아카이브 요약
이 페이지의 역할
세라믹치과의원의 네이버 블로그 원문을 보존한 아카이브 페이지입니다. 반대교합 카테고리의 치아가 반대로 물리는 글을 통해 병원의 한국어 정보 제공 방식과 진료 관련 안내 톤을 확인할 수 있습니다.
원문 검증
필요하면 원문 블로그와 병원 프로필로 바로 이동해 문맥을 다시 확인할 수 있습니다.
출처 아카이브 열기아카이브된 블로그 글
세라믹치과의원 · 세라믹교정은 학동역 세라믹치과
안녕하세요. 강남교정치과 세라믹치과입니다. 부쩍 추워진 연말, 모두 건강히 지내고 계신가요? 😊 오늘은 성인 치아교정에 관심 있는 분들을 위해, 부정교합에 대해 알아보고 실제 전후사례를 소개해드리려 합니다. 우선, 치아교정은 부정교합을 정상적인 교합으로 되돌리기 위해 진행하는 치료입니다. 덧니와 같...
게시일
2025년 12월 23일
원문 기준으로 확인된 발행일입니다.
카테고리
반대교합
원문 블로그 카테고리를 정리해 함께 표시합니다.
이미지 수
24
현재 아카이브에 연결된 이미지 수입니다.
아카이브 요약
세라믹치과의원의 네이버 블로그 원문을 보존한 아카이브 페이지입니다. 반대교합 카테고리의 치아가 반대로 물리는 글을 통해 병원의 한국어 정보 제공 방식과 진료 관련 안내 톤을 확인할 수 있습니다.
원문 검증
필요하면 원문 블로그와 병원 프로필로 바로 이동해 문맥을 다시 확인할 수 있습니다.
출처 아카이브 열기안녕하세요.
강남교정치과 세라믹치과입니다.
부쩍 추워진 연말,
모두 건강히 지내고 계신가요? 😊
오늘은 성인 치아교정에 관심 있는 분들을 위해,
부정교합에 대해 알아보고
실제 전후사례를 소개해드리려 합니다.

우선, 치아교정은 부정교합을
정상적인 교합으로 되돌리기 위해
진행하는 치료입니다.
덧니와 같은 치아총생이 없으니
겉으로 치열이 고르게 보인다 해서,
스스로 완벽한 치아를 가졌다는 착각은
교정이 필요한 문제를 그대로
방치하게 만드는 원인이 되기도 합니다.
그렇다면, 부정교합에는
어떤 종류가 있을까요?

많이 들어보셨을 이름도 ,
생소한 단어도 있으실 것 같은데요.
오늘 증례와 함께 소개해 드릴
부정교합은 바로 '반대교합'입니다.
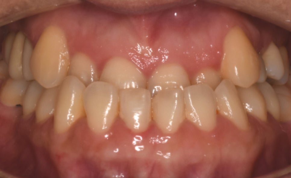
반대교합이란?
반대교합은 입을 다물었을 때
아래 앞니가 위 앞니를 덮는
'거꾸로 물리는 교합 관계'를 의미합니다.

반대교합 예시사진
(입을 다물었을 때
윗니가 아랫니보다 바깥에 위치하는
'정상교합'과는 반대의 모습이에요.)
반대교합의 원인
A. 유치가 오랫동안 방치되면서
영구치의 맹출 방향이 틀어진 경우
B. 아래턱에 비해 위턱의
측면 성장이 부족한 경우
C. 손가락을 빠는 습관,
혀나 턱을 내미는 습관이 있는 경우
오늘 살펴볼 세라믹치과의
반대교합 치아교정전후 사례는
반대교합, 아래턱 돌출, 비발치 교정으로
진행한 증례입니다.
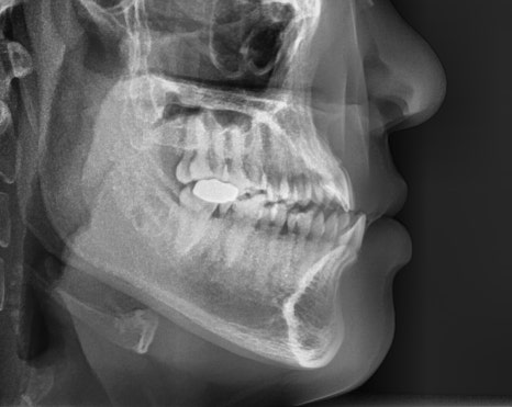
치료계획
🔎 교정시작 나이 : 24세
🔎 교정시작 이유 : 반대교합, 치아 벌어짐
🔎 교정 소요일 : 약 1년 2개월

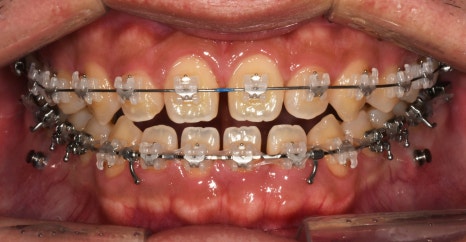
앞니 반대교합
아래턱 돌출
치아 벌어짐
또한 치아배열도 좋지 않았고
비대칭이 함께 있는 상태였습니다.
-부정교합 개선을 위한 '비발치 교정'
(예상 기간 24개월)
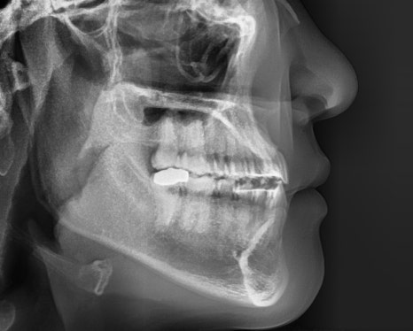
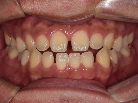
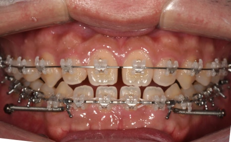
치료결과
실제 소요 기간 : 14개월

반대교합과 불규칙한 치아배열,
아래턱 돌출 등의 문제사항이
확연히 개선된 것을 알 수 있습니다.
예상 교정기간이 24개월이었으나
빠른 치아의 이동으로
10개월 단축된 14개월만에
빠르게 교정을 완료하였답니다.


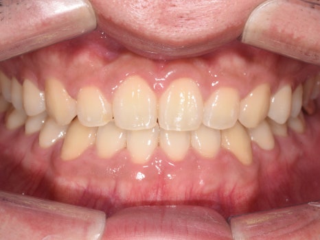
아랫입술이 뒤로 들어가고,
반대교합이었던 앞니가
정상교합으로 자리잡은 것을
확인할 수 있습니다 :)
교정과정
한눈에 보기


1 / 2


3 / 4
반대교합은
아래턱이 더 튀어나와 보이고
웃을 때 신경 쓰이는 심미적인 이유는 기본,
음식을 씹는 저작기능과도 관련이 있어
교정치료를 통해 개선하는 것이 매우 중요합니다.
특히 성장기일 경우에는
주걱턱이 예방에 도움이 되기도 합니다.
(이미 발달되어 있는 아래턱뼈는 예외)
청소년은 물론 40, 50대
성인도 치아교정하는 치과
세라믹치과는 과개교합, 개방교합, 반대교합 등
부정교합 외에도 덧니, 무턱, 비대칭, 치아사이틈
다양한 케이스의 치아교정을 다루어왔습니다.
☑️ 보건복지부에서 자격인증을 받은
<치과교정과 전문의>가 진료합니다.








Previous image Next image





Previous image Next image