서울센텀치과 (신사역)
잠원역치과 임플란트 보험 실비 가능하나요?
안녕하세요^^ 잠원역치과 서울센텀 블로그를 운영하고 있는 대표원장 이현섭 입니다. 40대 이상이신 분들이 대부분 풍치를 겪고 계시는데 이때 관리가 잘 되지 않으면 다수의 치아를 잃기에 정기검진을 필수로 받아주셔야 해요! 하지만, 이미 치아를 상실하였다면 임플란트를 알아보기 위해 비용에 대해 문의해 주시는데...
아카이브 요약
이 페이지의 역할
서울센텀치과 (신사역)의 네이버 블로그 원문을 보존한 아카이브 페이지입니다. 대표원장 증례 이야기 카테고리의 잠원역치과 임플란트 보험 실비 가능하나요? 글을 통해 병원의 한국어 정보 제공 방식과 진료 관련 안내 톤을 확인할 수 있습니다.



안녕하세요^^
잠원역치과 서울센텀 블로그를
운영하고 있는 대표원장
이현섭 입니다.
40대 이상이신 분들이 대부분
풍치를 겪고 계시는데
이때 관리가 잘 되지 않으면
다수의 치아를 잃기에
정기검진을 필수로 받아주셔야 해요!
하지만, 이미 치아를 상실하였다면
임플란트를 알아보기 위해
비용에 대해 문의해 주시는데
사실 비용보다 우선시 되어야하는 건
주치의의 실력이 아닐까 싶습니다.
잠원역치과는 해외에서도 찾아주실만큼
강남에서 믿을 수 있는 곳으로
많은 분들이 방문해주시는데요.
이자리를 빌어 감사의 인사 전합니다^^
그럼, 보험 실비 비용에 대해 알아보기 전
임플란트가 무엇인지 설명드리도록 할게요~
임플란트 수술이란?

치아를 상실한 부위에
인공 치아를 심는 수술인데요.
자연 치아와 유사한
기능과 모양을 가지고 있어
많은 분들께서 선호하시는
진료 방법 중 하나랍니다.
잇몸 뼈에 직접 식립하기 때문에
고정력이 좋아 음식물을 씹는데
불편함이 없습니다.

이러한 수술을 하는 이유는
여러가지가 있을 수 있지만
크게 세 가지로 나누어 본다면
1️⃣첫 번째로,
사고나 외상으로 인해
치아를 상실한 경우이고,
2️⃣두번째로는
노화로 인한 잇몸 뼈가 약해져
자연 치아를 유지하기
어려운 경우입니다.
3️⃣마지막으로는
충치나 치주질환이 심해
발치를 해야하는 경우가 있죠.
위 세가지 사항 중
하나라도 해당이 된다면
수술을 고려하고 계실텐데요.
지금부터 건강보험 적용 기준과
실비 여부에 대해 알려드리도록 하겠습니다.
건강보험 적용 기준과
실비 가능한가요?

대한민국 국민이라면 누구나 건강보험에
가입되어 있어 혜택 기준에 맞으신다면
보험 적용을 받으실 수 있는데요.
만 65세 이상 어르신들은
임플란트 보험이 가능하답니다.
본인 부담률 30%로
평생 2개까지 받을 수 있어요.
다만, 상악동거상술이나 뼈이식과 같이
추가적으로 필요한 경우이시다면
실제보다 비용이 더
높게 책정될 수 있습니다.
그리고 치아가 하나도 없으신
완전 무치악 분들은
보험 적용이 되지 않으니
꼭 확인해주신 후
방문해주시기를 바랍니다!
그리고 실비 같은 경우는
보험사마다 약관이 다르기 때문에
특약을 읽어보셔야 하는데,
대부분 의학용어로
어려워 하시더라고요~
도움이 필요하시다면
언제든지 약관을 들고 방문해 주시길 바랍니다.
저희가 읽고 쉬운 단어로 설명드릴게요!^^


잠원역치과 서울센텀에서도
많은 분들께서 임플란트 수술을
찾아주고 계시는데요.
진료 받으신 분의 케이스를
한번 살펴보겠습니다.
*이해를 돕기 위해 동의 후 사용한 증례로
진료의 결과는 개인에 따라 달라질 수 있으니
주치의와 충분히 의논한 후 결정하시기 바랍니다.
잠원역치과 임플란트 케이스

치아를 상실하셔서
잠원역치과 서울센텀에
임플란트 수술을
받으러 오신 분의 케이스인데요.

치과의 두려움으로
방문을 미루시다가
다수의 치아를 잃어
임플란트를 해야할 것 같아
방문해 주셨습니다.
하지만 비용에 대한 걱정으로
고민이 많으셨는데요.
걱정을 덜어드리기 위해
만 65세 이상이셔서
저희가 먼저 보험 임플란트를
권해드렸었고, 비교적 적은 비용으로
진료를 받게 되셨습니다.
무치악이셔서 평소에 식사하기가
불편하셨을 것같은데 진료를
이제서야 받으러 오신 것을 보니
진료에 대한 두려움이
크신 분인것 같아 보였는데요.
실제로도 검진을 하고
수술 들어가기 전에 대화를 나눠보니
이제껏 참고 미루다가
식사할때 불편감과
진료에 대한 두려움을 함께 극복하려고
큰 마음 먹고 오셨다고 합니다.
그래서 치과에 대한 두려움을
안정시켜드리기 위해
수술에 들어가기 전
신경 써서 충분한 설명으로
진행해드렸습니다.
상의를 한 후, CT촬영에 들어갔고
한번 더 체크를 한 후
수술 준비에 들어갔습니다.


