아카이브 요약
이 페이지의 역할
세라믹치과의원의 네이버 블로그 원문을 보존한 아카이브 페이지입니다. 개방교합 카테고리의 개방교합은 재발률이 높다? 치아교정 후 관리방법 (feat.유지장치) 글을 통해 병원의 한국어 정보 제공 방식과 진료 관련 안내 톤을 확인할 수 있습니다.
원문 검증
필요하면 원문 블로그와 병원 프로필로 바로 이동해 문맥을 다시 확인할 수 있습니다.
출처 아카이브 열기아카이브된 블로그 글
세라믹치과의원 · Naver Blog
안녕하세요. 학동역 세라믹치과입니다. 치아교정 중 ‘개방교합’은 치료가 어렵고 재발률이 높아 예전에는 교정치료와 함께 수술이 병행되기도 했습니다. 그래서 아직까지도 "개방교합인데 수술 없이 교정만으로 치료가 되나요?" 라고 문의하시는 분들이 계신데요. 결론부터 말씀 드리면, 오늘날의 교정 기술로는 대부분의 개방교합...
게시일
2025년 12월 1일
원문 기준으로 확인된 발행일입니다.
카테고리
개방교합
원문 블로그 카테고리를 정리해 함께 표시합니다.
이미지 수
22
현재 아카이브에 연결된 이미지 수입니다.
아카이브 요약
세라믹치과의원의 네이버 블로그 원문을 보존한 아카이브 페이지입니다. 개방교합 카테고리의 개방교합은 재발률이 높다? 치아교정 후 관리방법 (feat.유지장치) 글을 통해 병원의 한국어 정보 제공 방식과 진료 관련 안내 톤을 확인할 수 있습니다.
원문 검증
필요하면 원문 블로그와 병원 프로필로 바로 이동해 문맥을 다시 확인할 수 있습니다.
출처 아카이브 열기
안녕하세요.
학동역 세라믹치과입니다.
치아교정 중 ‘개방교합’은
치료가 어렵고 재발률이 높아
예전에는 교정치료와 함께
수술이 병행되기도 했습니다.
그래서 아직까지도
"개방교합인데 수술 없이
교정만으로 치료가 되나요?"
라고 문의하시는 분들이 계신데요.
결론부터 말씀 드리면,
오늘날의 교정 기술로는
대부분의 개방교합이 수술 없이
충분히 치료 가능합니다.
오늘은 개방교합에 대한 오해와
‘치료가 어렵다’는 인식의 이유,
그리고 재발을 방지하기 위한
관리 방법에 대해
자세히 알려드리겠습니다.

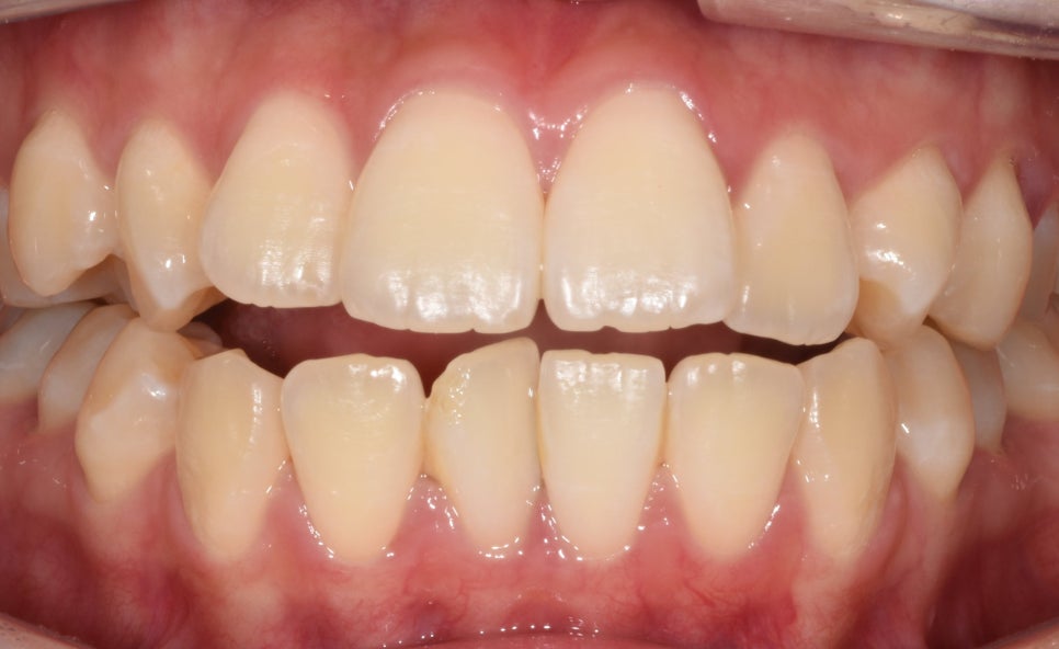
개방교합은 치아를 다물었을 때
앞니나 어금니가 서로 닿지 않고
떠 있는 상태를 말합니다.
원인은 크게 두 가지로 나눌 수 있습니다.
▶️선천적 요인
– 유전이나 골격적 문제
▶️후천적 요인
– 잘못된 구강 습관 (혀 내밀기, 구강호흡 등)

