서울센텀치과 (신사역)
치과 마취 종류 풀리는 시간 주의사항에 대해서
안녕하세요! 이현섭 원장입니다 치과에 오실 때 어떤 점이 가장 내원을 망설이게 만드나요? "마취" 일단 치과하면 떠오르는게 따끔하고 아픈 마취 주사죠? 저희도 아프지 않은 마취를 위해서 아프지 않은 치과 치료를 위해서 상당히 많은 노력을 하는데요 물론, 저 뿐만 아니라 모든 치과의사 선생님들이 항상...
아카이브 요약
이 페이지의 역할
서울센텀치과 (신사역)의 네이버 블로그 원문을 보존한 아카이브 페이지입니다. 치아 정보통 카테고리의 치과 마취 종류 풀리는 시간 주의사항에 대해서 글을 통해 병원의 한국어 정보 제공 방식과 진료 관련 안내 톤을 확인할 수 있습니다.
안녕하세요!
이현섭 원장입니다

치과에 오실 때 어떤 점이
가장 내원을 망설이게 만드나요?
"마취"
일단 치과하면 떠오르는게
따끔하고 아픈 마취 주사죠?
저희도 아프지 않은 마취를 위해서
아프지 않은 치과 치료를 위해서
상당히 많은 노력을 하는데요
물론, 저 뿐만 아니라 모든 치과의사 선생님들이
항상 열심히 노력하고 계시다는 걸 말씀드립니다 ^^
저희 자랑이 오늘의 내용은 아니고요 ㅎ
오늘은 치과에서 이루어지는
마취에 대해서 한 번 설명하려 합니다.

- 도포 마취 방식
도포 마취 방식은 치과 뿐 아니라
피부과에 점을 빼거나 할 때도
사용하는 흔한 방법 중에 하나인데요
치료 부위 점막이나 피부에
국소적으로 마취제를 뿌리거나
발라서 마취를 시키는 방법으로 아주
간단하게 마취를 할 수 있죠.
당연히 마취 시에 통증은 없는 방식인데요
보통, 소아 환자들이 유치가 빠질 때
(유치 빠질때는 통증이 거의 없거든요)
추가로 살짝 도포 마취를 하고요
아니면 본격적인 마취 주사를 놓기 전에
통증을 느끼지 않게 하는 방식으로
사용을 하는 마취 방식입니다
간단한 잇몸 치료에도 쓰이기도 합니다

- 가글 마취
스케일링 받으실 때 시큰한 그런
느낌이 들지 않게 하기 위해서
가글 마취를 하고 스케일링이나, 잇몸을
치료하는 경우가 종종 있습니다
보통은 해피카인, 리도카글이라 불리는 가글 마취제를
사용을 많이 하고 있고요

- 침윤 마취
본격적으로 마취라고 불릴만한 마취입니다
"자, 따끔합니다. 따끔!"
이 대사 많이 들어보셨죠?
마취 주사를 통한 마취를 침윤 마취라 하는데요
잇몸뼈를 통과해서 치아까지 마취가 되도록
하는 그런 마취 방식으로 치료를 위해서
가장 많이 하는 방식입니다.



Previous image Next image
그렇다면, 아프지 않은
그런 마취 가능한가?
대답부터 드리자면, 네. 가능합니다
요즘은 저희 뿐 아니라, 거의 모든 치과들이
무통 마취기를 도입해서 사용하고 있는데요
상당히 대중화된 장비이고, 좋은 장비입니다
원리는 생각보다 간단한데요
컴퓨터가 속도를 조절해서 천천히 들어간다
그리고, 체온에 맞게 주입이 되서
느낌이 거의 없다.
이런 원리로 작동하는 무통 마취기는
저도 치료를 위해서 동기가 운영하는 병원에서
치료를 받아보면 상당히 효과가 있습니다.

마취가 두려우신 분은
저희 서울센텀치과로 방문해주세요
마취가 풀린 후에
주의하셔야할 것들
치과마다, 주치의 선생님마다
그리고 병증마다, 치료마다
환자가 반응하는 정도에 따라서
마취액 종류와 양이 다 다르기 때문에
딱 정해진 것은 아니지만,
보통 마취가 풀리는데 1~2시간 정도 걸립니다
길면 3~4시간 정도 걸리는데요
하루가 지나도 마취가 된 것 같다면
반드시 치과에 문의해주시고요
마취가 된 상태에서는 아무래도
혀나, 볼 등을 씹을 수 있으니
음식 섭취는 주의해주시고요
항상 아프지 않은
편안한 치과를 위해서
매일 노력해나가는
서울센텀치과가 되겠습니다
강남에도 믿을 수 있는 치과가
있다는 것을 보여드리겠습니다
감사합니다
이현섭 드림
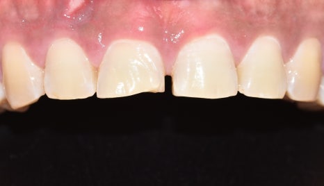
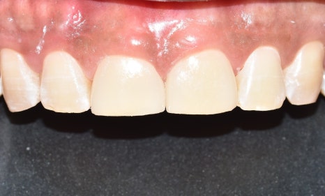
| 서울센텀앞니 치료 전(24.04.07) | 서울센텀앞니 치료 후(24.04.19) |





더 보기
이 병원의 공개 콘텐츠를 계속 살펴보세요
출처 아카이브로 돌아가 더 많은 글을 보거나, 병원 프로필로 이동해 다른 공개 채널도 함께 비교해보세요.