

__________________________________
< 주걱턱수술 안하고 양악수술 안하고 '치아교정만으로 주걱턱교정'>
A: " 대박! 나 김수현 봤어! ^O^/ "
B: "헐~ 진짜? 어때? ^O^?"
A: "얼굴 진짜 조막만 하더라~"
블라블라...
블라블라블라...
.
.
.
우리 주변에 흔히 들을 수 있는
연예인 목격담...
언제부터인가
롱다리의 시대가 지고
작은 얼굴, 소두, 비율을
연예인과 일반일을
구별하는 지표가 되어버렸습니다.
너도나도
양악수술, 주걱턱수술...
주변에서
"아무개 이번에 양악수술 했다더라.",
"아무개 이번에 주걱턱수술을 한다더라."
불과 십년 전만해도
터부시 되던
양악수술, 주걱턱 수술...
하지만
작은 얼굴, 소두가 각광받는 지금
이제는 일반인에게도
너무도 익숙한 수술이 되었습니다.
하지만
양악수술과 주걱턱수술은
악교정술이라고도 불리는,
'수술' 이라는 단어보다는
'대수술' 이라는 단어가 어울리는,
국소마취가 아닌 전신마취를 요하고
큰 비용이 드는,
위험하고 큰 수술입니다.
그럼에도 불구하고
'주걱턱'으로
고통받고 계시는 분들들께서는
양악수술, 주걱턱수술을
인생지거사, 통과의례로
여기시는 분들이 계십니다.
그럼 우선,
' 주걱턱' 에 대해
알아봅니다.
Ⅰ. About '주걱턱'

놀라셨나요?
너도 나도 작은 얼굴을 꿈꾸기에
너무나 슬픈 단어,
'주걱턱'...
주걱턱은
'반대교합', 혹은 '3급 부정교합'
이라고 불립니다.
쉽게 설명드려
윗니가 아랫니를 덮는 정상교합과
반대로 생각하시면 됩니다.
더 쉽게 설명드리면
아랫니가 윗니보다 더 나와있거나
윗니와 수직으로 맞닿아있는 경우.
또한 윗니보다 아랫니가
돌출되는 경우,
아랫턱(하악)이 함께 돌출되어
보이는 경우가 많습니다.
자연히 얼굴이 더 길어보이고
커보이게 됩니다.
또한 아랫턱(하악)이
두드러지게 강조되어
코와 이마가 상대적으로
낮아보이게 됩니다.
사실 주걱턱은
앞서 말씀드린
심미적인 문제 뿐 아니라
기능적으로도
꼭 개선이 필요합니다.
Ⅱ. 주걱턱, 치아교정 or 양악수술 ?
그럼 주걱턱은
반드시 주걱턱수술이나 양악수술을
병행해야 할까요?
결론은 꼭 그렇지 않습니다.
다만,
양악수술, 주걱턱 수술이
반드시 동반되는 경우'도'
있습니다.
- 턱의 돌출이 심해서
위아래 앞니의 반대로 물리는
간격 차이가 심한 경우.
- 심미적으로
주걱턱의 정도가 심하거나
안면비대칭이 심한 경우
- 아래 앞니가 안쪽으로
많이 누워있는 경우
1, 2, 3 번의 경우도 반드시
양악수술, 주걱턱 수술이
병행되는 것은 아닙니다.
하여 무엇보다
정확한 진단이 중요합니다.
정밀검진과 정확한 진단 없이
치아교정만으로 무리하게
진행할 경우
교정 전보다
더욱 좋지 못한 결과를
유발하기도 합니다.
그래서
치아교정만으로 개선할지
수술을 병행할지를
정확히 진단하는 것이
최급선 과제입니다.
하지만,
앞서 말씀드렸듯이
양악수술, 주걱턱수술은
큰비용이 드는
위험하고도 큰 수술입니다.
치아교정만으로
주걱턱 교정이 가능한 경우에는
부담스러운 수술로
무리하기보다는,
안전하고 간편한
치아교정이 바람직함은
당연지사입니다.
그래서 오늘은!
주걱턱 고민으로
학동 세라믹교정
학동역 세라믹치과를 찾아주신 분의
세라믹교정 증례를 통해
치아교정만으로
주걱턱 교정과 돌출입교정이
어떻게 개선되는지
살펴보겠습니다.
Ⅲ.환자분의 고민사항
- 아랫치아가
윗치아를 덮는
반대교합, 3급 부정교합
주걱턱이다.

- 돌출이
심하지는 않지만
심미선을 살짝 벗어나는,
아래입이 살짝 돌출된
돌출입 이다.

- 또한,
옆 모습이
입체적인 얼굴과는
거리가 먼,
초승달, 접시 모양의
평면적인 얼굴로 보인다.

