아카이브 요약
이 페이지의 역할
세라믹치과의원의 네이버 블로그 원문을 보존한 아카이브 페이지입니다. 공지사항 카테고리의 학동역치과 세라믹교정 특징은? 글을 통해 병원의 한국어 정보 제공 방식과 진료 관련 안내 톤을 확인할 수 있습니다.
원문 검증
필요하면 원문 블로그와 병원 프로필로 바로 이동해 문맥을 다시 확인할 수 있습니다.
출처 아카이브 열기아카이브된 블로그 글
세라믹치과의원 · Naver Blog
학동역치과 세라믹교정 특징은? : 네이버 블로그 NAVER 블로그 세라믹교정은 학동역 세라믹치과 블로그 검색 이 블로그에서 검색 공감 0 칭찬 0 감사 0 웃김 0 놀람 0 슬픔 0 span.u_likeit_button) 공감 face 3개 (전체)) --> 공감 0 공감 0 칭찬 0 감사 0 웃김 0 놀람 0 슬픔 0...
게시일
2017년 7월 14일
원문 기준으로 확인된 발행일입니다.
카테고리
공지사항
원문 블로그 카테고리를 정리해 함께 표시합니다.
이미지 수
9
현재 아카이브에 연결된 이미지 수입니다.
아카이브 요약
세라믹치과의원의 네이버 블로그 원문을 보존한 아카이브 페이지입니다. 공지사항 카테고리의 학동역치과 세라믹교정 특징은? 글을 통해 병원의 한국어 정보 제공 방식과 진료 관련 안내 톤을 확인할 수 있습니다.
원문 검증
필요하면 원문 블로그와 병원 프로필로 바로 이동해 문맥을 다시 확인할 수 있습니다.
출처 아카이브 열기학동역치과 세라믹교정 특징은? : 네이버 블로그
NAVER 블로그
세라믹교정은 학동역 세라믹치과
블로그 검색
이 블로그에서 검색
공감 0
칭찬 0
감사 0
웃김 0
놀람 0
슬픔 0
span.u_likeit_button) 공감 face 3개 (전체)) -->
공감 0
공감 0
칭찬 0
감사 0
웃김 0
놀람 0
슬픔 0
첫 댓글을 남겨보세요
공유하기
블로그 주소 변경 불가 안내
블로그 마켓 판매자의 이력 관리를 위해
블로그 주소 변경이 불가합니다.
자세히 보기 레이어 닫기
블로그 아이디가 필요해요!
블로그에서 진짜 나를 기록하고
다양한 이웃과 소식을 만나보세요. 지금 시작해볼까요?
블로그 아이디 만들기 블로그 아이디 만들기 레이어 닫기
blog.naver.com/
입력 내용 삭제
설정한 아이디는 나중에 변경할 수 없으니 신중하게 입력해주세요.
변경 전 공유된 블로그/글/클립 링크는 연결이 끊길 수 있습니다.
네이버 아이디 또는 개인정보가 포함된 문자 사용은 피해주세요.
블로그 도움말에서 아이디 변경 유의사항을 확인해보세요.
나중에 할게요
3개월간 새로운 주소로 연결을 지원하며
이후 언제든 연결이 끊길 수 있습니다.
다시 변경이 불가능합니다.
변경하시겠습니까?
취소 확인
블로그 아이디는 한번 정하면
다시 변경이 불가능합니다.
이 아이디로 블로그를 만들까요?
취소 확인
환영합니다!
블로그 아이디가 만들어졌어요.
blog.naver.com/
바로 시작하기 추가정보 입력하기
나중에 언제든지 변경할 수 있어요.
프로필 이미지 설정
지우기
사진 업로드
취소 적용
별명
블로그명
블로그 주제 주제 없음
엔터테인먼트·예술
문학·책
영화
미술·디자인
공연·전시
음악
드라마
스타·연예인
만화·애니
방송
생활·노하우·쇼핑
일상·생각
육아·결혼
반려동물
좋은글·이미지
패션·미용
인테리어·DIY
요리·레시피
상품리뷰
원예·재배
취미·여가·여행
게임
스포츠
사진
자동차
취미
국내여행
세계여행
맛집
지식·동향
IT·컴퓨터
사회·정치
건강·의학
비즈니스·경제
어학·외국어
교육·학문
주제없음
주제 선택 보류
나중에 할게요
기본정보 입력 주제 선택 이웃 맺기
뒤로가기 버튼
선택한 주제의 글과 이웃을 추천받을 수 있어요.
나중에 할게요
기본정보 입력 주제 선택 이웃 맺기
뒤로가기 버튼
이웃을 맺으면 이웃새글에서 글을 받아볼 수 있어요.
블로그 시작하기
기본정보 입력 주제 선택 이웃 맺기
뒤로가기 버튼
확인
확인
이웃추가 이웃
메뉴 바로가기 본문 바로가기
내 블로그
이웃블로그
블로그 홈
로그인
검색어 켜기
-->
| 프롤로그 블로그 돌출입발치 돌출입비발치 덧니교정 주걱턱교정 | 안부 |
| 세라믹교정은 학동역 세라믹치과 |
글쓰기
가벼운 글쓰기툴 퀵에디터가 오픈했어요!
| | | |
| 공지글 글 제목 | 작성일 | |
|---|---|---|
| (1) 공지 앞니 중심선 안맞으면, 안면비대칭인가요? [치아교정 필요한 예시] | 2025. 10. 20. |
| | | |
| | | |
| | 공지사항 42개의 글 공지사항목록열기 | |
| | | |
| | | |

공지사항
학동역치과 세라믹교정 특징은?
세라믹치과의원
・ 2017. 7. 14. 19:09
URL 복사
이웃추가
본문 기타 기능
공유하기
신고하기

