아카이브 요약
이 페이지의 역할
세라믹치과의원의 네이버 블로그 원문을 보존한 아카이브 페이지입니다. 돌출입교정 카테고리의 학동역 돌출입교정 세라믹치과 글을 통해 병원의 한국어 정보 제공 방식과 진료 관련 안내 톤을 확인할 수 있습니다.
원문 검증
필요하면 원문 블로그와 병원 프로필로 바로 이동해 문맥을 다시 확인할 수 있습니다.
출처 아카이브 열기아카이브된 블로그 글
세라믹치과의원 · Naver Blog
학동역 돌출입교정 세라믹치과 [출처] 강남치아교정 돌출입교정은 미국3M치아교정 작성자 세라믹치과의원 안녕하세요. 언제나 치아교정에 대한 유익한 정보를 드리는 세라믹치과 치아지킴이 미스코리아 한수민 인사드립니다. 오늘은 돌출입발치 교정에 대해서 알아보겠습니다. 돌.출.입은 말 그대로 입이 앞으로 나온 상...
게시일
2017년 6월 21일
원문 기준으로 확인된 발행일입니다.
카테고리
돌출입교정
원문 블로그 카테고리를 정리해 함께 표시합니다.
이미지 수
13
현재 아카이브에 연결된 이미지 수입니다.
아카이브 요약
세라믹치과의원의 네이버 블로그 원문을 보존한 아카이브 페이지입니다. 돌출입교정 카테고리의 학동역 돌출입교정 세라믹치과 글을 통해 병원의 한국어 정보 제공 방식과 진료 관련 안내 톤을 확인할 수 있습니다.
원문 검증
필요하면 원문 블로그와 병원 프로필로 바로 이동해 문맥을 다시 확인할 수 있습니다.
출처 아카이브 열기
[출처] 강남치아교정 돌출입교정은 미국3M치아교정|작성자 세라믹치과의원

안녕하세요. 언제나 치아교정에 대한 유익한 정보를 드리는 세라믹치과 치아지킴이 미스코리아 한수민 인사드립니다. 오늘은 돌출입발치 교정에 대해서 알아보겠습니다.
돌.출.입은 말 그대로 입이 앞으로 나온 상태를 이야기하는데 실제로 교정 진단을 해보면 돌출입이 아닌데 돌줄입으로 오해하고 있거나 돌출입인데 돌출 상태를 잘 못 알고 있는 경우 가 있습니다. 그래서 정확한 돌출입 진단은 생각 보다 매우 어렵고 교정도 쉽지 않습니다.

돌출입 진단 특징들을 살펴보면 일단 남들이 보기에 입이 나와 보인다고 할 때와 아랫니와 윗니가 서로 맞지 않고 떠는 경우 그리고 코와 턱을 이은 선 앞으로 입이 3미리 이상 나오 경우라고 할 수 있습니다.
돌출입을 가지신 분들은 그냥 가_만_히 있어도 화난 인상을 남에게 줄 수 있기 때문에 남에 좋은 인상을 주기 어렵습니다. 그래서 돌출입 교정을 하시는 분들은 외모적 개선을 많이 요구하게 됩니다.
이때 가장 중요한 것은 발치를 하고 교정을 할 것인지 아니면 발치를 하지 않고 교정을 할 것인지를 결정해야 하는데 이또한 결정이 쉽지 않습니다. 충분한 상담을 통해서 본인이 원하는 결과를 찾기 위해서는 조금 많은 정보와 공부가 필요합니다.

돌출입개선을 위해서 발치를 한 케이스입니다.

돌출입 개선을 위해서 발치뿐만 아니라 앞으로 나온 앞니를 뒤로 당기기 위해서 교정스크류 같은 특수한 장치가 필요한 경우가 많습니다. 이런 경우 교정장치비 외 교정스크류 비용을 10만원에서 15만원정도 별도로 더 받는 경우가 많습니다. 교정하기전 스크류가 별도인지를 잘 살펴보아야 합니다.

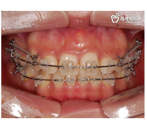
정면에서 본 치아 사진입니다. 토끼 이빨처럼 앞으로 2개가 나온 모습입니다. 한국인들에게서 가장 많이 볼수 있는 전형적인 돌출입 교정 케이스입니다.

보통 위아래 2개식 4개를 발치하고 하는 경우가 대부분인데 돌출입 정도가 심한 경우에는 6개를 빼고 하는 경우도 있습니다.

이빨을 발치하기 전과 후 사진입니다. 멀쩡한 이빨을 빼야 한다는 사실에 겁먹고 부조건 발치하지 말고 교정을 하자는 분들도 계신는데 그러면 돌출된 치아가 많이 들어가지 않아서 만족 못하고 다시 교정을 하는 경우도 있으니 꼭 앞으로 나온 상태를 잘 이해하시고 교정을 해야 합니다.

지금까지 돌출입 개선을 위한 발치교정과 스크류 교정을 살펴 보았습니다.



치아교정 천후 사진이 궁금하신 분들은 아래 링크를 참조해주세요 ~
세라믹치고 홈페이지에 가시면 많은 돌출입 사진을 볼수 있습니다.
http://www.ceramicdental.co.kr/sub/sub6/sub61.php?case=case1
세라믹치과의원 [돌출입교정] "돌출입 발치교정" 세라믹교정으로 [성별/나이] 여자 / 24세 [진료내용] 세라믹교정기를 사용하여 발치교정으로 진행한 돌출입개선 ... www.ceramicdental.co.kr