- 이로 인해
턱이 길어보이고
얼굴이 커보인다.
- 치아의 중심선이
맞지않는다.
왼쪽으로 어긋났다.
- 아랫치아들 사이의
빈틈이 보인다.
- 위 사진처럼
윗치아가 아랫치아를
자연스럽게 덮는게 아닌,
치아끝이 서로 맞닺는
무리한 교합으로
음식 섭취시 종종
턱관절(악관절)이 뻐근하고
가끔 턱관절에 통증도 전해진다.
또한
- 정확한 발음 구사에
불편함을 느낀다.
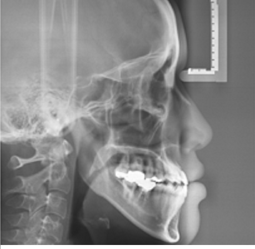
Ⅳ. 수술 병행 여부의 정밀 진단
위 사진들에서 확인할 수 있듯이
이분은 다행히도
1. 턱의 돌출과 안면비대칭이
심한 편은 아닙니다.
또한, 보편적인 주걱턱 분들의 경우
아래 치아가 안쪽으로 과하게 누워있습니다.
하지만 이분의 경우,
- 아래 치아가 많이 눕지 않은 경우
입니다.
- 아래 치아들 사이에
치아가 움직일 여유 공간이 존재.
- 1,2,3 번의 정확한 진단을 통해
학동역 세라믹교정
세라믹치과에서는
양악수술( 주걱턱수술, 악교정술) 없이
치아교정만으로
주걱턱 개선이 가능하다고 진단,
주걱턱 교정(세라믹 교정)을
진행하였습니다.
그럼 학동역 세라믹교정
세라믹치과에서 진행한
주걱턱교정으로
주걱턱이 어떻게
개선되는 살펴보겠습니다.
Ⅴ.주걱턱 세라믹 교정 후 개선 사항들
총 10개월 의 짧은 기간,
세라믹 교정을 진행하였습니다.
백문이 불여일견!
1, 2, 3 번의 순으로
주걱턱교정 진행과정과 개선사항을
사진으로 확인합니다.

사진들상의 1, 2, 3번
주걱턱교정 진행 사진들에서
확인가능하듯

- 아랫치아가 윗치아를 덮었던
반대교합(3급 부정교합)이
정상교합으로 개선 되었습니다.

- 윗치아가 아랫치아를
자연스럽게 덮는
정상교합으로 개선되어
음식 섭취시 종종
느끼던 턱관절이 뻐근하거나
턱관절에서 통증이 전해지던
턱관절 장애의 위험이
현저히 낮아졌습니다.

- 치열 개선으로
1번의 사진들 속에서 보이던
아랫 치아들 사이의 빈틈이
없어졌습니다.
4. 왼쪽으로 어긋나있던
치아중심선이 정중앙 으로
바로 잡혔습니다.

- 주걱턱으로 인해
길어보이던 턱이 작아보이고
돌출되었던 아랫턱이
들어가면서
얼굴이 작아보입니다.
6. 심미선을 살짝 벗어났던
아래입이 살짝 돌출된
돌출입이
심미선 안으로
들어가면서 개선
되었습니다.

7, 초승달, 접시 모양의
평면적이던 옆모습이
아랫턱선과 아랫입술선의 변화로
입체적인 옆모습으로 개선
되었습니다.
- 또한,
이마선과 눈이 확인가능한
사진이 아닌 관계로
확인이 불가능하지만
주걱턱과 돌출입이 개선되면서
상대적으로 코와 이마가
돋보이게 되어
자연스러운 성형효과도도
보입니다.
- 환자분과의 대화에서도
확연히 느낄 수 있듯이
정확한 발음을 편안히 구사
하실 수 있게 되었습니다.
불과 10개월의 짧은
주걱턱 교정을 통해
기능적으로, 심미적으로
주걱턱이 완벽히 개선되어
마치 양악수술, 주걱턱 수술을
받은 듯한 효과를
보게 되었습니다.
짧은 기간 속에서
큰 개선효과들을 확인할 수 있었기에
환자분은 물론, 김현순 원장도
참으로 뿌듯해하던
보람된 진료였습니다. ^^
학동역 세라믹 교정
세라믹 치과 김현순 대표원장은
16년 교정
많은 증례 속에서
주걱턱 고민으로
내원하신 많은 분들께
정밀정확한 진단과
만족 진료, 책임진료를
약속드리고
꾸준히 실천해왔습니다.

지금도 거울 앞에서
주걱턱 컴플렉스로
고민중이신 분들께
주걱턱교정에 대한 편안한 상담과
유용한 정보를 전해드리기 위해
온라인 상담도 운영 중입니다.
도움이 필요하신 분들의
편안한 방문을
기대합니다.
아래 링크 클릭!
↓

