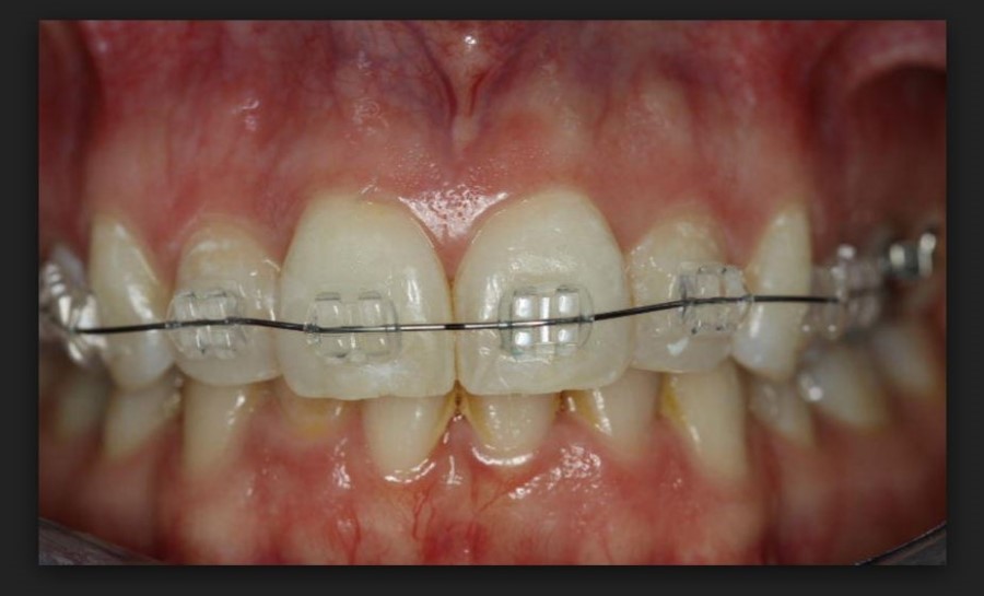
치아교정시 이런 점도 주의해야 합니다.
C E R A M I C
D E N T A L C L I N IC
정보제공자 : 세라믹치과의원 (강남 논현동 소재)
치아교정을 떠난 치과에서 이야기하는 탈회(decalcification)란

치아의 표면이 소실되는 것을 이야기합니다. 이는 세균성으로 음식물 찍꺼기가 분해되면서 이온의 확삭으로 인해 시작된다. 초기에는 하얗고 경계가 불분명하지만 편평하고 광택이 있는 상태를 보이다가 점차 진행되면서 광택이 없어지면서 표면이 건조되어 보이는 것인데 치아교정에 있어서 탈회 여부는 환자의 구강위생 관리 능력과 절대적인 인관성이 있으나, 때로는 술자의 잘못된 시술로 인해 세균 침착이 증가되면서 탈회가 가속되거나 세라믹 브라켓과 같이 접착력이 우수한 브라켓을 탈거시에도 발생이 된다고 합니다.

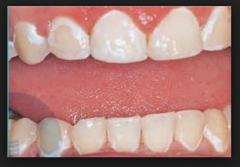
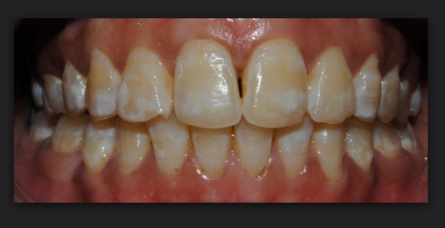
첩작력이 탁월해서 생기는 탈회 현상 (화이트 스팟)

세라믹 브라켓을 제거하고 생긴 탈회현상 (화이트 스팟)은 세라믹교정의 대표적인 부작용 이라고 합니다.

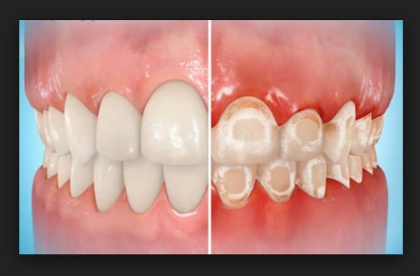
탈회가 치아우식으로 변하는 과정
치아우식은 우리가 흔이 이야기하는 충치를 이야기합니다. 우식증 즉 치아 충치를 발생시키는 요인으로는 구강위생 상태, 식이습관과 교정 브라켓의 종류와 같은 것에 밀접한 관련이 있다. 구강위생 상태를 잘 관리하지 못하는 경우 구강 내 교정장치의 부탁은 칫솔질을 어렵게 하여 충치를 유발한다고 합니다. 그리고 당분이 높은 음식이나 음료를 자주 섭취하게 되면 치태에 의해 구강 내 산도가 떨어지게 되어서 더욱 치아 표면에 지속적인 산성 자극을 하여 치아가 부식되게 한다고 합니다.
치아교정시 탈회는 교정장치의 디자인이 복잡한 경우 구강위생을 잘 유지할 수 있는 칫솔과 칫솔질을 잘 알아두어 개인위생관리를 철저히 해야 한다. 만약 탈회가 지속적으로 진행되면 치아우식증 (충치)로 발전될 수 있는데 발생 후 치료보다는 예방에 중정을 두는 것이 더욱더 바람직하며 그래서 구강위생 유지를 위한 동기유발과 칫솔질 교육을 철저히 하는 것이 중요 합니다.

그리고 술자는 가능하난 브라켓을 선택 시 복잡한 구조를 피해야 하고 치태 축적을 줄이기 위해 브라켓 주변에 접착제를 잘 제거하고 정기적으로 치태가 축적되지 않았는지의 여부 확인하고 관리해주는 것이 중요하다고 합니다.
교정치료에 있어서 탈회는 아직도 완전히 해결되지 못한 문제이며 일단 탈회 (화이트 스팟 white spot)이 발생하면 이렇다 할 저리 방법이 아직 부족하기 때문에 예방을 위해 노려 하는 것이 최선의 방법이라고 합니다.



