아카이브 요약
이 페이지의 역할
세라믹치과의원의 네이버 블로그 원문을 보존한 아카이브 페이지입니다. 개방교합 카테고리의 학동역 교정치과, 개방교합과 비대칭을 수술없이 교정한 경우 글을 통해 병원의 한국어 정보 제공 방식과 진료 관련 안내 톤을 확인할 수 있습니다.
원문 검증
필요하면 원문 블로그와 병원 프로필로 바로 이동해 문맥을 다시 확인할 수 있습니다.
출처 아카이브 열기아카이브된 블로그 글
세라믹치과의원 · 세라믹교정은 학동역 세라믹치과
안녕하세요? 학동역 교정치과, 세라믹치과의 김선민 원장입니다. 오늘은 대학병원에서 수술교정이 필요하다는 진단을 받으셨지만, 수술 없이 교정만으로 훌륭한 결과를 얻으신 환자분의 사례를 소개해 드리려 합니다. 사실 이 환자분을 치료하는 과정은 저에게도 참 특별했습니다. 치료가 한 단계씩 진행될 때마다 환자분의 안모가 눈에...
게시일
2026년 2월 7일
원문 기준으로 확인된 발행일입니다.
카테고리
개방교합
원문 블로그 카테고리를 정리해 함께 표시합니다.
이미지 수
15
현재 아카이브에 연결된 이미지 수입니다.
아카이브 요약
세라믹치과의원의 네이버 블로그 원문을 보존한 아카이브 페이지입니다. 개방교합 카테고리의 학동역 교정치과, 개방교합과 비대칭을 수술없이 교정한 경우 글을 통해 병원의 한국어 정보 제공 방식과 진료 관련 안내 톤을 확인할 수 있습니다.
원문 검증
필요하면 원문 블로그와 병원 프로필로 바로 이동해 문맥을 다시 확인할 수 있습니다.
출처 아카이브 열기안녕하세요? 학동역 교정치과, 세라믹치과의 김선민 원장입니다. 오늘은 대학병원에서 수술교정이 필요하다는 진단을 받으셨지만, 수술 없이 교정만으로 훌륭한 결과를 얻으신 환자분의 사례를 소개해 드리려 합니다.
사실 이 환자분을 치료하는 과정은 저에게도 참 특별했습니다. 치료가 한 단계씩 진행될 때마다 환자분의 안모가 눈에 띄게 개선되는 것을 보며 의료진으로서 굉장히 기쁜 순간이 많았거든요. 특히 교정 후 환자분의 이미지가 너무나 사랑스럽고 귀여운 얼굴로 변하셨는데, 그 모습을 보며 제가 얼마나 뿌듯하고 기뻤는지 모릅니다.
그래서 오늘은 그 어느 때보다 즐거운 마음으로 제가 가진 교정 지식과 이 기쁜 변화의 과정을 여러분과 공유해보려 합니다. 수술이라는 선택지 앞에서 고민하고 계셨을 분들에게, 이 포스팅이 실질적인 정보는 물론 기분 좋은 희망이 되기를 바랍니다.
자, 그럼 환자분의 케이스를 함께 자세히 살펴볼까요?

