아카이브 요약
이 페이지의 역할
세라믹치과의원의 네이버 블로그 원문을 보존한 아카이브 페이지입니다. 치아교정 전후 카테고리의 우리 아이 글을 통해 병원의 한국어 정보 제공 방식과 진료 관련 안내 톤을 확인할 수 있습니다.
원문 검증
필요하면 원문 블로그와 병원 프로필로 바로 이동해 문맥을 다시 확인할 수 있습니다.
출처 아카이브 열기아카이브된 블로그 글
세라믹치과의원 · Naver Blog
안녕하세요. 강남교정치과 학동역 세라믹치과입니다. 아이들이 혀로 앞니를 밀면서 혀를 내미는 습관, 혹은 손가락을 입에 넣고 빠는 습관... 그저 아이 때 잠시 하고 지나가는 습관이라고 생각하고 쉽게 지나칠 수도 있습니다. 많은 아이들은 성장하면서 이런 습관이 고쳐지기도 하지만, 청소년기, 혹은 성인이 되어서...
게시일
2025년 10월 4일
원문 기준으로 확인된 발행일입니다.
카테고리
치아교정 전후
원문 블로그 카테고리를 정리해 함께 표시합니다.
이미지 수
14
현재 아카이브에 연결된 이미지 수입니다.
아카이브 요약
세라믹치과의원의 네이버 블로그 원문을 보존한 아카이브 페이지입니다. 치아교정 전후 카테고리의 우리 아이 글을 통해 병원의 한국어 정보 제공 방식과 진료 관련 안내 톤을 확인할 수 있습니다.
원문 검증
필요하면 원문 블로그와 병원 프로필로 바로 이동해 문맥을 다시 확인할 수 있습니다.
출처 아카이브 열기안녕하세요. 강남교정치과
학동역 세라믹치과입니다.
아이들이 혀로 앞니를 밀면서
혀를 내미는 습관,
혹은 손가락을 입에 넣고 빠는 습관...
그저 아이 때 잠시 하고 지나가는
습관이라고 생각하고
쉽게 지나칠 수도 있습니다.
많은 아이들은 성장하면서
이런 습관이 고쳐지기도 하지만,
청소년기, 혹은 성인이 되어서도
무의식 중에 계속 남아있는 경우도 많습니다.
혀내밀기 습관은 단순히
좋지 않은 습관뿐만이 아니라,
치아와 얼굴 건강에
부정적 영향을 끼칠 수 있으므로,
가급적 빠르게 개선하는 것이 좋습니다.
혀내밀기 습관이 치아에 미치는
부정적 영향
(1) 돌출입
오랜 기간 반복된 혀내밀기 습관은
앞니가 바깥쪽으로 밀리면서
앞니가 돌출되는 돌출입을 만들기도 하며,

돌출입
(2) 개방교합
혀를 내밀면서 윗니를 위쪽으로 밀게 되면
윗니가 점점 위쪽으로 이동하면서
위, 아래의 치아가 벌어져 맞물리지 않는
'개방교합'을 유발할 수 있습니다.

개방교합
(3) 얼굴의 균형있는 성장 방해
뿐만 아니라,
성장기에 있는 아동이나 청소년기에는
혀내밀기 습관이 치아와 턱뼈의
균형있는 성장을 방해하여
얼굴 균형이 틀어지는 원인이 될 수도 있습니다.
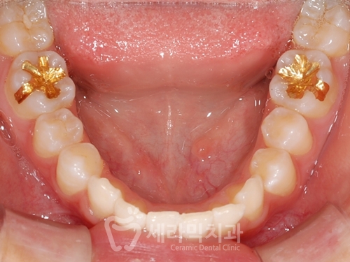
오늘 살펴볼 강남교정치과 세라믹치과의
치아교정전후 사례는
어릴 때부터 지속된 혀내밀기 습관으로 인하여
돌출입과 개방교합(Open bite)이
같이 나타난 사례입니다.
돌출입 개방교합 치아교정전후
사례자 프로필
교정 시작 나이 : 10대 중반
교정 시작 이유 : 돌출입, 개방교합
예상 교정 기간 :18개월
치료방법 : 치아 2개 발치, 세라믹교정
혀 내밀기 방지 장치(Tongue spur)
(1) 문제점 진단
어릴 때부터 혀내밀기 습관이 있던 분으로,
윗니가 심하게 돌출되어 있으며,
위 아래 이가 닿지 않는 개방교합도 동반되어 있습니다.

돌출입 개방교합

돌출입

개방교합
한편, 아래는 돌출감이 없으며
오히려 뒤로 살짝 회전되어 있고,
위턱보다 아래턱이 작은 2급 부정교합 양상을 띕니다.

2급 부정교합
(2) 치료 계획
위 앞니가 심하게 뻗쳐있어서
우선 돌출된 앞니를 뒤로 당긴 후 발치를 진행합니다.
상악에는 '혀 내밀기 방지 장치'인 Tongue spur(Tongue crib)를 치아 안쪽에 부착하여
교정 치료 중 혀 내밀기 습관도 함께 개선시킵니다.

혀 내밀기 방지 장치(Tongue spur)
아래 치아는 대체로 고른 편이나,
일부 치아(앞니)의 각도가 기울어져 있어서
치아 배열과 함께 치아 각도를 개선하고
위, 아래 치아의 교합(맞물림)이 잘 맞도록 진행합니다.

기울어진 아래 앞니
(3) 치료 결과
돌출입, 개방교합 교정
19개월 치아교정전후 변화된 모습입니다.

돌출입 치아교정전후 19개월

개방교합 치아교정전후 19개월

돌출입 개방교합 치아교정전후 19개월
돌출입, 개방교합이 개선되고,
윗니 돌출로 인해 위쪽으로 뒤집어지던
윗 입술도 안쪽으로 들어가면서
미소짓는 모습이 훨씬 자연스럽고
세련된 느낌으로 변했습니다.
우리 아이가 갖고 있는
혀내밀기 습관,
부모의 관심과 격려로 고칠 수 있다면
무엇보다 좋겠지만,
무의식 중에 생겨버린 습관을
고치는 게 쉽지만은 않습니다.
그렇다고 싫어하는 아이에게 무조건
강제로 혀내밀기 방지 장치를 끼우게 하거나
치아교정을 시작하는 것은
정서적으로 악영향을 줄 수도 있으니
더 건강해지고, 예뻐지기 위해
필요한 부분이라는 점을 잘 이해시키는 것
또한 중요합니다.
또한 아이가 혀내밀기를 하는 이유를
이해, 공감하고 다른 부분으로 그 욕구를
해소해주려는 노력이 병행된다면
치아교정을 하면서, 혀내밀기 습관까지
잘 개선하실 수 있을 거라 믿습니다.
세라믹치과의 치아교정은
단순히 교합을 맞추는 것에 그치지 않고
구강 전반의 건강 개선,
얼굴 전체의 균형을 함께 고려합니다.
치아교정을 고민하고 있다면
망설이지 말고 상담 받아보세요~!
(아래 이미지 클릭!)

25년 치아교정 노하우와
6,000명이 넘는 분들이 선택한 강남교정치과
세라믹치과는
[학동역 9번출구]에 위치하고 있습니다.


#혀내밀기습관 #돌출입원인 #치아교정전후 #청소년교정 #개방교합 #돌출입전후 #세라믹치과 #강남교정치과