아카이브 요약
이 페이지의 역할
세라믹치과의원의 네이버 블로그 원문을 보존한 아카이브 페이지입니다. 세라믹교정 카테고리의 클리피씨, 데이몬 클리어 자가결찰 교정장치 비교 (2026 최신) 글을 통해 병원의 한국어 정보 제공 방식과 진료 관련 안내 톤을 확인할 수 있습니다.
원문 검증
필요하면 원문 블로그와 병원 프로필로 바로 이동해 문맥을 다시 확인할 수 있습니다.
출처 아카이브 열기아카이브된 블로그 글
세라믹치과의원 · Naver Blog
클리피씨와 데이몬, 자가결찰 교정을 조금이라도 검색해보신 분이라면 바로 알게되는 이름들입니다. 오늘은 세라믹치과에서 이 둘을 비교해보면서 공통점과 차이점을 알아보려고 해요. 자가결찰 교정이란? 치아 교정을 고민하고 계신가요? 요즘 가장 많이 선택하는 교정 방식 중 하나가 바로 자가결찰 교정입니다. '자가결찰'이라는...
게시일
2026년 3월 2일
원문 기준으로 확인된 발행일입니다.
카테고리
세라믹교정
원문 블로그 카테고리를 정리해 함께 표시합니다.
이미지 수
5
현재 아카이브에 연결된 이미지 수입니다.
아카이브 요약
세라믹치과의원의 네이버 블로그 원문을 보존한 아카이브 페이지입니다. 세라믹교정 카테고리의 클리피씨, 데이몬 클리어 자가결찰 교정장치 비교 (2026 최신) 글을 통해 병원의 한국어 정보 제공 방식과 진료 관련 안내 톤을 확인할 수 있습니다.
원문 검증
필요하면 원문 블로그와 병원 프로필로 바로 이동해 문맥을 다시 확인할 수 있습니다.
출처 아카이브 열기클리피씨와 데이몬, 자가결찰 교정을 조금이라도 검색해보신 분이라면 바로 알게되는 이름들입니다. 오늘은 세라믹치과에서 이 둘을 비교해보면서 공통점과 차이점을 알아보려고 해요.
자가결찰 교정이란?
치아 교정을 고민하고 계신가요? 요즘 가장 많이 선택하는 교정 방식 중 하나가 바로 자가결찰 교정입니다. '자가결찰'이라는 단어가 조금 낯설 수 있는데, 쉽게 말하면 고무 밴드나 철사 없이 브라켓 자체에 내장된 클립으로 와이어를 고정하는 방식이에요.
기존 메탈 교정에서는 고무링(엘라스틱)으로 와이어를 묶어야 했습니다. 그래서 진료 시간도 오래 걸리고, 고무링이 변색되면서 심미성도 떨어졌죠. 자가결찰 장치는 이런 단점을 모두 해결한 신개념 교정 시스템입니다.

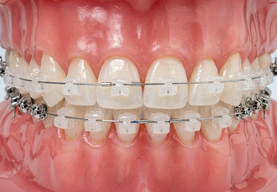
이렇게 장치만으로 '딸깍' 닫을 수 있는것이 자가결찰 교정장치에요
| 자가결찰 교정장치의 핵심 특징고무링 불필요 — 브라켓 내장 클립/슬라이드로 와이어를 고정합니다마찰력 감소 — 와이어가 부드럽게 움직여 치아 이동이 효율적입니다통증 완화 — 꾸준한 교정력이 지속되어 통증이 최소화됩니다내원 간격 증가 — 4~8주 간격 방문으로 직장인·학생에게 유리합니다 |
클리피씨(Clippy-C)란?

클리피씨. 예쁘지만 메탈이 전혀 없는 것은 아니에요.
클리피씨는 일본 TOMY사에서 개발한 자가결찰 세라믹 교정장치입니다. 자가결찰장치의 대표격으로 불리며, 세라믹 브라켓에 '엘질로이'라는 메탈 재질의 클립이 달려 있어 이 클립으로 와이어를 고정하는 방식이에요.
클리피씨의 장점
치아 색과 유사한 세라믹 재질로 심미성이 우수합니다
교정 치료 통증이 감소합니다 — 일정한 교정력이 지속돼요
방문 간격이 6~8주로 늘어나 바쁜 직장인과 학생에게 적합합니다
진료 시간이 단축됩니다 — 와이어 삽입·제거가 간편해요
치료 기간이 단축됩니다 — 마찰 감소로 치아 이동 효율이 높아요
구강 내 상처가 적습니다 — 별도 철사 결찰이 없어 찔림이 적어요
구강 관리가 편리합니다 — 음식물이 덜 끼어 충치 예방에 유리해요
데이몬클리어(Damon Clear)란?
데이몬클리어는 미국 ORMCO사에서 개발한 자가결찰 교정장치입니다. 가장 큰 특징은 캡(뚜껑)까지 모두 세라믹으로 제작되어 전체가 하얗다는 점이에요. 슬라이드형 뚜껑 방식으로 와이어를 고정하며, 입 안 이물감이 적어 착용감이 편안하다는 평가를 받고 있습니다.