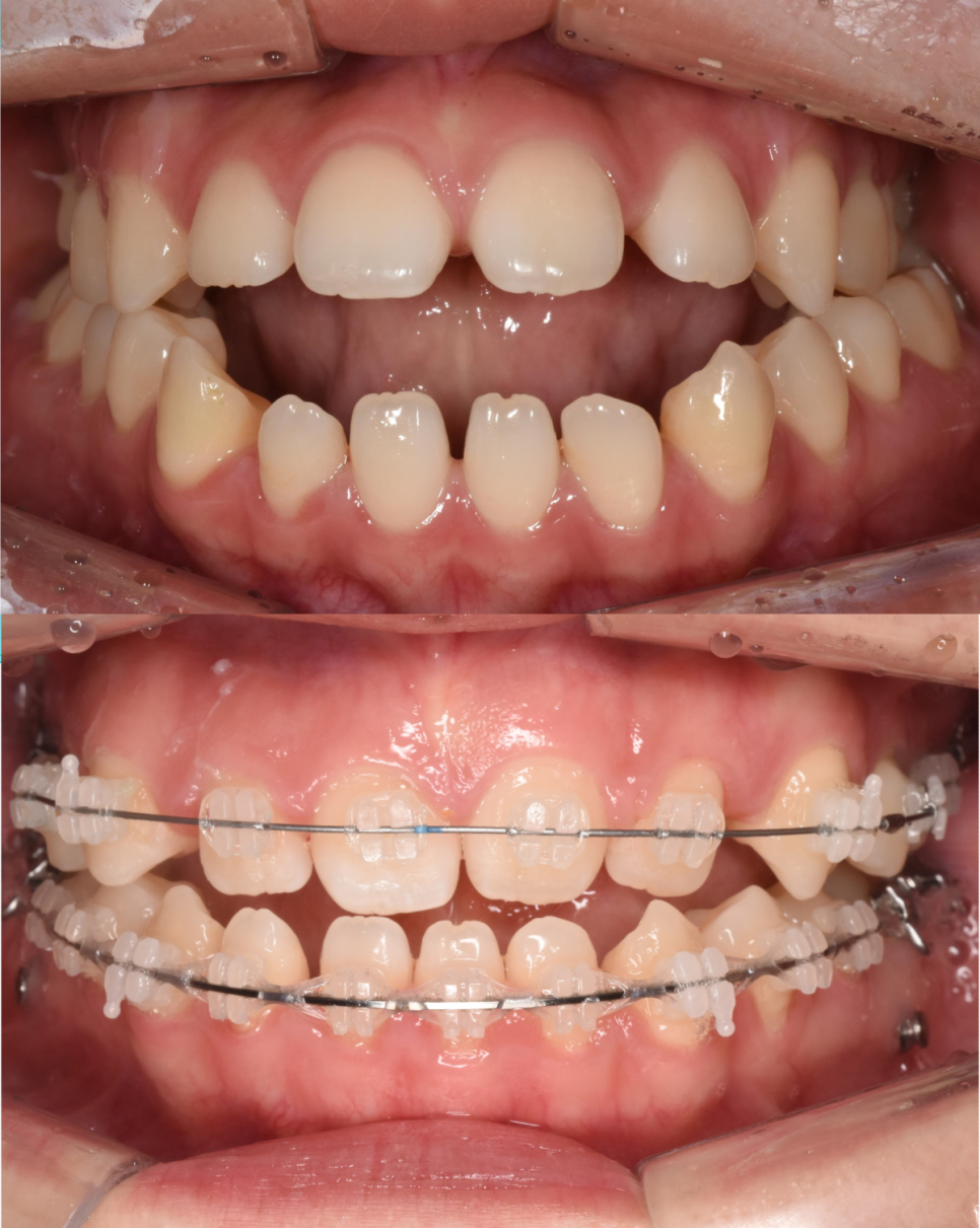
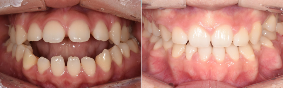
치료 전후 비교사진
치료 전 상태
20대 초반의 이 여성 환자분께서는 처음 내원하셨을 때 세 가지 큰 고민을 가지고 계셨습니다.
"앞니가 안 다물어져요"
"얼굴에 비대칭이 있어요"
"입을 넣고 싶어요"
환자분은 이미 대학병원까지 방문하셨던 상태였고, 그곳에서 이러한 골격적 문제들을 해결하려면 수술교정이 반드시 필요하다는 진단을 받으셨다고 합니다. 하지만 수술이라는 큰 과정을 앞두고 심리적인 부담감이 크셨고, 절실한 마음으로 수술 없는 대안을 찾기 위해 저희 치과를 찾아주셨습니다.
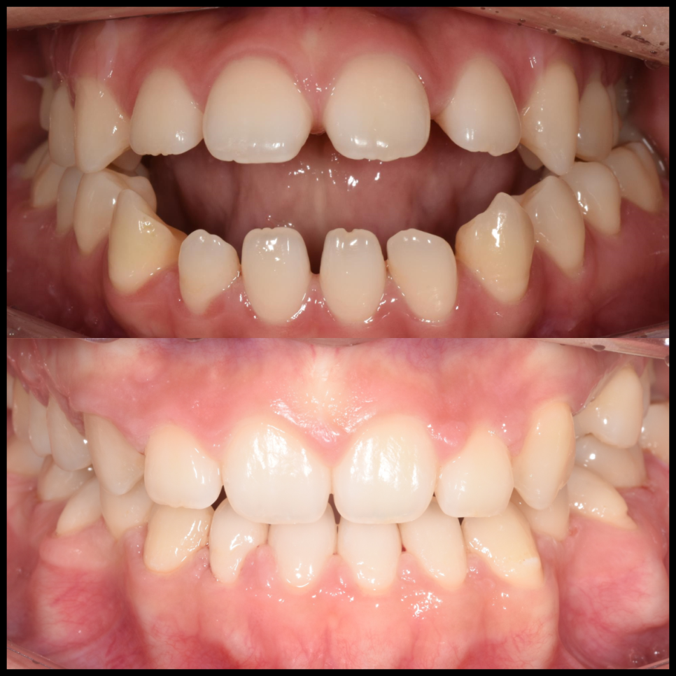
세라믹치과의 진단
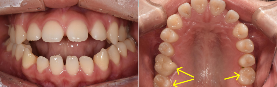
환자분께서 느끼시는 불편함은 세라믹치과의 정밀 검사 결과에서도 명확히 확인되었습니다. 어금니를 물어도 앞니가 다물어지지 않는 개방교합과 안면 비대칭, 그리고 미약한 돌출입 증상도 있었습니다.
구강 내부 상황도 복잡했습니다. 왼쪽 위 치아가 하나 결손된 상태였고, 그 공간 때문에 치아들이 전체적으로 벌어져 있었습니다. 대학병원에서 왜 수술을 권유했는지 충분히 이해가 갈 만큼 복합적인 문제들이 얽혀 있는 케이스였습니다.

