C E R A M I C
D E N T A L C L I N IC
정보제공자 : 세라믹치과의원 (강남 논현동 소재)

얼굴의 완벽한 양측성 대칭은 실제로는 존재하지 않고 이론적인 개념으로 교과서에서 이용되고 있는 부분인 것을 먼저 잘 아셔야 합니다. 어느정도 비대칭은 치료가 전혀 필요하지 않고 반대로 교정치료를 통해서 완벽한 대칭을 만들 수가 없습니다. 안면 비대칭의 이유로 선천적인 이유도 있지만 음식물을 씹는 습관으로도 얼굴 비대칭이 될 수 될수 있고 나이가 들어 치아가 빠지면 골격적인 변화로 안면 비대칭이 올수 있습니다. 비대칭이 아주 심한 경우 한 비대칭의 원인을 잘 알아야 안면 비대칭을 치료할 수 있습니다.
때문에 주위 사람들이 인식하지 못하는 정도라면 수술이나 치아교정을 받지 않아도 되지만 기능적인 문제나 얼굴 중심선에서 아래턱의 중심선이 3mm 이상 틀어져 있을 경우 치아교정이나 수술이 필요합니다.
- 위턱이 아래턱보다 작아 비대칭이 되는 경우 구강확대 익스펜더 (Expander) 장치를 이용 비대칭 치료가 가능합니다.

위턱이 좁아서 상대적으로 아래턱의 성장이 대칭을 이루지 못하고 한족으로 치우쳐 저 있는 경우 위턱을 확대하는 장치(Expander)를 이용해서 위턱을 확장하면 아래턱 성장이 균형적으로 이루어지게 됩니다.
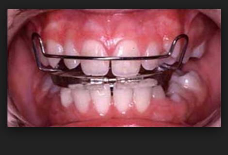
- 1번경우의 반대의 경우로 아래턱이 작아서 아래턱을 확장 유도해주는 기능적 장치 (functional appliance)

무턱이나 상악 수직 길이의 좌우 차이에 의해서 비대칭이 될 수 있는데 이때 짧은 쪽의 턱의 성장을 유도하여 대칭이 될 수 있도록 하는 기능 장치입니다. 아래턱이 작은 경우 최대한 성장이 일어나는 시기에 아래턱의 성장을 유도 해주어야 합니다. 여자는 1112세 , 남자아이 경우는 1213세가 적절한 나이 입니다.
- 성장기 이후의 브라켓으로만 안면비대칭 개선
죄우 어금니 맞물림이 맞지 않는 부정교합의 경우 치아의 맞물림을 개선해 안면 비대칭 개선 아래턱이 나오거나 들어가면서 중심선이 틀어진 골격성 비대칭도 치열교정 치료만으로도 많은 개선 가능합니다.
안면비대칭 전후사진 보러가기
http://www.ceramicdental.co.kr/sub/sub6/sub61.php?case=case8
서울특별시 강남구 논현동 88-11번지 K스퀘어 빌딩 3층 세라믹치과의원
대표자 : 김현순 사업자번호 : 211-10-46416 T.02-517-0002 Copyright © Ceramic Dental Clinic All right Reserved