심한 풍치로 흔들림이 심하고
예후가 안 좋은데
평소 불편한 점이 없었냐고 여쭤보니
잇몸이 좋지 않아 잦은 출혈이 보였고
흔들림이 심해 앞니로 베어먹기에 힘들어
고민이 많으셨다고 하셨습니다.
그래서 치아를 최대한 살리는 방향으로
고민을 해 보았으나,
이미 수명을 다한 치아로
안타깝지만 발치를 하기로 결정내렸습니다.
결론적으로 앞니 치아
하나를 발치하였으며
치아가 상실된 자리에
임플란트를 식립해드렸습니다.
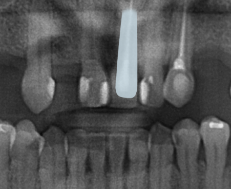
그럼, 식립한 사진을 함께 볼까요?
🔽

임플란트는 바로
치아 머리가 올라가는 게 아닌
골유착을 유도하기 위해
뿌리만 식립하고 3개월 정도
기다린 뒤
뼈와 임플란트가 잘 붙었는지
기계로 측정 후
잘 붙었다고 판단되면
본을 떠서 보철을 올려드리고 있어요.^^
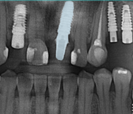
마무리 된 사진
함께 보도록 하겠습니다.
🔽

위 사진은 임플란트 수술까지
마무리가 된 사진인데요.
개인의 잇몸상태를 분석하여
식립각도와 위치를 신경써서
안정적인 임플란트를 심어드렸고
반영구적으로 사용할 수 있도록
도와드렸습니다.
치과에 대한 두려움으로
진료를 미루셨는데
임플란트 마무리하시느라
고생많으셨어요! : )
결론적으로 임플란트는
반영구적으로 사용가능하지만
사후관리에 따라
수명이 좌우되기 때문에
저희는 통합치의학과 전문의 1:1
집중적인 관리로!
딥케어 해드리기 때문에
제게 진료 받은 분들은
대부분 오랫동안 사용하고 계십니다.
이와 같이 임플란트 고민이 있으시다면
서울센텀치과로 문의 바랍니다.^^

어떠셨나요?
진료받으신분의 케이스와 함께
임플란트 보험 실비 가능여부에 대해
알아보는 시간을 가져보았는데요~
잠원역치과 서울센텀은
보건복지부인증
통합치의학과 전문의가 직접
책임 진료를 봐드리고 있습니다.
통합치의학과 전문의란
구강 및 악안면 영역의
전반적인 질환의 진료를
도와드리는 주치의입니다.
잠원역치과 서울센텀은
구강이 불편하셔서
방문해주시는 분들에게
정밀한 검진을 통해 직접
진료 계획을 수립한 뒤
수술 방향까지 결정하여
진료를 해드리고 있는데요.
이러한 통합치의학 전문의는
광범위한 지식과
경험이 필요한 분야로서
치아보존. 보철. 교정,
치주, 구강외과, 임플란트 등의
진료 분야를 담당하고 있습니다.
또한, 구강 예방을 위해서
여러 분야에서 심도 있는 기술력과
통합적인 지식을 갖추는 것을 필요로 합니다.

임플란트도 마찬가지로
통합치의학과 전문의 대표원장으로서
직접 수술을 집도하고 있는데요.
다양한 고난이도 케이스
식립 경험이 있기 때문에
더 집중적으로
정밀하게 수술을 봐드리고 있으며,
진료 받아주신 분들의
상태에 따라서 사후 관리까지
도와드리고 있습니다!

저는 대한민국 최고의 주치의는 아니지만,
'치료 너머의 이야기까지 바라본다'는
철학과 함께 진료를 받으신 분들이
경험한 주치의 중에서는
최고가 되고 싶다는 생각으로
진료에 대한 진정성과 가치철학을
가지고 진료에 임하고 있습니다.
구강이 불편하여 방문해 주신 분은
누군가의 부모 또는 가족일
소중한 사람이라고 생각하는데요.
그분의 소중한 시간과 진료비의 가치를
그리고 저와 환자와 주치의로서 만난
이 순간의 사명감을
한시도 놓치지 않겠습니다.
결과적으로, 소통하는 자세를 갖추어
방문 해주신분들께 집중도 있는
케어가 가능하도록
정직하고 투명한 진료를
위해 노력하겠습니다.
여러분들의 이야기에 귀를 기울이며,
성장해나가는 잠원역치과
서울센텀이 되겠습니다.
오늘도 긴 글 읽어주셔서 감사합니다^^
함께 읽어보면 좋을 포스팅
더 보기
이 병원의 공개 콘텐츠를 계속 살펴보세요
출처 아카이브로 돌아가 더 많은 글을 보거나, 병원 프로필로 이동해 다른 공개 채널도 함께 비교해보세요.