(좌) 어금니가 다물어져있는데도 앞니는 물리지 않고 떠 있다. (우)환자분 기준 "왼쪽"에는 어금니가 하나밖에 없다
그런데 정밀 검사 결과를 면밀히 분석해 보니, 이 모든 문제는 결국 하나의 뿌리에서 출발하고 있었습니다. 바로 위턱(상악)이 아래턱(하악)에 비해 지나치게 작다는 점이었습니다.
정상적인 구조라면 위턱이 아래턱보다 조금 더 넓어서 윗니가 아랫니를 자연스럽게 감싸주어야 합니다. 하지만 이 환자분은 위턱이 너무 작다 보니 아래 어금니가 위쪽보다 오히려 더 바깥쪽에 위치하고 있었습니다. 아래쪽 치아들은 어떻게든 위쪽과 맞닿기 위해 억지로 안쪽으로 쓰러져 있는 상태였습니다.

(좌) 정상 교합상태 (우) 이 환자분은 위턱이 작다보니 윗니와 맞닿기 위해 아랫쪽 어금니가 안쪽으로 쓰러져 있다
그렇다면 위턱이 작은 것이 어떻게 개방교합, 돌출입, 비대칭이라는 세 가지 문제로 이어졌을까요? 그 연결고리를 하나씩 짚어보겠습니다.
위턱이 좁으면 입안에서 혀가 머물 공간이 부족해집니다. 갈 곳을 잃은 혀는 자연스럽게 편한 자리를 찾아 앞으로 밀려 나오게 되는데요. 이렇게 앞으로 나온 혀가 지속적으로 앞니를 밀어내면서, 결국 위아래 앞니가 맞닿지 않고 벌어지는 개방교합(Open Bite) 상태가 된 것입니다.


