서울센텀치과 (신사역)
신사역 매복 사랑니 4개 발치 꼭 해야하나요?
저희 치과 블로그의 모든 글에 사용된 사진은 환자분의 동의하에 치료 과정의 이해를 돕기 위해서 사용합니다. 무단 복제, 사용은 엄격히 금해주시기 바랍니다. 치료의 과정과 결과는 개인에 따라서 다를 수 있으며 부작용이 있을 수 있으니 의료진과의 충분한 상의 후 결정하시기 바랍니다. 안녕하세요. 신사역 서울센텀치과...
아카이브 요약
이 페이지의 역할
서울센텀치과 (신사역)의 네이버 블로그 원문을 보존한 아카이브 페이지입니다. 사랑니발치 카테고리의 신사역 매복 사랑니 4개 발치 꼭 해야하나요? 글을 통해 병원의 한국어 정보 제공 방식과 진료 관련 안내 톤을 확인할 수 있습니다.
저희 치과 블로그의 모든 글에 사용된 사진은
환자분의 동의하에 치료 과정의 이해를
돕기 위해서 사용합니다. 무단 복제, 사용은
엄격히 금해주시기 바랍니다.
치료의 과정과 결과는 개인에 따라서
다를 수 있으며 부작용이 있을 수 있으니
의료진과의 충분한 상의 후 결정하시기 바랍니다.
안녕하세요.
신사역 서울센텀치과의
대표원장 이현섭입니다
저희 치과가 아무래도 젊은 분들이
엄청 많이 지나다시는 곳이고
더해서, 주말에 진료를 하다보니,
일요일에는 정말 하루에도
10~20 여건정도의 사랑니 발치
환자분들이 저희를 찾아 오시는데요.
80~90%의 환자분들은 사랑니 발치를 위해서
오셨지만, 마지막 결정을 못하시고

"발치 꼭 해야하나요?"
라고 물어보시는 경우가 있어요
뭐.. 꼭 하지 않아도 됩니다.
다만, 조건이 있어요
아래 제가 말씀드리는 조건이 맞는다면
꼭 발치를 하지 않으셔도 되는데요
한 번 조건을 살펴봐 주세요
-
아주 예쁘게 자랐다
-
양치질이 100% 완벽하다
단순해 보이는 이 두 가지 조건이
사실 우리에게는 너무나 어렵거든요.



사랑니는 우리 치아 중에 가장 늦게 맹출
(자란다는 뜻입니다) 이 되고요.
그러다보니, 이미 다른 치아로 인해서 좁은
공간을 비집고 뚫고, 어렵게 올라옵니다
그러보니, 기대고, 넘어지고, 아니면
힘이 떨어지면 그대로 잇몸 안에 있거나
뭐 그렇게 사랑니가 나오는 거거든요
이런 경우에는 음식물 찌꺼기가 끼기도 쉽고
구강 관리가 당연히 어렵게 되죠
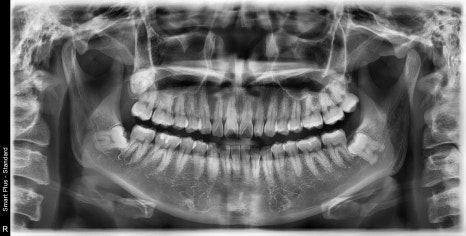
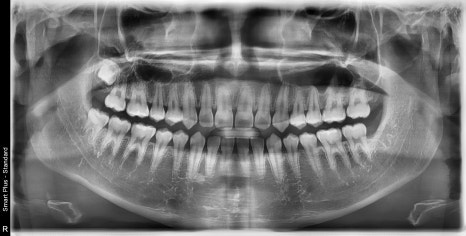
| 발치 전 | 발치 후 |




그리고, 양치질..
제가 치과에서 많은 분들을
만나보면요, 예전에 비해서 양치질을
다들 잘 하시더라고요. 하루 3번, 3분 정도
시간과 횟수를 얘기하는 건 아니고요
하실 때 우리가 완벽하게 양치질을 하고
완벽하게 음식물 찌꺼기나 다른 이물질을
완벽하게 제거할 수 있으냐?
그건 아니죠.
우리가 100% 완벽하게 양치질을 할 수는 없고요
만약 이게 가능하다면, 저는 사랑니를
굳이 뽑지 않아도 된다고 생각합니다.
하지만, 아니라면,
우리의 사랑니는 반드시
썩게 되어 있습니다.
사랑니가 썩게 되면, 또 다른 문제는
인접치아를 꼭 망친다는 건데요
보통 사랑니는 다른 인접치아의 뿌리에 기대있죠
사랑니에 충치가 생기면, 다른 치아의
뿌리 부분을 꼭 망치는 녀석입니다.
예방 차원에서라도 발치를 한 번
고민해보시면 좋을 것 같습니다
어렵지 않거든요.
쉽고 빠른 발치
저희 서울센텀치과의
이현섭 원장이 도와드립니다!
저와 한 번 꼭 상의해주세요!
감사합니다!
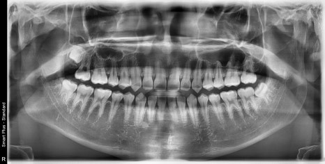
| 발치 전 | 발치 후 |





더 보기
이 병원의 공개 콘텐츠를 계속 살펴보세요
출처 아카이브로 돌아가 더 많은 글을 보거나, 병원 프로필로 이동해 다른 공개 채널도 함께 비교해보세요.