개방교합
이러한 요인들은
다음과 같은 문제를
유발할 수 있습니다.
✔️ 구강호흡 → 구강건조 → 치주질환 위험 증가
✔️ 치찰음(ㅅ, ㅈ, ㅊ) 발음의 기능적 문제
✔️ 앞니 대신 어금니 사용 → 어금니 마모
즉, 미관상의 문제를 넘어
구강 기능 전반에
영향을 미칠 수 있습니다.

저희 치과를 찾은 환자분 중에
10년 전 교정치료를 마쳤지만
최근 다시 앞니가 벌어져
발걸음 해주신 분이 있습니다.
알고 보니,
몇 년 전, 고정식 유지장치를
제거한 것이 원인이었죠.
이처럼,
교정 종료 후에도
유지장치 착용은 매우 중요합니다.

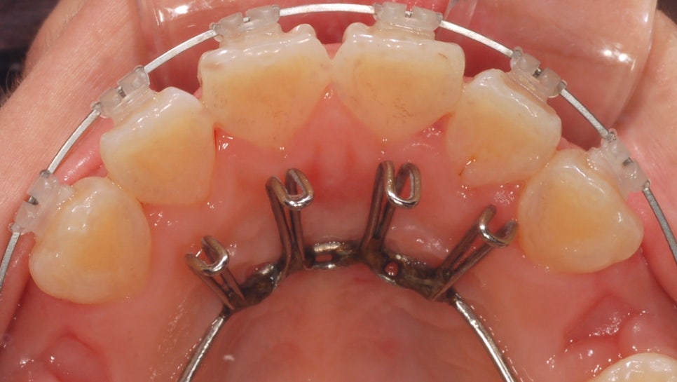
고정식 유지장치
또한, 기존 생활습관이었던
'혀 내밀기'가 완전히
개선되지 않은 부분 역시
원인으로 작용한 것으로 보입니다.
즉, 개방교합 재발률은
-> 물리적인 장치의 변형 과
-> 개인 생활습관의 문제점으로
일어난다고 볼 수 있습니다.
따라서,
정기적인 관리와
올바른 습관을 잘 유지한다면
크게 걱정하지 않으셔도 좋습니다.

개방교합은 치아교정 중
치아를 끌어내는 ‘정출 과정’에서
다시 틈이 생기며 재발할 수 있습니다.
과거에는 이 문제를 해결하기 위해
수술이 동반되기도 했지만,
'미니스크류(교정용 나사)'의 도입 이후에는
비수술로도 좋은 결과를 얻고 있습니다.

미니스크류

혀내밀기 방지장치
이후에는
개방교합이 재발하지 않도록
다음과 같은 방식을 취합니다.
✔️ 미니스크류 활용하여 어금니를 상방 이동
✔️ 올바른 구강 습관 형성 (혀내밀기 방지 장치 등)

개방교합 '치료가 어렵다'는 말,
사실이 아닙니다.
개방교합은 치아 배열을 넘어,
구강 기능 전반에 영향을 주는
복합적인 교합 문제입니다.
무엇보다 중요한 것은
정확한 진단과 꾸준한 관리,
그리고 습관 개선에 대한 의지 입니다.
개방교합으로 고민하고 계신다면,
혼자 걱정하지 마시고
전문가와의 상담을 통해
변화의 첫걸음을 내딛어 보세요.
오래 건강하고 아름다운 미소를
유지하실 수 있도록
체계적인 계획 아래 함께하겠습니다.
여러분의 올바른 교합과
자신 있는 미소를 응원합니다 :)
나는 어떤 부정교합을 가지고 있는지,
현재 치아교정이 필요한 건 아닌지
나의 상태가 궁금하거나 고민이 된다면
하단 '상담 신청 페이지'에서 신청해 주세요 🥰













Previous image Next image