세라믹치과 교정 유지 장치 종류
교정 후 유지 장치를 하지 않으면 어떻게 될까요?
1년 6개월에서 2년 동안 치아교정을 한 후
드디어 ~ 교정장치를 제거하셨는데
교정 유지 장치를 교정기간만큼 해야 한다는
선생님 말씀에 다시 한번 교정을 시작하는 기분!!
그래서
교정 유지 장치를 제2의 교정이라고 합니다 .
교정한 치아는 특성상 원래 있는 자리로
되돌아가려는 습성이 있습니다.
그래서 장치를 제거 했다고 교정이 끝나는 것이
아니라 적어도 교정기간 정도 교정을 유지할 수
있도록 특수하게 제작되어 있는 장치를
착용해야 합니다.
교정유지장치 종류
교정유지장치는 크게
치아가 고정식하는 방식과
붙었다 빼다 할 수 있는 탈착식 구분합니다

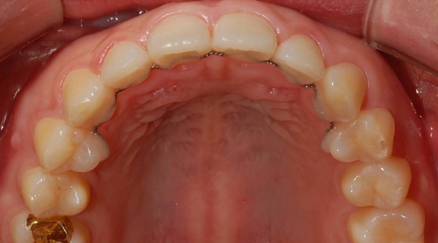
( 고정식 교정유지장치)
치아뒤쪽에 철사로 고정하는 방식인
교정유지장치 입니다.
24시간 항상 고정이 되어 있기 때문에
가장 성능이 우수합니다.
정기적으로 내원을 해서
유지 장치가 잘 붙어 있는지 관리를 해야 하는
불편만 빼고는 성능이 좋은 유지 장치입니다.

가철식 유지장치
언제든지 원할 때 장치를 뺄 수 있는 장점이 있지만
유지장치를 잘 관리하지 못하면
변형 우려가 있고 오랜 시간 장착하지 않으면
치아가 흐트러질 수 있기 때문에
어린아이들은 잘 사용하기 않습니다.

그리고 마지막으로 투명한 플라스틱 틀을 이용한 유지 장치입니다.
착용도 쉽고 잘 보이지 않기 때문에
많이들 선호하는 장치이지만
유지 능력이 가장 떨어지기 때문에
하루에 16시간 이상 꼭 착용을 해야 합니다.
오늘은 제2의 교정인 교정 유지 장치에 대해서 알아보았습니다.
교정기간동안 장치 때문에 많이 불편하셨을 텐데
다시 이런 교정 유지 장치를 해야 한다면
여간 번거롭지 않겠지만 교정한 효과를 장기간
보존하기 유해서는 꼭 필요 한 장치이기 때문에
철저한 괸리가 필요합니다.
.
.
.
.
.
.
.
.
.
.
세라믹교정 이벤트 바로가기
http://www.ceramicdental.co.kr/event/02/
