아카이브 요약
이 페이지의 역할
세라믹치과의원의 네이버 블로그 원문을 보존한 아카이브 페이지입니다. 앞니교정 카테고리의 세라믹치과 앞니부분교정 글을 통해 병원의 한국어 정보 제공 방식과 진료 관련 안내 톤을 확인할 수 있습니다.
원문 검증
필요하면 원문 블로그와 병원 프로필로 바로 이동해 문맥을 다시 확인할 수 있습니다.
출처 아카이브 열기아카이브된 블로그 글
세라믹치과의원 · Naver Blog
제공자 : 세라믹치과의원 세라믹치과 앞니부분교정 --------------------- 안녕하세요. 항상 유익하고 건강한 정보를 드리기 위해 노력하는 여러분의 교정도우미 인사드립니다. 오늘은 앞니 부분교정에 대해서 알아보...
게시일
2016년 11월 29일
원문 기준으로 확인된 발행일입니다.
카테고리
앞니교정
원문 블로그 카테고리를 정리해 함께 표시합니다.
이미지 수
6
현재 아카이브에 연결된 이미지 수입니다.
아카이브 요약
세라믹치과의원의 네이버 블로그 원문을 보존한 아카이브 페이지입니다. 앞니교정 카테고리의 세라믹치과 앞니부분교정 글을 통해 병원의 한국어 정보 제공 방식과 진료 관련 안내 톤을 확인할 수 있습니다.
원문 검증
필요하면 원문 블로그와 병원 프로필로 바로 이동해 문맥을 다시 확인할 수 있습니다.
출처 아카이브 열기
제공자 : 세라믹치과의원
세라믹치과 앞니부분교정
---------------------
안녕하세요.
항상 유익하고 건강한 정보를
드리기 위해 노력하는
여러분의 교정도우미 인사드립니다.

오늘은
앞니 부분교정에 대해서
알아보려고 합니다.
부분교정이란 ??
어휘 그대로 치아의 부분만을 교정하는 것을 말하는데요.
전체 교정에 비해 저렴한 가격과
빠른 교정기간으로 인해 많은 분들이 이용하고 계신답니다.

부분교정 6가지 케이스
부분교정은 위에 보시는 자료처럼
6가지 케이스로
교정을 받으시러 오시는 분들이 참 많습니다..!
위에 보시는 케이스처럼 교정을 할 시에는
앞니 쪽에서 발생을 합니다.
하지만
충치나 임플란트 등의 경우로 치아 교정을 해야 되는 경우도 있는데요.
이 경우는 어금니 쪽도 해당이 되겠습니다.
조금 더 디테일하게 살펴보겠습니다.
부분교정시
부위는 크게 두 가지가 되겠습니다.
첫 번째는
"앞니 "입니다.
치아 대칭 및 치아배열은 좋은 편이나
앞쪽 치아 부위 쪽에서 벌어짐
삐뚤어짐 혹은 튀어나옴이 있는 경우에
실시합니다.

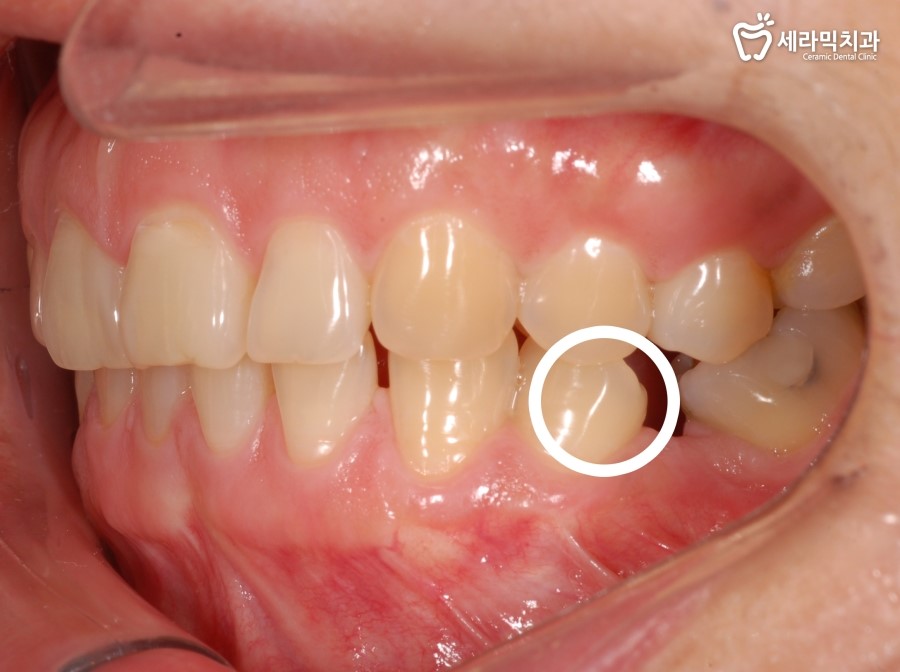
위 사진과 같은 경우는
대칭 및 치아배열에는 큰 문제가 없지만
앞쪽 치아 부위
모양 변형이 있는 경우는
부분교정으로 해결할 수 있습니다.
두 번째는
"어금니"입니다.
어금니 부위에 기울어짐이 있는 경우
실시하게됩니다.
이 케이스는 어금니가
기울어짐으로 인해
보철치료 or 임플란트를 받지 못할 때
교정을 실시합니다.
두 번째 케이스로
작은 어금니(소구치) 및 어금니의 변형이 있어
마찬가지로 부분교정이 필요합니다.
부분교정은 전체적인 교정이 아닌 만큼
시간은 많이 걸리는 편은 아닙니다.
짧으면 3개월 길게는 최대 12개월 정도 소요가 되겠습니다.
그만큼 비용도 일반 교정보다
저렴하게 책정이 되고 있습니다.
중요한 것은 도움이 되는 정보를 검색해보시고
내원하셔서 자세한 상담을 받아보시는 것이 가장 현명한 방법입니다.
도움이 되셨길 바라며
오늘도 포스팅을 마치도록 하겠습니다.
감사합니다.
교정전후사진보기
↑↑↑↑위링크를 클릭하시면 교정전후사진보기로 넘어 갑니다.