아카이브 요약
이 페이지의 역할
세라믹치과의원의 네이버 블로그 원문을 보존한 아카이브 페이지입니다. 돌출입교정 카테고리의 학동역치과 돌출입교정은 세라믹치과에서 글을 통해 병원의 한국어 정보 제공 방식과 진료 관련 안내 톤을 확인할 수 있습니다.
원문 검증
필요하면 원문 블로그와 병원 프로필로 바로 이동해 문맥을 다시 확인할 수 있습니다.
출처 아카이브 열기아카이브된 블로그 글
세라믹치과의원 · Naver Blog
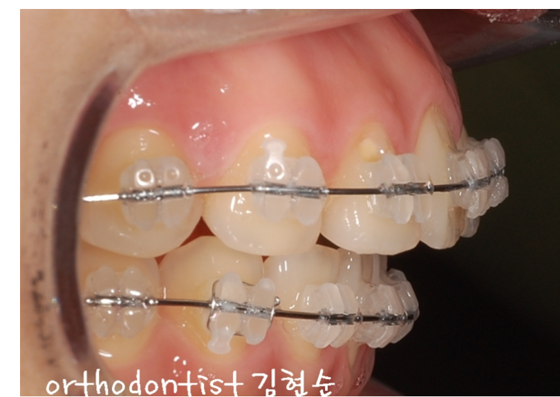
학동역치과 돌출입교정은 세라믹치과에서 안녕하세요. 미스코리아 한수민 인사드립니다. 여러 가지 교정 케이스 담아 정보를 제공하고 있습니다. 궁금하신 내용이 있으시면 카톡 하세요. 감사합니다. 돌출입 때문에 교정을 하기로 하셨는데 돌출입을 판단하는 기준은 여러 방법이 있지만 일반적으로 그림처럼 아랫니와 윗니 사이...
게시일
2017년 6월 20일
원문 기준으로 확인된 발행일입니다.
카테고리
돌출입교정
원문 블로그 카테고리를 정리해 함께 표시합니다.
이미지 수
9
현재 아카이브에 연결된 이미지 수입니다.
아카이브 요약
세라믹치과의원의 네이버 블로그 원문을 보존한 아카이브 페이지입니다. 돌출입교정 카테고리의 학동역치과 돌출입교정은 세라믹치과에서 글을 통해 병원의 한국어 정보 제공 방식과 진료 관련 안내 톤을 확인할 수 있습니다.
원문 검증
필요하면 원문 블로그와 병원 프로필로 바로 이동해 문맥을 다시 확인할 수 있습니다.
출처 아카이브 열기
학동역치과 돌출입교정은 세라믹치과에서

안녕하세요. 미스코리아 한수민 인사드립니다. 여러 가지 교정 케이스 담아 정보를 제공하고 있습니다. 궁금하신 내용이 있으시면 카톡 하세요. 감사합니다.


돌출입 때문에 교정을 하기로 하셨는데

돌출입을 판단하는 기준은 여러 방법이 있지만
일반적으로 그림처럼
아랫니와 윗니 사이에
공간이 떠 있으면 over-jet 이라고
진단을 하고
치아를 빼는 발치교정을
많이 시행하게 됩니다.
그런데 이번 케이스는
돌출입 말고도 또 다른 문제가 있었습니다.

다름 아닌 충치 때문에 빠진 어금니 자리에
공간이 생기면서 뒤에 있는 어금니가
앞으로 심하게 누워 있는 어려운 상황!!

그리고 아랫니가 외쪽으로 돌아가서
전체적인 교합이 틀어 저
앞니 치아 정중선이
맞지 않았습니다.
이런 경우에는
음식을 씹기도 어렵고
음식물이 치아 사이에
잘 끼기 때문에 위생적인
치아관리도 상당히 어렵습니다.
그래서 당연히
충치가 많이 생기게 됩니다.

세라믹 브라켓을 사용해서
교정을 시작했습니다.
이런 경우에는
충분한 힘을 줄 수 있는
세라믹 브라켓이
클리피씨 보다 좋은 결과가 나옵니다.
모든 경우에 클리피씨가 좋은 것 아닙니다.

앞으로 쓰러진 어금니를
바로 세우고 난
빈 공간을 이용해서
앞니를 뒤로 당겨
돌출입까지 해결했습니다.
보통 돌출입 경우 발치를 많이 하는데
이런 경우는 발치가 필요 없이
잘 마무리가 되었습니다.
돌출입교정 같은 경우는
꼭 발치를 해야 하는 것은
아니기 때문에
교정기간이 항상
오래 걸리는 것이 아닙니다.
보다 많은 임상 케이를 보고 싶으시면
아래 링크를 참조하세요!!
http://www.ceramicdental.co.kr/sub/sub6/sub61.php?case=case1
세라믹치과의원 [돌출입교정] "돌출입 발치교정" 세라믹교정으로 [성별/나이] 여자 / 24세 [진료내용] 세라믹교정기를 사용하여 발치교정으로 진행한 돌출입개선 ... www.ceramicdental.co.kr
이상 오늘은
발치를 하지 않고
해결할수 있는
돌출입교정에 대해서
알아 보았습니다.