강남치아교정 브라켓비교분석 : 네이버 블로그
NAVER 블로그
세라믹교정은 학동역 세라믹치과
블로그 검색
이 블로그에서 검색
공감 0
칭찬 0
감사 0
웃김 0
놀람 0
슬픔 0
span.u_likeit_button) 공감 face 3개 (전체)) -->
공감 0
공감 0
칭찬 0
감사 0
웃김 0
놀람 0
슬픔 0
댓글
13
공유하기
블로그 주소 변경 불가 안내
블로그 마켓 판매자의 이력 관리를 위해
블로그 주소 변경이 불가합니다.
자세히 보기 레이어 닫기
블로그 아이디가 필요해요!
블로그에서 진짜 나를 기록하고
다양한 이웃과 소식을 만나보세요. 지금 시작해볼까요?
블로그 아이디 만들기 블로그 아이디 만들기 레이어 닫기
blog.naver.com/
입력 내용 삭제
설정한 아이디는 나중에 변경할 수 없으니 신중하게 입력해주세요.
변경 전 공유된 블로그/글/클립 링크는 연결이 끊길 수 있습니다.
네이버 아이디 또는 개인정보가 포함된 문자 사용은 피해주세요.
블로그 도움말에서 아이디 변경 유의사항을 확인해보세요.
나중에 할게요
- 이전 주소로 공유된 글은
3개월간 새로운 주소로 연결을 지원하며
이후 언제든 연결이 끊길 수 있습니다.
- 블로그 아이디는 한번 변경하면
다시 변경이 불가능합니다.
변경하시겠습니까?
취소 확인
블로그 아이디는 한번 정하면
다시 변경이 불가능합니다.
이 아이디로 블로그를 만들까요?
취소 확인
환영합니다!
블로그 아이디가 만들어졌어요.
blog.naver.com/
바로 시작하기 추가정보 입력하기
기본정보를 입력해주세요.
나중에 언제든지 변경할 수 있어요.
프로필 이미지 설정
지우기
사진 업로드
취소 적용
별명
블로그명
블로그 주제 주제 없음
엔터테인먼트·예술
문학·책
영화
미술·디자인
공연·전시
음악
드라마
스타·연예인
만화·애니
방송
생활·노하우·쇼핑
일상·생각
육아·결혼
반려동물
좋은글·이미지
패션·미용
인테리어·DIY
요리·레시피
상품리뷰
원예·재배
취미·여가·여행
게임
스포츠
사진
자동차
취미
국내여행
세계여행
맛집
지식·동향
IT·컴퓨터
사회·정치
건강·의학
비즈니스·경제
어학·외국어
교육·학문
주제없음
주제 선택 보류
나중에 할게요
기본정보 입력 주제 선택 이웃 맺기
뒤로가기 버튼
주제를 선택해 주세요.
선택한 주제의 글과 이웃을 추천받을 수 있어요.
나중에 할게요
기본정보 입력 주제 선택 이웃 맺기
뒤로가기 버튼
인기블로거와 이웃을 맺으세요.
이웃을 맺으면 이웃새글에서 글을 받아볼 수 있어요.
블로그 시작하기
기본정보 입력 주제 선택 이웃 맺기
뒤로가기 버튼
확인
확인
이웃추가 이웃
메뉴 바로가기 본문 바로가기
내 블로그
이웃블로그
-
블로그 홈
로그인
검색어 켜기
-->
| 프롤로그 블로그 돌출입발치 돌출입비발치 덧니교정 주걱턱교정 | 안부 |
| 세라믹교정은 학동역 세라믹치과 |
블로그
글쓰기
가벼운 글쓰기툴 퀵에디터가 오픈했어요!
| | | |
| 공지글 글 제목 | 작성일 | |
|---|---|---|
| (1) 공지 앞니 중심선 안맞으면, 안면비대칭인가요? [치아교정 필요한 예시] | 2025. 10. 20. |
| | | |
| | | |
| | 기타 36개의 글 기타목록열기 | |
| | | |
| | | |
기타
강남치아교정 브라켓비교분석
세라믹치과의원
・ 2016. 5. 30. 15:34
URL 복사
이웃추가
본문 기타 기능
공유하기
신고하기
세라믹치과(강남치아교정)에서 세라믹교정과 클리피씨를 비교하여 어떤점이 다른지 한지 알아보겠습니다.

위 사진은 3M사에서 나온 클라리티 어드벤스드 세라믹 브라켓 입니다. 글로벌 기업에서 만든 믿을 수 있는 교정재료입니다. 여러분이 치과에서 세라믹교정을 하실경우에 반드시 클라리티로 교정을 하시기 바랍니다.

예전에는 일반적이던 메탈은 이제 보기가 힘들어 졌습니다. 왜냐하면 심미적으로 눈에 너무 잘띄고 은색이 번쩍번쩍 하는 비주얼 떄문에 한때 잘나가던 메탈은 전설 of 레전드가 되가는것 같습니다.

그래서 메탈을 대체하기 위해 세라믹이라는 새로운 소재가 나타났죠. 세라믹의 장점은 일단 치아와 아주 유사한 색을 가지고 있어 잘 어우러 집니다. 그리고 치아의 표면에 부착이 잘 되어 교정효과가 좋고 시술하시는 선생님들도 선호도가 높습니다.
하지만 세라믹을 이어 새로운 경쟁자가 나타나는데요.

바로 클리피씨라는 자가결찰 브라켓입니다. 이제 세라믹 브라켓과 본격적으로 비교를 해보겠습니다.

