료 과정
1

앞서 확인하신 위쪽의
두번째 앞니(측절치)가
들어간 것 외에는
위의 사진처럼
아래치열은
큰 문제는 보이지 않습니다.
하여
- 먼저
3M 사의 글라리티
세라믹 브라켓을 부착,
치아를 뽑지않는
비발치 세라믹 교정을
진행 합니다.

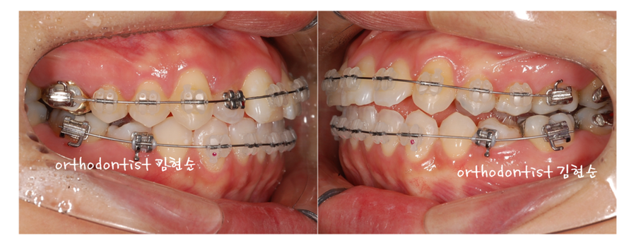
안으로 들어간
두번째 앞니가 문제입니다.
- 두번째 앞니에는
일단 작은 메탈 브라켓을
부착 하였습니다.
- 두번째 앞니가
정상적으로 나오면
세라믹 브라켓을
부착합니다.


앞서 말씀드린 것처럼
비발치로 배열을 하니
치아들이 전체적으로 나와 보입니다.
하여
치아 전체를 안으로
힘껏 끌어당기기 위한
스킬을 추가합니다.
4. 얇은 미니 스크류를
위쪽 치아 뿌리 사이에
설치합니다.

- 위 사진처럼
스프링을 걸어
안으로 끌어당기는 힘을
가중시켜 줍니다.
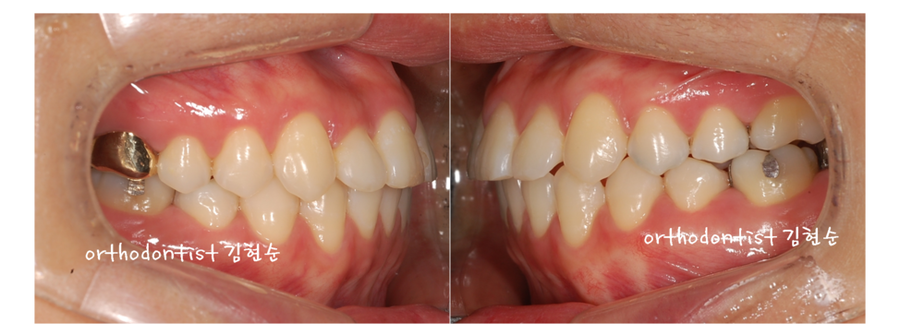
Ⅲ. 개방교합 비발치 세라믹 교정 후 개선 사항들
치아배열 소요기간 6개월,
미니스크류와 스프링을 이용해서
안으로 당긴 소요기간 6개월,
총 12개월의 기간으로
아래 사진들처럼
안면비대칭 개선을 위한
비발치 세라믹 교정이
잘마무리 되었습니다.



그럼 안면비대칭 교정
(비발치 세라믹 교정)의
전후 사진을 통해,
안면비대칭 교정 전후를
차분히 살펴보겠습니다.


위 아래의
좌측 사진들이
안면비대칭 치아교정 전,
우측 사진들이
안면비대칭 치아교정 후
입니다.


- 삐뚤빼뚤했던 치열이
가지런히 바르게
정열 되었습니다.
- 정면 사진에서 보이던
왼쪽의 치아틈이
사라졌습니다.
- 좌측으로 비대칭이던
안면비대칭이 완벽히
개선되었습니다.
4. 반대교합이던
부정교합이 정상교합으로
돌아오면서
위아래 치아들이
잘맞물리게 되었습니다.
그 결과로
- 음식물 섭취시 불편했던
저작기능이 개선되었습니다.
반대교합이던
부정교합의 불편한 발음 문제
또한 정상교합으로 돌아오면서
- 정확한 발음이 가능해졌습니다.
안명비대칭으로 상처 받아온 분들...
남을 삐딱하게 바라보는
사회의 삐딱한 시선들에
얼마나 베이고 쓸리셨는지...
상처만 안겨주던 안면비대칭 때문에
자신의 삶 또한 삐뚤어진 것 같다는
속내를 털어놓으시던...
포스팅을 하는 동안
안면비대칭때문에
심각한 외모 컴플렉스와
소극적으로 변해가는 성격에
참 힘들어 하셨던 분들이
기억을 스쳐갑니다.
안면비대칭이 얼마나
심각한 스트레스를 주는지에
대해 정확히 공감합니다.
하지만
안면비대칭은
의외로 쉽게
개선되기도 합니다.
양악수술 등의 수술 없이도
치아 교정만으로
쉽게 개선 가능한 경우가
많습니다.
그리고
많은 분들께서
안면비대칭 교정으로
삶의 긍정을
되찾고 가셨습니다.

학동역 세라믹 치과
김현순 대표원장은
16년 교정 의사로
수 많은 경험 속에서
안면비대칭으로
내원하신 많은 분들께
만족진료와 책임진료를
약속드리고
실천해 왔습니다.
지금도 거울 앞에서,
세상의 삐딱한 시선들에
상처받고 계신 분들께
언제든 편안한 상담과
유익한 정보를
전해 드릴 수 있는
온라인 상담이 열려있습니다.
도움이 필요하신 분들
언제든 편안한 방문
주시길 바랍니다.
아래 링크 클릭
↓