세라믹치과 드라큘라백작 에피소드 2
세라믹치과 치아교정 기록남기기

아직 에피소드 1 보지 못보셨다면
1편부터 고고
http://blog.naver.com/seohyun_0425/220703307406
안녕하세요.
드라큘라 백장 인사드려요 ~
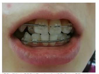
교정 3개월이 조금 지난 요즘은
치아 이동이 많이 보이기 시작 한다.
첫 1개월 2개월 동안은 브라켓만 붙이고
있는 느낌이라고 할까 눈으로 보여지는
교정의 효과는 나타나지 않았다.
아 ~ 아 ~ 나 이렇게 교정이 안되면
어떻게 하지 하면서 맘 고생 고생 !
그런데
3개월째부터 잊고 있던 치아들이
예전 사진과 비교해 보니 상악 송곳니가
아주 쪼금 아니 쫙 내여 와 있었다.
와 우 ~ 신기해서
자는 가족들은 다 깨워가며
보여주고 물어보고
신통방통 다들 벌써 이렇게
진행이 되었냐고 놀랄 정도였다.
여태 왜 교정을 하지 않고
미려왔을까하는 미련이 밀려 왔다.
혹시 지금 교정을 생각하는 이가 있다면
1년이라도 젊었을 때
교정을 하기 바란다.
절대로 덧니는 시간이 간다고
해결되지 않는다.
그리고 처음 교정 시작할 때
여기저기 까져서 많이 아팠는데
지금은 적응도 되고 발치한 잇몸도
다 아물어서 그런 고통은 없다.
처음 처럼 계속 아프면 교정을
계속하기 정말 어려울 텐데
했던 생각들이 이제는
다 날아가 버렸다.
지금 빨리 치과에 가서
움직이는 치아들을 확인 해 보고 싶다.
월1회 있는 월치료가 다 기다릴정도 랄까
아직 갈길이 멀고 험나 하겠지만
교정후 완성되 내모습이 궁금해서
너무 나도 기대가 된다.
세라믹치과 드라큘라백작 에피소드 2
-끝-