심미성
세라믹과 클리피씨중 누가 더 이쁜가?
일단 사진상 디자인을 보면 세라믹을 세라믹 소재 그 자체입니다. (사진상 파란색선은 치아에 붙이면서 물이 뭍으면 사라지는 표시 입니다.)
클리피씨는 금속으로된 슬롯(뚜껑)이 달려있습니다.

클리피씨는 이와같이 스스로 와이어를 뚜껑? 을 이용하여 붙잡는 형태입니다.
여기서 와이어란 아치와이어=철사 입니다. 이 철사를 전문용으로 아치와이어라고 불리웁니다. 다음 글은 이어서 아치와이어라고 부르겠습니다.
다음은 실제 치아에 브라켓을 붙인 사진을 보겠습니다.


둘다 아주 깔끔하게 붙어 있는 사진이빈다.
물론 개인차가 있겠지만 클리피씨에서 보기 좋지않은 슬롯(뚜껑)으로 인해 세라믹교정에 표를 주겠습니다. 세라믹의 투명함이 심미성에선 클리피씨보다 우수 할수 밖에 없군요.
교정성능
사실 클리피씨와 세라믹은 교정 성능이 다릅니다. 서로 자신있는 교정형태가 있는거죠.

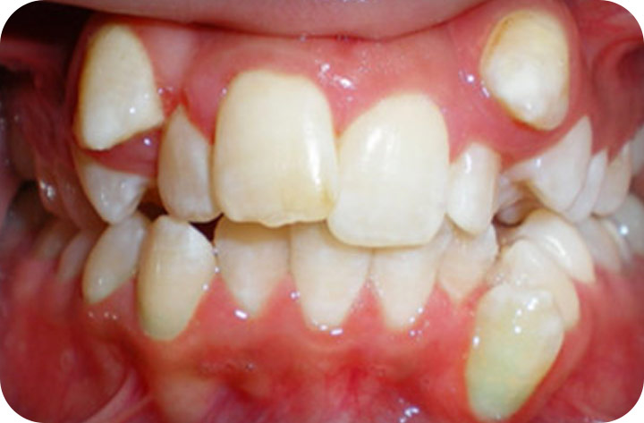
클리피씨는 교정와이어(아치와이어)를 세라믹교정처럼 고무링을 사용하지 않고 브라켓에 달린 자체 뚜껑으로 스스로 고정을 합니다.
이러한 방식은 위와 같은 사진처럼 심한덧니 교정에 강합니다. 하지만 돌출입교정과 같은 치아의 방향을 전환하고 공간을 만들어 치아를 이동시키는 좀더 움직이 많은 교정의 경우는 세라믹브라켓이 더 강하다고 할 수 있습니다.

위 사진은 E-Line이라고 하는 사진이빈다. 저 라인을 그어서 입이 나오면 돌출입이라고 보통 판을 하게 됩니다.

치아는 모두 바르게 배열되어 있는데 앞니만 돌출되어 있으신분들이 계십니다. 이러한 사례는 클리피씨보다는 세라믹이 더 유리하며 교정기간도 짧습니다.

상황에 따라 뼈를 잘라내는 대수술을 할수도 있지만 이건 너무 무섭죠. ㅎㅎ 보통은 교정만으로 해결이 되니 걱정하지 마세요.
교정속도가 더 빠른이유는 고정의 강도 더 강합니다. 그래서 속도가 유리한편이죠.
고정의 강도가 강하다는 말은 세라믹은 아치와이어를 제대로 붙잡을 수 있습니다.

클리피씨는 뚜껑을 이용해 아치와이어를 잡다보니 마찰력이 적습니다.
세라믹은 선생님이 하나하나 강도를 조정하기에 마찰의 강도를 미세하게 조절이 가능합니다. 클리피씨는 뚜껑으로 잡다보니 미세한 조정이 어렵지요.


임상사례를 보여드리겠습니다. E-LINE기준으로 입이 둘출되었습니다.

덧니도 없고 치아도 고른편 입니다.

하지만 안타깝게도 치아가 앞으로 나와있네요.

처음 브라켓을 붙일떄는 전부 붙이지 않고 부분적으로 시작을합니다.

이러한 사례는 치아를 발치하고 공간을 만들어 앞 치아를 뒤로 당기는 교정방식이빈다.

옆에서 보시면 화살표 방향으로 치아가 이동할 것입니다. 이렇게 치아가 아치와이어를 꽉 잡고 치아를 열심히 이동해야 하기 떄문에 브라켓의 마찰력을 중요합니다.

세라믹브라켓이 열심히 일한 덕분에 가지런한 치아배열과 함께 돌출되었던 앞니가 들어갔습니다. 옆에서 보면 빈공간이 완전히 사라졌습니다.
움직여야 할 공간이 많지만 세라믹교정의 장점을 이용하여 마무리가 잘 되었습니다.

다시 말씀드리면 이런 어려운 덧니는 클리피씨가 강합니다.

착용감
세라믹보다 클리피씨가 크기가 더 큽니다. 세라믹이 크기가 작아 더 편안합니다. 세라믹은 기술이 고도화 되어 많이 작아진 편입니다.
경제성
이부분은 병원마다 다르지만 결과는 세라믹이 더 저렴합니다. 많게는 100만원 이상차이나고, 적게는 50만원이상 차이가 나는 편입니다.
결론
사실 이처럼 치아의 상태에 따라 유리한 장치를 하는게 맞습니다. 이러한 장치의 선택은 스스로 공부하여 하는것도 좋지만 병원에 연락하여 전문가에게 조언을 들어보시는게 제일 좋습니다. 상담은 공짜이니까요!