데이몬 클리어. 이건 거의 안 보입니다. 하지만 사이즈는 약간 더 커요
데이몬 클리어의 장점
캡까지 모두 세라믹 — 메탈 성분이 없어 심미성이 최상급입니다
둥글고 부드러운 디자인으로 입술 안쪽 이물감이 적습니다
디지털 기술 + 저마찰 설계로 치아 이동이 신속합니다
부드러운 치아 이동을 제공해 통증 부담이 적습니다
고무링 없이 안정적인 와이어 고정이 가능합니다
클리피씨 VS 데이몬클리어 비교
두 장치 모두 자가결찰 시스템이라는 공통점이 있습니다. 고무링 없이 브라켓 자체로 와이어를 고정하고, 마찰력을 줄여 치아 이동을 부드럽고 효율적으로 만들어요. 하지만 세부적으로 들어가면 차이가 있습니다.
| 비교 항목 | 클리피씨 (Clippy-C) | 데이몬클리어 (Damon Clear) |
|---|---|---|
| 제조사 | 일본 TOMY | 미국 ORMCO |
| 유형 | 자가결찰 시스템 | 자가결찰 시스템 |
| 브라켓 재질 | 세라믹 + 메탈 캡(엘질로이) | 전체 세라믹 (메탈 없음) |
| 와이어 고정 방식 | 클립식 | 슬라이드 뚜껑식 |
| 심미성 | 매우 우수 (캡 부분 은색) | 최상급 (전체 치아색) |
| 착용감 | 양호 | 우수 (둥글고 부드러움) |
| 방문 간격 | 4~8주 | 4~8주 |
| 고무링 착색 | 없음 | 없음 |
| 공통점 |
고무링 없이 브라켓 자체로 와이어를 고정하는 자가결찰 시스템
와이어 마찰이 감소해 치아 이동이 부드럽고 효율적
내원 간격이 길어 직장인·학생에게 유리
고무링 착색이 없어 심미성 유지가 쉬움
기존 메탈 교정 대비 불편함이 적고 심미적
| 핵심 차이점 |
가장 눈에 띄는 차이는 브라켓 캡(뚜껑)의 소재입니다. 클리피씨는 캡 부분이 은색 메탈이지만, 데이몬클리어는 캡까지 전부 세라믹이에요. 심미성을 최우선으로 생각한다면 데이몬클리어가 한 수 위입니다.
같은 강도를 위해 메탈보다 세라믹이 커질 수밖에 없으므로 사이즈는 데이몬 클리어가 좀 더 크지만, 착용감 면에서는 오히려 데이몬클리어가 각진 부분 없이 둥글고 부드러운 형태라 입술 안쪽 이물감이 적다는 평가를 받기도 합니다. 하지만 역시 사람마다 다를 수 있는 부분인 것 같아요.
기존 교정장치와는 뭐가 다를까?
자가결찰 장치의 장점을 제대로 이해하려면 기존 세라믹 교정이나 메탈 교정과 비교해 보면 더 명확합니다.
| 비교 항목 | 클리피씨, 데이몬 | 일반 세라믹 | 메탈 |
|---|---|---|---|
| 와이어 고정 | 클립/슬라이드 | 고무링/철사 | 고무링/철사 |
| 방문 간격 | 4~8주 | 3~4주 | 3~4주 |
| 치료 기간 | 상대적으로 단축 | 보통 | 보통 |
| 심미성 | 우수~최상급 | 우수 | 낮음 |
| 비용 | 높은 편 | 중간 | 가장 저렴 |

교정 전 꼼꼼한 상담이 가장 중요합니다
그래서, 어떤 장치를 선택해야 할까?
"어떤 장치가 더 좋다"보다 중요한 건 "누구에게 더 적합한가"입니다. 치아 상태, 생활 패턴, 심미적 기대치에 따라 최적의 선택이 달라집니다.
| 클리피씨가 적합한 경우 |
자가결찰의 효율성은 원하지만 비용 부담을 줄이고 싶은 분
캡 부분의 은색 메탈이 크게 신경 쓰이지 않는 분
검증된 자가결찰 시스템을 합리적으로 경험하고 싶은 분
자가결찰이면서도 가능한 브라켓이 작았으면 하시는 분
| 데이몬클리어가 적합한 경우 |
심미성을 최우선으로 생각하는 분 (메탈 성분 0%)
입술 안쪽이 예민해 착용감을 중시하는 분
대면 업무가 많아 교정장치가 최대한 안 보여야 하는 분
클리피씨와 데이몬클리어 모두 자가결찰 시스템이라는 점에서 기존 교정 대비 확실한 장점이 있습니다. 통증 감소, 치료 기간 단축, 내원 횟수 감소, 심미성 향상 — 모두 교정을 고민하는 분들에게 매력적인 요소죠.
다만 "어떤 장치가 절대적으로 좋다"라는 건 없습니다. 본인의 치아 상태, 예산, 생활 패턴을 종합적으로 고려해야 해요. 교정 치료는 짧게는 1년, 길게는 2~3년이 소요되는 장기 프로젝트이기 때문에 여러 치과에서 상담을 받아보시는 걸 강력히 추천드립니다.
이 글이 자가결찰 교정장치를 선택하는 데 도움이 되셨길 바랍니다. 궁금한 점이 있으시면 언제든 댓글로 남겨주세요 :)