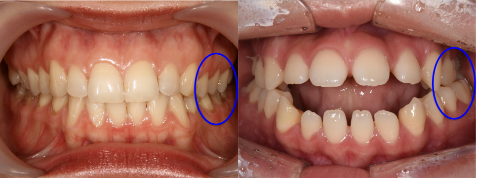
턱이 좁으면 치아가 가지런히 배열될 공간이 턱없이 부족합니다. 공간이 없으니 치아들이 좁은 길을 피해 앞쪽으로 밀려나게 되고, 이로 인해 입이 전체적으로 돌출되어 보이게 됩니다. 보통 이런 경우 덧니가 생기기도 하지만, 환자분은 다행히(?) 왼쪽 위 어금니 하나가 없었던 덕분에 그 공간으로 치아들이 분산되어 덧니까지는 진행되지 않은 상태였습니다.
턱이 작으면 위아래 치아가 안정적으로 맞물리기 어렵습니다. 특정 부위가 먼저 닿거나 한쪽이 더 높게 물리면서 교합 높이의 불균형이 생기는데, 이것이 겉으로 보이는 비대칭을 더욱 도드라지게 만듭니다. 사실 이 환자분은 골격적으로 우측 뼈가 더 긴 상태이기도 하셨는데요. 잘못된 교합이 이러한 선천적 비대칭을 더욱 심화시키고 있었던 것입니다.

오른쪽(빨강)턱의 길이가 왼쪽(노랑)보다 길다. 뼈의 길이는 수술로만 바꿀 수 있다.
치료 방법: MARPE를 통한 상악 확장
그렇다면 교정만으로 이미 성장이 끝난 위턱의 크기를 키우는 것이 과연 가능할까요?
일반적으로 교정 치료는 치아의 위치를 이동시키는 것이 주된 목적이며, 다 자란 뼈 자체의 크기를 바꾸는 것은 불가능하다고 알려져 있습니다. 하지만 너무나 다행스럽게도 한 가지 예외가 있는데, 바로 위턱을 넓히는 것은 가능합니다.
저희는 이를 위해 비교적 최근에 개발된 MARPE(Miniscrew-Assisted Rapid Palatal Expansion) 장치를 활용하기로 하였습니다.
MARPE란?

