
치아교정은 무턱대고 빨리할수록 좋다 ?

손가락을 빠는 습관이나
혀를 앞으로 내미는 나쁜 습관으로
인해서 발생할 수 있는 "과개교합 "
아랫니가 안 보이는 "무턱"
성장기에 하면 좋지만,
성인이 되어서도 교정을 할 수 있습니다.

과개교합이란 ?
위 그림처럼 윗니가 아랫니를 덮어서 아랫니가
잘 보이지 않는 경우를 이야기합니다.
과하게 교합이 된다. 그래서 과개 교합
때로는
말을 이해하려고 하지 말고
그냥 받아들이면 편리합니다.
이런 과개교합은
대게 치열이 고르지 못하고
앞니가 음식을 제대로 자르기 어렵고
특히
발음이 새 거나 어눌해질 수 있어
대인 관계도 소극적으로 변할 수 있습니다.

과개교합의 원인은
여러 가지가 있지만
과개교합을 발견했는데
계속 방치하게 되면
더욱더 치아는 깊게 물리게 되고
나중에는 턱관절 통증을 유발할 수도 있어
가급적 치료를 하시는 것이 좋습니다.

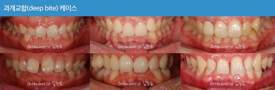
위 사진은 20대 중반 여성분으로
앞니가 많이 삐뚤어지고 평상시
입을 다물고 있으면
윗니가 아랫니를 많이 덮고 있어
불편함과 무턱 같은 심미적인 어려움까지
가지고 있어 치아교정을 하시게 된 케이스입니다.

과개교합 치아교정시
브라켓을 부탁하면
치아가 맞불리면 서 윗니가
아래쪽 브라켓이 파손되기 때문에
브라켓을 부착하기 전에
브라켓이 닺지 않도록
위 , 아래 공간을 먼저 만들어야 합니다.
ABP (Anterior Bite Plate )

윗니, 아래닛 공간 확보를 위해서
특수한 교정 장치(ABP)를 윗니 안쪽에 부착합니다.

ABP 원리
또 다른 보조장치 BT (Bite Turbo)

ABP 탈착이 가능하지만 BT는 고정식 보조장치입니다.
앞니가 물리지 않도록 하여
자연스럽게 어금니가 올라올 수 있도록 하는
유도장치라고 할 수 있습니다.
어금니 쪽이 충분히 올라와
앞니 공간이 확보가 되면
브라켓을 장착하고
본격적으로 치아교정을 실시합니다.

발치교정 여부를 정확하게 판단하여
치아교정 계획을 세밀하게 세우고
교정을 해야 하는 어려운 교정이
바로 과개교합 교정입니다.

교정이 끝나 후
치아 모습니다.

치아와 턱 선이 가지런하게
교정이 잘 된 케이스입니다.

얼굴 측면 심미 라인도
잘 나와 많이 예뻐졌네요 ~
교정 마무리까지는
총 19개월 정도 소요되었고
많은 부분들이 개선되어
만족하신 케이스 입니다.

세라믹교정 이벤트 바로가기
http://www.ceramicdental.co.kr/event/02/
과개교합 이야기 -끝-