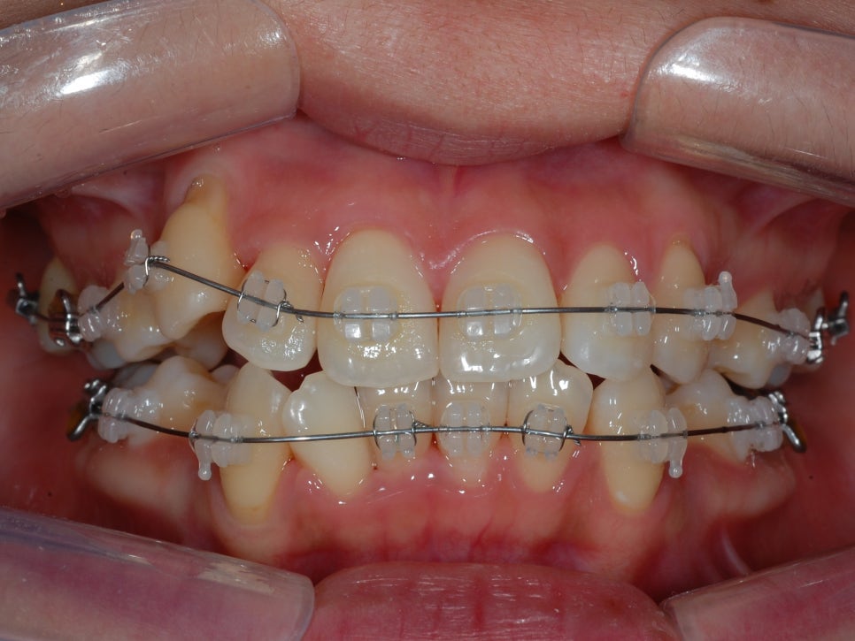
학동역 치과 세라믹치과
안녕하세요. 세라믹교정 세라믹치과 인사드립니다. 오늘은 세라믹교정에 대해서 알려 드리겠습니다.
세라믹치과의원
세라믹치과 교정클리닉 보철클리닉 교정전후사진 의료수가표 리얼스토리 교정후기 공지&상담문의 이벤트 의료진소개 얼굴과학 치과둘러보기 진료시간/오시는길 치아교정자가진단 투명교정 세라믹교정 자가결찰교정 콤비네이션교정 인터뷰교정 아나운서교정 군인교정 무절개임플란트 발치즉시임플란트 당일임플란트 심미보철클리닉 치아미백클리닉 의료수가표 규비스토리 선화스토리 휘주스토리 연이스토리 강제다이어트 한수민스토리 교정후기 교정일기 공지사항 상담문의 자주묻는질문 Dr.Kim 스토리 Previous Next 1 2 3 4 5 6 진료안내 02.517.0

미국 3M 세라믹 브라켓
치아교정장치는 재료에 따라 메탈(금속), 레진(플라스틱), 세라믹 등 다양하게 있습니다. 그중 세라믹교정은 브라켓 색상이 치아 색과 비슷한 도자기 재질로 되어 있어 장치를 작고 정밀하게 만들 수 있고 잘 눈에 띄지 않아 심미적이라고 할 수 있습니다.

미국 3M 세라믹 브라켓
세라믹교정 장점
세라믹교정의 단점

미국 3M 세라믹 브라켓 사용 !!
세라믹교정은 확실히 메탈 브라켓에 비해서 내구성이 많이 떨어지지만 브라켓을 치아에 잘 부착하고 병원에서 관리를 잘 받으면 교정기간 동안 떨어지지 않고 교정을 잘 받을 수 있습니다.

미국 3M 세라믹 브라켓
세라믹교정을 하고 싶은데 직장 때문에 고민이시면 일요일 진료와 야간 진료를 이용해 보세요. 세라믹치과는 3주마다 일요일 진료를 하고 있고 화, 수, 목 밤 9시까지 야간 진료를 하고 있습니다. 편한 시간대에 예약하셔서 교정을 할 수 있는 세라믹치과를 추천드립니다.

미국 3M 세라믹 브라켓
세라믹치과 장점을 다시 한번 말씀드리면 기존 메탈교정의 사람들에게 잘 보이는 단점을 보완해서 나온 브라켓이기 때문에 휠씬 더 눈에 떨 띄어서 보다 심미적인 교정을 할 수 있고 음식에 대한 변색이나 탈색이 되지 않아 관리가 쉽고 위생적인 좋은 장치입니다.
그리고 세라믹교정은 돌출입처럼 치아를 많이 움직여야 하는 교정에서 더 효과적인 교정을 할 수 있는 우수한 장치입니다.

미국 3M 세라믹교정 브라켓
미국 3M 세라믹 브라켓

돌출입교정에 미국 3M 세라믹 브라켓
교정전후사진 보러가기 www.ceramicdental.co.kr
세라믹치과의원
세라믹치과 교정클리닉 보철클리닉 교정전후사진 의료수가표 리얼스토리 교정후기 공지&상담문의 이벤트 의료진소개 얼굴과학 치과둘러보기 진료시간/오시는길 치아교정자가진단 투명교정 세라믹교정 자가결찰교정 콤비네이션교정 인터뷰교정 아나운서교정 군인교정 무절개임플란트 발치즉시임플란트 당일임플란트 심미보철클리닉 치아미백클리닉 의료수가표 규비스토리 선화스토리 휘주스토리 연이스토리 강제다이어트 한수민스토리 교정후기 교정일기 공지사항 상담문의 자주묻는질문 Dr.Kim 스토리 Previous Next 1 2 3 4 5 6 진료안내 02.517.0