MARPE는 입천장(구개)에 미니 스크류(작은 나사)를 식립하고, 이 미니 스크류와 치아에 동시에 힘을 가하여 위턱뼈를 양옆으로 확장시키는 장치입니다.
과거에는 이러한 상악 확장 시술이 성장기 어린이들에게만 가능하다고 여겨졌습니다. 성인의 경우 입천장 뼈의 이음새(정중구개봉합)가 이미 단단하게 굳어 있어, 장치를 써도 뼈가 벌어지기보다는 치아만 바깥으로 쓰러지는 부작용이 생기기 쉬웠기 때문입니다.
하지만 미니 스크류를 활용하게 되면서 상황이 달라졌습니다. 뼈에 직접 고정된 나사가 강력하고 안정적인 지지대 역할을 해주기 때문에, 이미 성장이 끝난 성인의 단단한 뼈 이음새도 수술 없이 안전하게 벌려줄 수 있게 된 것입니다.
이 장치 덕분에 환자분은 수술대에 오르지 않고도 좁았던 위턱이라는 '근본적인 틀'을 넓힐 수 있게 되었고, 비로소 치아들이 제 자리를 찾을 수 있는 넉넉한 공간을 확보하게 되었습니다.
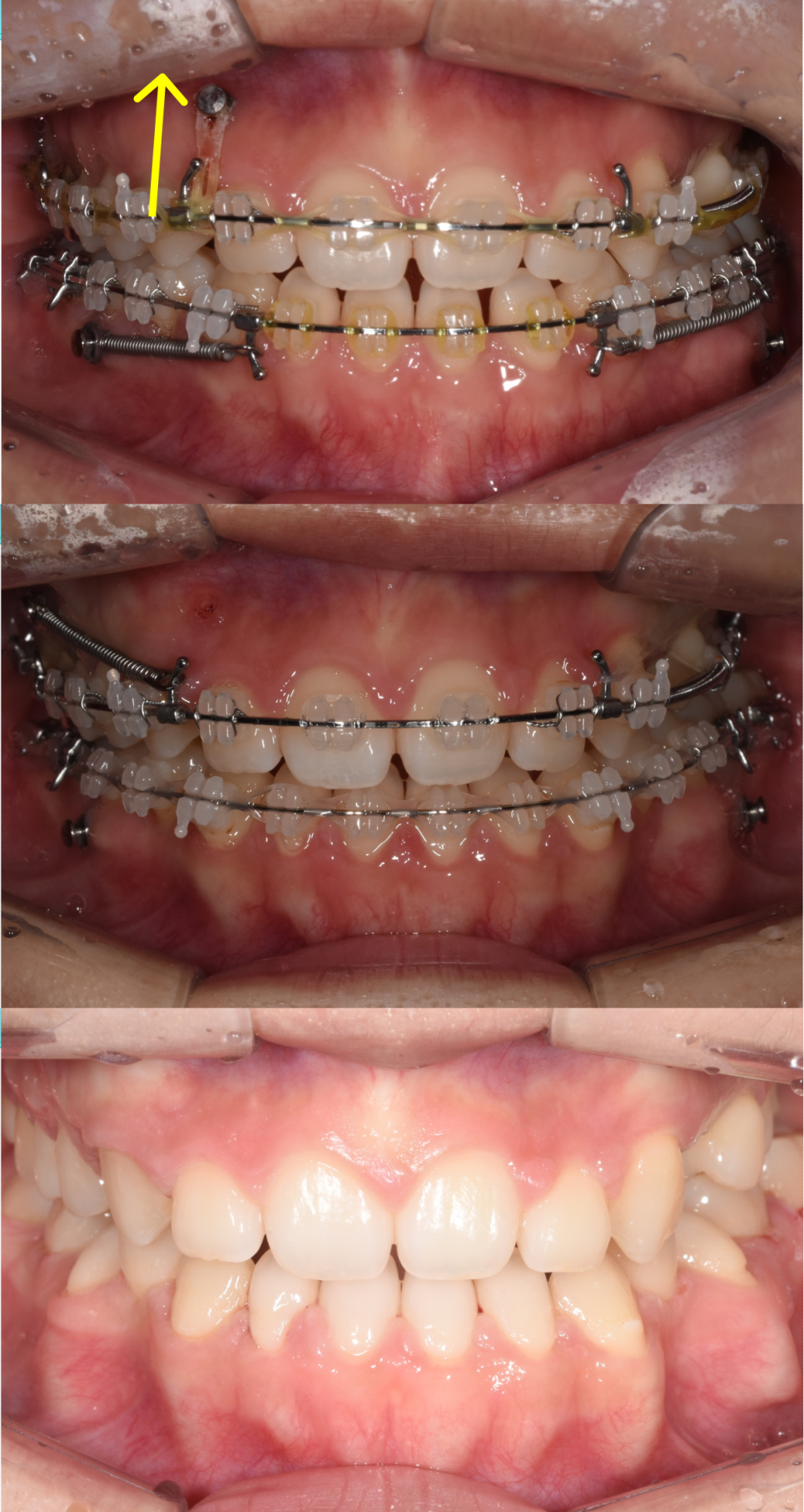
치료 과정
환자분에게 MARPE를 적용하여 다음과 같은 치료를 진행했습니다.
1단계: 상악 확장(위턱 넓히기)
가장 먼저 진행한 작업은 좁았던 위턱을 양옆으로 시원하게 넓혀주는 것이었습니다. 위턱이 확장되면서 아래턱과의 너비 균형이 맞기 시작합니다. 전후 사진을 보시면 좁았던 아치가 완만한 곡선을 그리며 넓어진 확실한 차이를 확인하실 수 있습니다.

