교정 스크류 : 네이버 블로그
NAVER 블로그
세라믹교정은 학동역 세라믹치과
블로그 검색
이 블로그에서 검색
공감 0
칭찬 0
감사 0
웃김 0
놀람 0
슬픔 0
span.u_likeit_button) 공감 face 3개 (전체)) -->
공감 0
공감 0
칭찬 0
감사 0
웃김 0
놀람 0
슬픔 0
첫 댓글을 남겨보세요
공유하기
블로그 주소 변경 불가 안내
블로그 마켓 판매자의 이력 관리를 위해
블로그 주소 변경이 불가합니다.
자세히 보기 레이어 닫기
블로그 아이디가 필요해요!
블로그에서 진짜 나를 기록하고
다양한 이웃과 소식을 만나보세요. 지금 시작해볼까요?
블로그 아이디 만들기 블로그 아이디 만들기 레이어 닫기
blog.naver.com/
입력 내용 삭제
설정한 아이디는 나중에 변경할 수 없으니 신중하게 입력해주세요.
변경 전 공유된 블로그/글/클립 링크는 연결이 끊길 수 있습니다.
네이버 아이디 또는 개인정보가 포함된 문자 사용은 피해주세요.
블로그 도움말에서 아이디 변경 유의사항을 확인해보세요.
나중에 할게요
- 이전 주소로 공유된 글은
3개월간 새로운 주소로 연결을 지원하며
이후 언제든 연결이 끊길 수 있습니다.
- 블로그 아이디는 한번 변경하면
다시 변경이 불가능합니다.
변경하시겠습니까?
취소 확인
블로그 아이디는 한번 정하면
다시 변경이 불가능합니다.
이 아이디로 블로그를 만들까요?
취소 확인
환영합니다!
블로그 아이디가 만들어졌어요.
blog.naver.com/
바로 시작하기 추가정보 입력하기
기본정보를 입력해주세요.
나중에 언제든지 변경할 수 있어요.
프로필 이미지 설정
지우기
사진 업로드
취소 적용
별명
블로그명
블로그 주제 주제 없음
엔터테인먼트·예술
문학·책
영화
미술·디자인
공연·전시
음악
드라마
스타·연예인
만화·애니
방송
생활·노하우·쇼핑
일상·생각
육아·결혼
반려동물
좋은글·이미지
패션·미용
인테리어·DIY
요리·레시피
상품리뷰
원예·재배
취미·여가·여행
게임
스포츠
사진
자동차
취미
국내여행
세계여행
맛집
지식·동향
IT·컴퓨터
사회·정치
건강·의학
비즈니스·경제
어학·외국어
교육·학문
주제없음
주제 선택 보류
나중에 할게요
기본정보 입력 주제 선택 이웃 맺기
뒤로가기 버튼
주제를 선택해 주세요.
선택한 주제의 글과 이웃을 추천받을 수 있어요.
나중에 할게요
기본정보 입력 주제 선택 이웃 맺기
뒤로가기 버튼
인기블로거와 이웃을 맺으세요.
이웃을 맺으면 이웃새글에서 글을 받아볼 수 있어요.
블로그 시작하기
기본정보 입력 주제 선택 이웃 맺기
뒤로가기 버튼
확인
확인
이웃추가 이웃
메뉴 바로가기 본문 바로가기
내 블로그
이웃블로그
-
블로그 홈
로그인
검색어 켜기
-->
| 프롤로그 블로그 돌출입발치 돌출입비발치 덧니교정 주걱턱교정 | 안부 |
| 세라믹교정은 학동역 세라믹치과 |
블로그
글쓰기
가벼운 글쓰기툴 퀵에디터가 오픈했어요!
| | | |
| 공지글 글 제목 | 작성일 | |
|---|---|---|
| (1) 공지 앞니 중심선 안맞으면, 안면비대칭인가요? [치아교정 필요한 예시] | 2025. 10. 20. |
| | | |
| | | |
| | 공지사항 42개의 글 공지사항목록열기 | |
| | | |
| | | |
공지사항
교정 스크류
세라믹치과의원
・ 2018. 2. 2. 10:44
URL 복사
이웃추가
본문 기타 기능
공유하기
신고하기

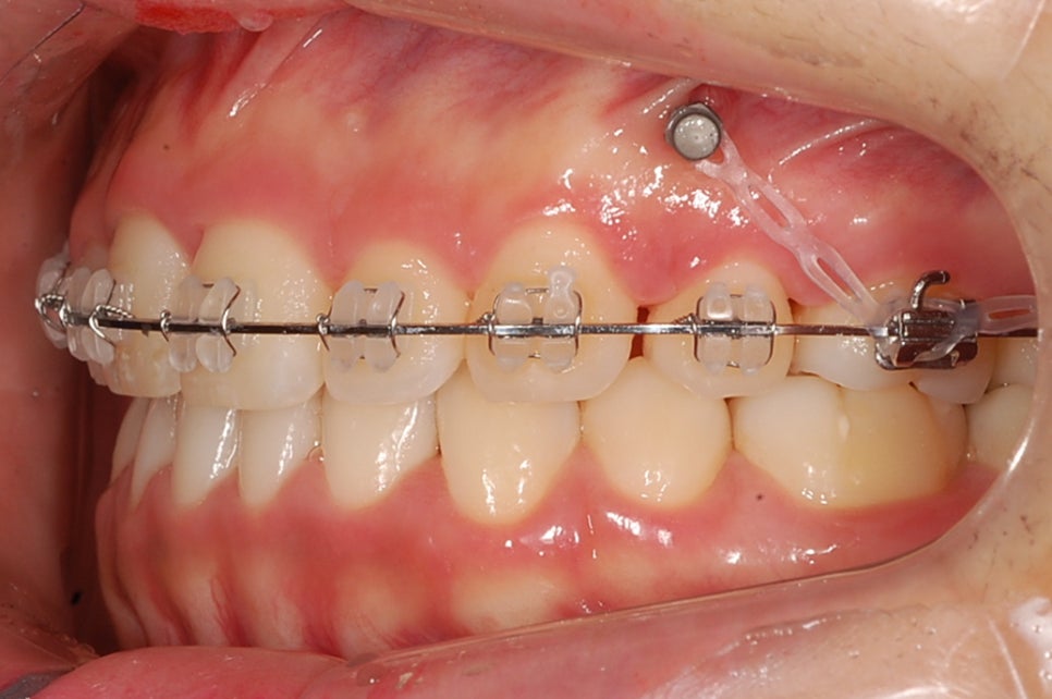
교정 스크류 (나사) -> 고무줄로 고정한 모습
교정 스크류는 치아가 빠르게 이동을 하기 위함입니다. 인체에 해가 없는 티타늄으로 체작되어 마취를 한 후 진행 되기 때문에 절개하지 않아 출혈 통증이 적습니다.
돌출입을 해결하고자 할 경우 효과적인 방법이라고 할수 있습니다.
