세라믹치과 수술 없이 돌줄입교정
CERAMIC DENTAL CLINIC

전형적인 한국인 돌출 케이스
돌출입은 가만이 있어도
주변 사람들에게 " 너 화나는 있니 ?? " 라는
말을 들을 정도로 오해를 부르는데
이런 이미지를 탈출하려는 미용적인 효과와
더불어 윗니 아랫니가 자연스럽게 물리는
정상교합까지 같이 치료를 해야 합니다.
그래서
성형외과에서 하는 외과적 수술보다는
치과에서 먼저 정확한 교정진단 후
하시면 더 좋은 결과를
가질 수 있습니다.

모든 돌출입케이스를 치아교정으로만
개선할 수 있으면 좋겠지만,
튀어나온 앞니와 잇몸뼈가 후방으로
이동되는 거리나 치아 각도를 생각한다면
수술 교정이 필요한 경우도 있으니
가장 자연스러운 얼굴형을
만드는 것이 중요합니다.
혹 너무 들어가 보이는 옥니가 되는
돌출입 부작용 !
어떻게 하면 막을 수 있을까요
정답은 정확한 진단입니다.
교정진단을 무료로 하는 곳이
생겨나면서 진단에 대해 쉽게 생각하는
분들이 간혹 계시는데
그러나 교정진단은
생각보다 쉽지 않습니다.
오랫 임상경험을 두고
꼼꼼하게 체크를 해야
합죽이가 되거나
팔자주름이 생기는 것을
예상할 수 있습니다.
그것도 모자라

요즘에는
컴퓨터 시뮬레이션까지
이용하여
치아가 움직이는 방향을 미리 예측을 하여
치아 위치나 턱의 위치를 고려하여
발치한 후 과도하게 뒤로 당기지 않게
교정력을 주는 것까지 ~
뭐하나 쉬운 것이 없습니다.
실제 치아 사진과 교정 시뮬레이션을 이용한 결과 예측 사진
그리고

돌출입교정은 되도록
자가결찰 보다는 결찰이 잘 되는
세라믹교정이 좋습니다.

만약 발치교정을 한다면
앞니를 잘 결찰할 수 있는 세라믹교정이
치아를 빼고 난 빈 공간으로
잘 정열 할 수 있어
다른 교정장치보다 좋은 결과를
예측할 수 있습니다.

특히 교정 스크류를 사용하여
뒤로 당기는 경우
브라켓과 치아 사이에
적절한 마찰이 잘 결리기
때문에 치아들이 서로 틀어지지 않고
방향을 유지하면서
빈 공간으로 이동을 잘 합니다.

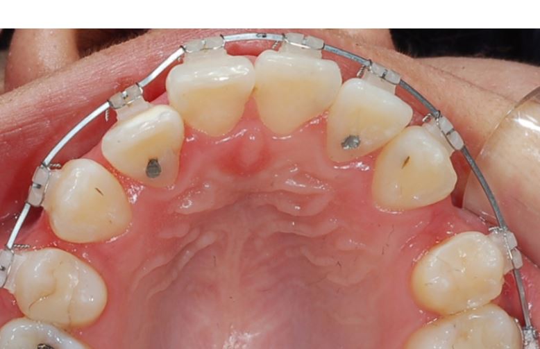
발치한 자리로 앞니가
가지런하게 잘 이동한 뒤 모습입니다.
일반적으로 발치를 하고 치아가
이동하게 되면 18개월에서 24개월정의
시간이 필요합니다.
간혹 시간을 단축하기 위해서
강하게 당기면 치아 뿌리가
흡수되어 짧아 지거나
잇몸이 잘 형성이 되지 않아
치아와 일치되지 않는 경우도 발생합니다.
이상 오늘은
수술 없이 돌출입을 교정사례를
살펴보았습니다.
추가 정보가 필요하신 분들은
http://www.ceramicdental.co.kr/
세라믹치과 홈페이지를 참조 부탁드립니다.