2단계: 교합 개선(맞물림 조정)
위턱의 틀이 확보된 후에는 위아래 어금니가 올바르게 물리도록 세밀하게 조정합니다. 사실 이 단계까지만으로도 많은 변화가 일어납니다. 혀가 제 자리를 찾으면서 밀려 나갔던 앞니 공간이 상당 부분 개선되고, 비정상적으로 높게 물리던 교합이 안정되면서 육안으로 보이는 턱의 길이도 훨씬 짧아 보이게 됩니다.

3단계: 치아 배열 및 비대칭 정밀 조절
마지막으로 확보된 공간을 활용해 앞니를 정확한 위치에 배치하며 마무리합니다. 이때 안면 비대칭을 해소하기 위한 저만의 '히든카드'를 사용했는데요. 뼈의 길이가 더 길었던 오른쪽 부위에 미니 스크류를 식립하여 윗니를 잇몸 쪽으로 약간 압입(intrude)시켰습니다.
윗니가 살짝 위로 이동하면 오른쪽 턱이 이전보다 조금 더 깊게 물리게 됩니다. 결과적으로 길어 보였던 우측 턱이 짧아 보이는 시각적 효과가 생기면서 전체적인 안면 비대칭이 조금 더 개선되는 것이지요

치료 결과
이렇게 모든 치료가 끝났습니다. 환자분의 처음 고민이었던 세 가지 문제가 어떻게 개선 되었는지 다시 한 번 정리해보겠습니다.
앞니 개방교합의 해소
좁았던 입천장이 넓어지자 갈 곳 없던 혀가 자연스럽게 제자리를 찾게 되었습니다. 혀가 앞니를 밀어내던 힘이 사라지면서, 붕 떠 있던 앞니들이 비로소 정상적으로 맞물리기 시작했습니다. 이제는 음식물을 앞니로 편하게 끊어 드실 수 있게 되었고, 미소도 훨씬 예뻐졌습니다.

돌출입 증상의 개선
치아들이 배열될 충분한 공간이 확보되자, 앞으로 뻗어 있던 치아들이 제 위치로 들어갔습니다. 이 과정에서 입술 라인이 자연스럽게 뒤로 이동하며, 환자분이 원하셨던 세련되고 편안한 입매가 완성되었습니다.

안면 비대칭의 완화
양쪽 어금니의 교합 높이를 균일하게 맞추는 정밀한 조정 과정을 거쳤습니다. 특히 미니 스크류를 이용해 윗니를 살짝 압입시켜 우측 턱이 더 깊게 물리도록 유도한 결과, 골격적 한계가 있었음에도 불구하고 육안으로 보이는 얼굴 비대칭이 개선되었습니다.

수술 없는 교정, 진심을 담은 변화
모든 수술교정 케이스가 교정만으로 해결되는 것은 아닙니다. 골격적인 문제가 심한 경우에는 수술이 반드시 필요한 경우도 있습니다. 하지만 이번 환자분처럼 문제의 근본 원인을 정확히 파악하고 적절한 장치를 활용한다면, 수술 없이 충분히 만족스러운 결과를 얻을 수 있는 경우도 많습니다.
사실 이번 환자분을 치료하면서 저 개인적으로도 굉장히 기쁘고 보람찬 순간들이 많았습니다. 치료가 진행될수록 환자분의 숨겨진 매력이 살아나고, 결국 너무나 귀여운 얼굴로 변화하시는 모습을 보며 제가 다 설레고 기쁘더라고요. 의료진으로서 이런 드라마틱한 변화를 함께 지켜보는 것은 정말 큰 행복입니다.
수술교정 진단을 받으셨지만 수술에 대한 부담이나 두려움이 있으신 분들은 혼자 고민하지 마세요. 교정 전문의와 충분한 상담을 통해 나에게 맞는 다양한 치료 옵션을 검토해보시길 권해드립니다.
당신의 밝은 미소를 위해 함께 고민하겠습니다. 감사합니다.

