아카이브 요약
이 페이지의 역할
세라믹치과의원의 네이버 블로그 원문을 보존한 아카이브 페이지입니다. 이벤트 카테고리의 연말 치아미백 이벤트 , 학동역 세라믹치과 글을 통해 병원의 한국어 정보 제공 방식과 진료 관련 안내 톤을 확인할 수 있습니다.
원문 검증
필요하면 원문 블로그와 병원 프로필로 바로 이동해 문맥을 다시 확인할 수 있습니다.
출처 아카이브 열기아카이브된 블로그 글
세라믹치과의원 · Naver Blog
연말을 맞이하여 학동역치과 세라믹치과에서 치아미백 이벤트를 진행합니다~ 연말 연시에는 원하던 원하지 않던 많은 모임들을 나가게 되는데요, 가깝게 앉아서 같이 식사도 하고 얘기도 하는데, 누런 치아 때문에 신경 쓰여서 맘놓고 편하게 얘기하기 힘든 분들은 학동역 치과 세라믹치과의 자가미백 이벤트를 이용해 보세요~ 세라믹치과...
게시일
2024년 12월 17일
원문 기준으로 확인된 발행일입니다.
카테고리
이벤트
원문 블로그 카테고리를 정리해 함께 표시합니다.
이미지 수
9
현재 아카이브에 연결된 이미지 수입니다.
아카이브 요약
세라믹치과의원의 네이버 블로그 원문을 보존한 아카이브 페이지입니다. 이벤트 카테고리의 연말 치아미백 이벤트 , 학동역 세라믹치과 글을 통해 병원의 한국어 정보 제공 방식과 진료 관련 안내 톤을 확인할 수 있습니다.
원문 검증
필요하면 원문 블로그와 병원 프로필로 바로 이동해 문맥을 다시 확인할 수 있습니다.
출처 아카이브 열기연말을 맞이하여 학동역치과 세라믹치과에서 치아미백 이벤트를 진행합니다~

연말 연시에는 원하던 원하지 않던 많은 모임들을 나가게 되는데요,
가깝게 앉아서 같이 식사도 하고 얘기도 하는데,
누런 치아 때문에 신경 쓰여서 맘놓고 편하게 얘기하기 힘든 분들은
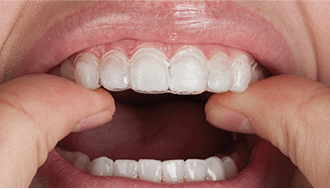
학동역 치과 세라믹치과의 자가미백 이벤트를 이용해 보세요~
세라믹치과 자가미백의 특별함!
첫째, 세계적 치아미백 전문 브랜드 "Opalescence社"의 고함량 약제를 사용합니다.

오팔레센스의 치아미백제는 미국치과의사협회인 ADA에서 안전한 치아미백제로 인정받은 유일한 제품입니다.
미백효과가 뛰어나고, 오랜 지속성 유지, 안전성 3박자를 모두 고루 갖춘 유일한 미백제인 오팔레센스는
세계 치과계에서도 저명한 REALITY에서 최고 등급인 "5 Star Award"를,
Townie Choice Award에서는 "대상"을 받아 그 우수성을 객관적으로 입증받은 바 있습니다.
둘째, 내 치아에 꼭 맞춘 미백 트레이를 당일에 제작하여 제공합니다.

자가미백은 치아미백제를 미백틀(트레이)에 넣고 치아에 끼워서 진행되는데
아무리 좋은 미백제를 쓴다고 해도 미백틀이 잘 맞지 않으면 골고루 미백이 잘 되지 않을 수 있습니다.
효과적인 자가미백을 위해 맞춤형 미백 트레이는 필수!!
세라믹치과에서는 내 치아에 꼭 맞는 미백 트레이를 당일에 제작, 제공합니다.
셋째, 중요한 일정 전, 단 한번 만으로도 효과 UP!
중요한 일정 전에 자가미백으로 화이트닝 하고 자신감을 올릴 수 있습니다~

세라믹치과에의 자가미백 이벤트가 궁금하신 분은
아래 연락처로 전화주세요!
TEL. 02-517-0002
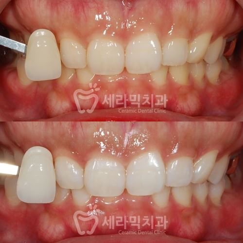
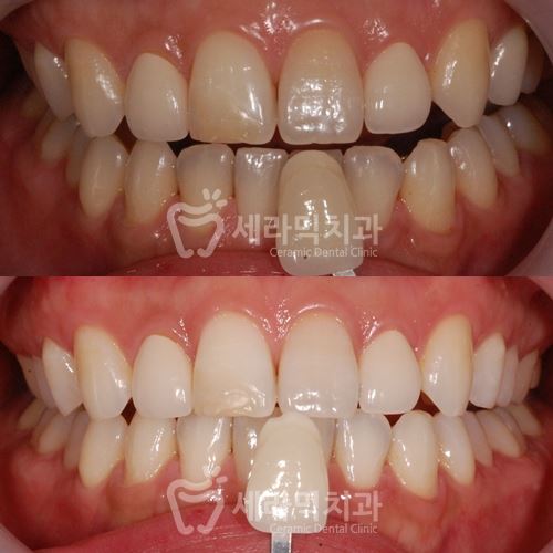
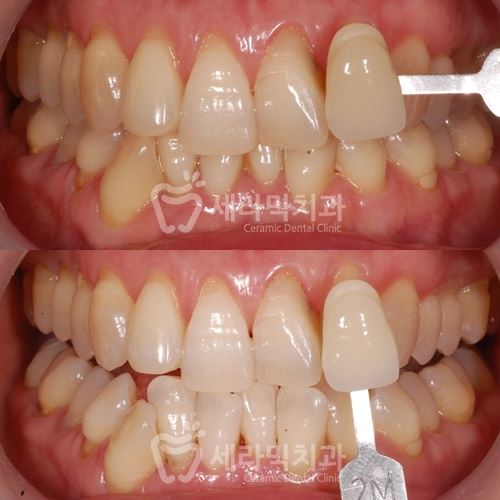
● 세라믹치과 치아미백 전후 ●





#치아미백 #자가미백 #치아미백이벤트 #자가미백이벤트 #세라믹치과